Please ensure Javascript is enabled for purposes of website accessibility
Home / Products / Antibody / Recombinant Antibody

Anti-GPC3/Glypican 3 Antibody (R3M60)

Catalog #:   RHE84609 Specific References (50) DATASHEET
Host species: Mouse
Isotype: IgG1
Applications: ELISA, FCM, IHC, WB
Accession: P51654
Overview

Catalog No.

RHE84609

Species reactivity

Human

Host species

Mouse

Isotype

IgG1

Clonality

Monoclonal

Tested applications

ELISA: 1:10000, FCM: 1:200-1:400, IHC: 1:200-1:1000, WB: 1:500-1:2000

Target

GPC3, MXR7, GTR2-2, Glypican-3, Intestinal protein OCI-5, OCI5

Concentration

1 mg/ml

Endotoxin level

Please contact with the lab for this information.

Purity

>95% as determined by SDS-PAGE.

Purification

Protein A/G purified from cell culture supernatant.

Accession

P51654

Applications

ELISA, FCM, IHC, WB

Form

Liquid

Storage buffer

0.01M PBS, pH 7.4, 0.05% Sodium Azide.

Stability and Storage

Use a manual defrost freezer and avoid repeated freeze-thaw cycles. Store at 4°C short term (1-2 weeks). Store at -20°C 12 months. Store at -80°C long term.

Clone ID

R3M60

Data Image
  • Flow Cytometry
    Flow cytometric analysis of Hela cells using GPC3 mouse mAb (green) and negative control (red).
  • Flow Cytometry
    Flow cytometric analysis of HepG2 cells using GPC3 mouse mAb (green) and negative control (red).
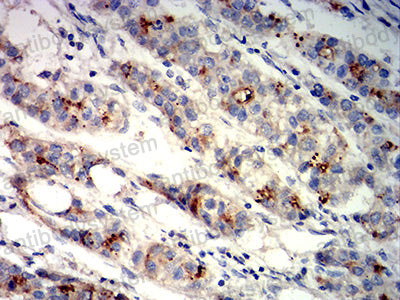
  • Immunohistochemical
    Immunohistochemical analysis of paraffin-embedded human liver cancer tissues using GPC3 mouse mAb with DAB staining.
  • Western blot
    Western blot analysis using GPC3 mouse mAb against HEK293 (1) cell lysate.
References

Engineered E. coli OMVs Carrying the Membrane-Binding hGC33 Fragment Precisely Target Liver Cancer and Effectively Treat Tumor., PMID:40433120

Structural Features of Glypicans and their Impact on Wnt Signaling in Cancer., PMID:40416340

Novel GPC3 N-terminal bispecific antibody exhibits dual anti-tumor effect against tumor cells., PMID:40307410

Dual-antibody functionalized transistor biosensor for specific diagnosis of liver cancer., PMID:40203597

Expression Profiles of Five Common Cancer Membrane Protein Antigens Collected for the Development of Cocktail CAR-T Cell Therapies Applicable to Most Solid Cancer Patients., PMID:40076777

Targeting glypican 3 by immunotoxins: the promise of immunotherapy in hepatocellular carcinoma., PMID:39985417

Anti-GPC3 antibody and cell-penetrating peptide CPP44 dual-ligand modified liposomes for targeted delivery of arsenic trioxide in the treatment of hepatocellular carcinoma., PMID:39883090

Multiplex immunohistochemistry to explore the tumor immune microenvironment in HCC patients with different GPC3 expression., PMID:39838375

A proteomic atlas of glypican-3 interacting partners: Identification of alpha-fetoprotein and other extracellular proteins as potential immunotherapy targets in liver cancer., PMID:39822733

Idarubicin-loaded chitosan nanobubbles to improve survival and decrease drug side effects in hepatocellular carcinoma., PMID:39815170

GPC-3 in hepatocellular carcinoma; A novel biomarker and molecular target., PMID:39725192

Progress and challenges in glypican-3 targeting for hepatocellular carcinoma therapy., PMID:39428649

The role of glypican-3 in hepatocellular carcinoma: Insights into diagnosis and therapeutic potential., PMID:39369212

The Inhibitory Effects of Anti-GPC3 Antibody on Wnt/β-Catenin Signaling Pathway as a Biological Therapy in Liver Cancer., PMID:39349719

Integrated Imaging Probe and Bispecific Antibody Development Enables In Vivo Targeting of Glypican-3-Expressing Hepatocellular Carcinoma., PMID:39312187

Glypican-3 deficiency in liver cancer upregulates MAPK/ERK pathway but decreases cell proliferation., PMID:39113871

[Preparation of bacterial outer membrane vesicles with anti-GPC3 single-chain antibody and identification of their targeting effects on hepatocellular carcinoma]., PMID:39044589

rhIL-7-hyFc, a long-acting interleukin-7, improves efficacy of CAR-T cell therapy in solid tumors., PMID:39043602

