Please ensure Javascript is enabled for purposes of website accessibility
Home / Products / Antibody / Recombinant Antibody

Anti-BNIP3 Antibody (R3R99)

Catalog #:   RHG36302 Specific References (47) DATASHEET
Host species: Mouse
Isotype: IgG2a
Applications: ELISA, FCM, IF, IHC
Accession: Q12983
Overview

Catalog No.

RHG36302

Species reactivity

Human

Host species

Mouse

Isotype

IgG2a

Clonality

Monoclonal

Tested applications

ELISA: 1:10000, FCM: 1:200-1:400, IF: 1:50-1:250, IHC: 1:200-1:1000

Target

BNIP3, BCL2/adenovirus E1B 19 kDa protein-interacting protein 3, NIP3

Concentration

1 mg/ml

Endotoxin level

Please contact with the lab for this information.

Purity

>95% as determined by SDS-PAGE.

Purification

Protein A/G purified from cell culture supernatant.

Accession

Q12983

Applications

ELISA, FCM, IF, IHC

Form

Liquid

Storage buffer

0.01M PBS, pH 7.4, 0.05% Sodium Azide.

Stability and Storage

Use a manual defrost freezer and avoid repeated freeze-thaw cycles. Store at 4°C short term (1-2 weeks). Store at -20°C 12 months. Store at -80°C long term.

Clone ID

R3R99

Data Image
  • Flow Cytometry
    Flow cytometric analysis of Hela cells using BNIP3 mouse mAb (green) and negative control (red).
  • Immunofluorescence
    Immunofluorescence analysis of Hela cells using BNIP3 mouse mAb (green). Blue: DRAQ5 fluorescent DNA dye. Red: Actin filaments have been labeled with Alexa Fluor- 555 phalloidin.
  • Immunohistochemical
    Immunohistochemical analysis of paraffin-embedded human breast cancer tissues using BNIP3 mouse mAb with DAB staining.
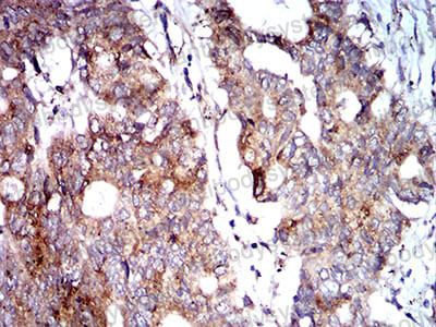
  • Immunohistochemical
    Immunohistochemical analysis of paraffin-embedded human rectum cancer tissues using BNIP3 mouse mAb with DAB staining.
References

NLRP3 inflammasome inhibits mitophagy during the progression of temporal lobe epilepsy., PMID:40348802

Neutrophil extracellular traps aggravate placental injury in OAPS by facilitating activation of BNIP3 mediated mitophagy., PMID:40286883

ITGB4/BNIP3 Activates Autophagy and Reduces MHC-I Expression to Mediate Tumour Immune Escape in Pancreatic Cancer Cell Lines., PMID:39711509

CD30 protects EBV-positive diffuse large B-cell lymphoma cells against mitochondrial dysfunction through BNIP3-mediated mitophagy., PMID:38211650

Transcriptomic analysis of neutrophil apoptosis induced by diffuse large B-cell lymphoma unveils a potential role in neutropenia., PMID:37266765

Berbamine suppresses intestinal SARS-CoV-2 infection via a BNIP3-dependent autophagy blockade., PMID:36951188

Mallotucin D, a Clerodane Diterpenoid from Croton crassifolius, Suppresses HepG2 Cell Growth via Inducing Autophagic Cell Death and Pyroptosis., PMID:36430694

A new beta cell-specific mitophagy reporter mouse shows that metabolic stress leads to accumulation of dysfunctional mitochondria despite increased mitophagy., PMID:36181536

Hypoxia-inducible factor pathway genes predict survival in metastatic clear cell renal cell carcinoma., PMID:35973929

Protection of Quiescence and Longevity of IgG Memory B Cells by Mitochondrial Autophagy., PMID:35101890

Cyclovirobuxine D Induced-Mitophagy through the p65/BNIP3/LC3 Axis Potentiates Its Apoptosis-Inducing Effects in Lung Cancer Cells., PMID:34072333

Inhibition of IL-6/JAK/STAT3 pathway rescues denervation-induced skeletal muscle atrophy., PMID:33490193

BNIP3L-mediated mitophagy is required for mitochondrial remodeling during the differentiation of optic nerve oligodendrocytes., PMID:33404293

Intracellular AIBP (Apolipoprotein A-I Binding Protein) Regulates Oxidized LDL (Low-Density Lipoprotein)-Induced Mitophagy in Macrophages., PMID:33356389

The Role of Autophagy-Mediated Dengue Virus Antibody-Dependent Enhancement Infection of THP-1 Cells., PMID:33202415

Silencing of NAMPT leads to up-regulation of insulin receptor substrate 1 gene expression in U87 glioma cells., PMID:32597148

Adalimumab changes the expression profile of selected BCL-2 family genes., PMID:32068934

Hyperbaric oxygen promotes mitophagy by activating CaMKKβ/AMPK signal pathway in rats of neuropathic pain., PMID:31382832

FOXO3 Is Expressed in Ovarian Tissues and Acts as an Apoptosis Initiator in Granulosa Cells of Chickens., PMID:31380433

Emerging views of mitophagy in immunity and autoimmune diseases., PMID:30951392

Cytoplasmic M‑CSF facilitates apoptosis resistance by inhibiting the HIF‑1α/BNIP3/Bax signalling pathway in MCF‑7 cells., PMID:30592292

Reduction of myocardial ischaemia-reperfusion injury by inactivating oxidized phospholipids., PMID:29850765

Mitophagy in three cases of immune-mediated necrotizing myopathy associated with anti-3-hydroxy-3-methylglutaryl-coenzyme A reductase autoantibodies: ultrastructural and immunohistochemical studies., PMID:29402601

CRISPR-Mediated Tagging of Endogenous Proteins with a Luminescent Peptide., PMID:28892606

FOXO3a regulates BNIP3 and modulates mitochondrial calcium, dynamics, and function in cardiac stress., PMID:27694219

Investigation of telomerase activity and apoptosis on invasive ductal carcinoma of the breast using immunohistochemical and Western blot methods., PMID:26367733

The proapoptotic protein BNIP3 interacts with VDAC to induce mitochondrial release of endonuclease G., PMID:25436615

Post-transcriptional regulation of autophagy in C2C12 myotubes following starvation and nutrient restoration., PMID:25043686

Neuroprotective role of BNIP3 under oxidative stress through autophagy in neuroblastoma cells., PMID:24928088

Agonist antibodies activating the Met receptor protect cardiomyoblasts from cobalt chloride-induced apoptosis and autophagy., PMID:24743740

Identifying protein partners of CLN8, an ER-resident protein involved in neuronal ceroid lipofuscinosis., PMID:23142642

CDKN1C/P57 is regulated by the Notch target gene Hes1 and induces senescence in human hepatocellular carcinoma., PMID:22705236

Expression TGM2 and BNIP3 have prognostic significance in laryngeal cancer patients receiving surgery and postoperative radiotherapy: a retrospective study., PMID:22458929

Hypoxia-induced autophagy promotes tumor cell survival and adaptation to antiangiogenic treatment in glioblastoma., PMID:22447568

Constitutive ERK activity induces downregulation of tristetraprolin, a major protein controlling interleukin8/CXCL8 mRNA stability in melanoma cells., PMID:21593445

A new disulfide-linked dimer of a single-chain antibody fragment against human CD47 induces apoptosis in lymphoid malignant cells via the hypoxia inducible factor-1α pathway., PMID:21401803

Osteopontin stimulates autophagy via integrin/CD44 and p38 MAPK signaling pathways in vascular smooth muscle cells., PMID:21374592

Truncated forms of BNIP3 act as dominant negatives inhibiting hypoxia-induced cell death., PMID:21138765

Increased accumulation of hypoxia-inducible factor-1α with reduced transcriptional activity mediates the antitumor effect of triptolide., PMID:20932347

Tendinopathy and tears of the rotator cuff are associated with hypoxia and apoptosis., PMID:20190320

Hypoxia-inducible factor is expressed in giant cell tumour of bone and mediates paracrine effects of hypoxia on monocyte-osteoclast differentiation via induction of VEGF., PMID:18283716

BNIP3 expression in follicular lymphoma., PMID:17394490

Hypoxia and expression of the proapoptotic regulator BNIP3 in cervical cancer., PMID:16803523

Placental localization and expression of the cell death factors BNip3 and Nix in preeclampsia, intrauterine growth retardation and HELLP syndrome., PMID:16219518

BNIP3 plays a role in hypoxic cell death in human epithelial cells that is inhibited by growth factors EGF and IGF., PMID:12879018

Expression of the gene encoding the proapoptotic Nip3 protein is induced by hypoxia., PMID:10922063

BNIP3 heterodimerizes with Bcl-2/Bcl-X(L) and induces cell death independent of a Bcl-2 homology 3 (BH3) domain at both mitochondrial and nonmitochondrial sites., PMID:10625696

Datasheet

Document Download

Anti-BNIP3 Antibody (R3R99).pdf

 

$ 220
Product specifications
50 μg 220 100 μg 350

Contact Information

Order: order@antibodysystem.com

Mail: support@antibodysystem.com

Distributor list

For research use only. Not for human or drug use.

Need help with your order?

Find out more about placing an order here

Anti-BNIP3 Antibody (R3R99) [RHG36302]
Terms of sale Website terms of use Cookie policy Privacy
Copyright © 2025 AntibodySystem SAS. All Rights Reserved.            All Products are for Research Use Only