Ultrasound-Responsive Nanodelivery System of GPC3-Targeting and Sonosensitizer for Visualized Hepatocellular Carcinoma Therapy., PMID:39011387

Pilot study of humanized glypican-3-targeted zirconium-89 immuno-positron emission tomography for hepatocellular carcinoma., PMID:38978570

A novel LAG3 neutralizing antibody improves cancer immunotherapy by dual inhibition of MHC-II and FGL1 ligand binding., PMID:38776682

Extraction-free, immuno-RPA-CRISPR/Cas13a-based one-pot detection of glypican-3 directly from extracellular vesicles., PMID:38438232

Current methods for the detection of glypican-3., PMID:38108085

Exosomes with IR780 and Lenvatinib loaded on GPC3 single-chain scFv antibodies for targeted hyperthermia and chemotherapy in hepatocellular carcinoma therapy., PMID:38058824

A Single-Step Immunocapture Assay to Quantify HCC Exosomes Using the Highly Sensitive Fluorescence Nanoparticle-Tracking Analysis., PMID:37936599

Lytic efficiency of immunosuppressive drug-resistant armoured T cells against circulating HBV-related HCC in whole blood., PMID:37636242

Improving the cytotoxicity of immunotoxins by reducing the affinity of the antibody in acidic pH., PMID:37626430

Prognostic value of S100A4 and Glypican-3 in hepatocellular carcinoma in cirrhotic HCV patients., PMID:37599312

Combined local therapy and CAR-GPC3 T-cell therapy in advanced hepatocellular carcinoma: a proof-of-concept treatment strategy., PMID:37478283

Glypican-3 targeted positron emission tomography detects sub-centimeter tumors in a xenograft model of hepatocellular carcinoma., PMID:37103671

Derivation and Preclinical Characterization of CYT-303, a Novel NKp46-NK Cell Engager Targeting GPC3., PMID:37048069

Site-Specifically Conjugated Single-Domain Antibody Successfully Identifies Glypican-3-Expressing Liver Cancer by Immuno-PET., PMID:36997331

Targeting tumor vasculature to improve antitumor activity of T cells armed ex vivo with T cell engaging bispecific antibody., PMID:36990507

H-rGO-Pd NPs Nanozyme Enhanced Silver Deposition Strategy for Electrochemical Detection of Glypican-3., PMID:36903516

Human VH-based chimeric antigen receptor T cells targeting glypican 3 eliminate tumors in preclinical models of HCC., PMID:36691969

A clinically feasible circulating tumor cell sorting system for monitoring the progression of advanced hepatocellular carcinoma., PMID:36681851

Soluble programmed death ligand-1-induced immunosuppressive effects on chimeric antigen receptor-natural killer cells targeting Glypican-3 in hepatocellular carcinoma., PMID:36640111

Enhancing anti-tumor efficacy and immune memory by combining 3p-GPC-3 siRNA treatment with PD-1 blockade in hepatocellular carcinoma., PMID:36524206

IL-2/GM-CSF enhances CXCR3 expression in CAR-T cells via the PI3K/AKT and ERK1/2 pathways., PMID:36474002

Nanobody-based CAR T cells targeting intracellular tumor antigens., PMID:36411612

Construction and evaluation of GPC3-targeted immunotoxins as a novel therapeutic modality for hepatocellular carcinoma., PMID:36375323

GPC3-Unc5 receptor complex structure and role in cell migration., PMID:36240740

Ruthenium-Based Metal-Organic Nanoradiosensitizers Enhance Radiotherapy by Combining ROS Generation and CO Gas Release., PMID:36184566

Impaired Autophagy Response in Hepatocellular Carcinomas Enriches Glypican-3 in Exosomes, Not in the Microvesicles., PMID:36105695

Imaging ligands targeting glypican-3 receptor expression in hepatocellular carcinoma., PMID:36072763

A New Combination: Anti Glypican-3 scFv and Diphtheria Toxin with the Best Flexible Linker., PMID:36001255

Immunotherapy for hepatobiliary cancers: Emerging targets and translational advances., PMID:35961708

Frequently expressed glypican-3 as a promising novel therapeutic target for osteosarcomas., PMID:35946078

Glypican-3 (GPC3) is associated with MCPyV-negative status and impaired outcome in Merkel cell carcinoma., PMID:35937502

Molecular correlates of clinical response and resistance to atezolizumab in combination with bevacizumab in advanced hepatocellular carcinoma., PMID:35739268

Datasheet
$ 220
Product specifications
50 μg 220 100 μg 350

Contact Information

Order: order@antibodysystem.com

Mail: support@antibodysystem.com

Distributor list

For research use only. Not for human or drug use.

Need help with your order?

Find out more about placing an order here

Anti-GPC3/Glypican 3 Antibody (R3M60) [RHE84609]
Terms of sale Website terms of use Cookie policy Privacy
Copyright © 2025 AntibodySystem SAS. All Rights Reserved.            All Products are for Research Use Only