Please ensure Javascript is enabled for purposes of website accessibility
Home / Products / Antibody / Recombinant Antibody

Anti-CD41/ITGA2B Antibody (R3A88)

Catalog #:   RHC33303 Specific References (50) DATASHEET
Host species: Mouse
Isotype: IgG1
Applications: IHC
Accession: P08514
Overview

Catalog No.

RHC33303

Species reactivity

Human

Host species

Mouse

Isotype

IgG1

Clonality

Monoclonal

Tested applications

IHC: 1:50-1:100

Target

CD41, ITGAB, GPIIb, ITGA2B, Platelet membrane glycoprotein IIb, GP2B, Integrin alpha-IIb, GPalpha IIb

Concentration

1 mg/ml

Endotoxin level

Please contact with the lab for this information.

Purity

>95% as determined by SDS-PAGE.

Purification

Protein A/G purified from cell culture supernatant.

Accession

P08514

Applications

IHC

Form

Liquid

Storage buffer

0.01M PBS, pH 7.4, 0.5% BSA, 0.05% Sodium Azide and 50% Glycerol.

Stability and Storage

Use a manual defrost freezer and avoid repeated freeze-thaw cycles. Store at 4°C short term (1-2 weeks). Store at -20°C 12 months. Store at -80°C long term.

Clone ID

R3A88

Data Image
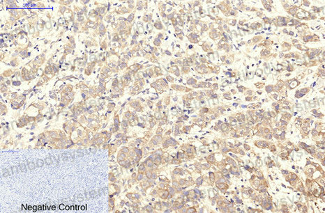
  • Immunohistochemical
    Immunohistochemistry analysis of paraffin-embedded Human breastcancer tissue using Integrin alpha Iib antibody.High-pressure and temperature Sodium Citrate pH 6.0 was used for antigen retrieval.Negative control was used by secondary antibody only.
  • Immunohistochemical
    Immunohistochemical analysis of paraffin-embedded Human tonsils using Integrin alpha Iib antibody.High-pressure and temperature Sodium Citrate pH 6.0 was used for antigen retrieval.
References

Development of a CD3ε mAb that can identify and in vitro activate T cells in large yellow croaker (Larimichthyscrocea)., PMID:40449701

Quantification of Urine and Plasma Levels of Extracellular Vesicles in a Cohort of Kidney Transplant Recipients and Chronic Kidney Disease Patients., PMID:40332150

Association between extracellular vesicles (EVs) and thrombosis in antiphospholipid syndrome., PMID:40123163

Lienal Polypeptide Decreases Immune Thrombocytopenia in a Mouse Model by Upregulating Cytokine Production and Increasing the Levels of CD4+, CD8+, and T Regulatory Cells., PMID:40113259

Liposome-encapsulated lambda exonuclease-based amplification system for enhanced detection of miRNA in platelet-derived microvesicles of non-small cell lung cancer., PMID:39881659

Comparative analysis of the stress and immune responses in Atlantic salmon (Salmo salar) inoculated with live and inactivated Piscirickettsia salmonis., PMID:39753155

Exosomal miR-146a-5p derived from bone marrow mesenchymal stromal cells regulate Th1/Th2 balance and alleviates immune thrombocytopenia in pregnancy., PMID:39699695

Cell-mediated and humoral immune responses of cyprinids induced by a live attenuated vaccine against cyprinid herpesvirus 2 infection in comparison to the virus non-permissive high temperature water treatment., PMID:39477169

Outer membrane vesicles (OMVs) from Tenacibaculum maritimum as a potential vaccine against fish tenacibaculosis., PMID:39370018

[Platelet-specific Rictor knockout inhibits platelet production and activation and reduces thrombosis in mice]., PMID:39276057

Evaluation of artificial intelligence-assisted morphological analysis for platelet count estimation., PMID:39032139

Atherothrombotic Risk Factors in Patients With Rheumatoid Arthritis., PMID:38846255

Off-target effect of high-dose sildenafil on adenosine 5'- diphosphate and collagen-induced platelet activation through mitogen-activated protein kinase pathway in treated BALB/C mice and in vitro experiments: A preliminary study., PMID:38808925

A novel therapy for fracture healing by increasing lymphatic drainage., PMID:38511124

Inducible IL-2 production and IL-2+ cell expansion are landmark events for T-cell activation of teleost., PMID:38499218

Prothymosin α accelerates dengue virus-induced thrombocytopenia., PMID:38213625

Properdin inhibition ameliorates hepatic ischemia/reperfusion injury without interfering with liver regeneration in mice., PMID:37662914

The thymus and T-cell ontogeny in ballan wrasse (Labrus bergylta) is nutritionally modelled., PMID:37197651

CD4-1 and CD4-2 single positive are two major CD4 lymphocyte subpopulations in ginbuna crucian carp Carassius auratus langsdorfii., PMID:37141958

Effects of artificial photoperiods on antigen-dependent immune responses in rainbow trout (Oncorhynchus mykiss)., PMID:37088347

Cysteine carboxyethylation generates neoantigens to induce HLA-restricted autoimmunity., PMID:36927018

Tumor Cell Capture Using Platelet-Based and Platelet-Mimicking Modified Human Serum Albumin Submicron Particles., PMID:36430755

Identification and Isolation of Burst-Forming Unit and Colony-Forming Unit Erythroid Progenitors from Mouse Tissue by Flow Cytometry., PMID:36408979

Efficacy of a recombinant M-like protein, SimA as a subunit vaccine candidate against Streptococcus parauberis infection in olive flounder, Paralichthys olivaceus., PMID:36257554

CD4-1 and CD8α T lymphocytes subsets in spotted sea bass (Lateolabrax maculatus) and comparison on antigenicity of T lymphocytes subsets in other three marine fish species., PMID:36210001

Flow cytometric kinetic assay of calcium mobilization in whole blood platelets of bottlenose dolphins (Tursiops truncatus)., PMID:36164987

Platelets are indispensable for alveolar development in neonatal mice., PMID:36016884

Selective isolation of extracellular vesicles from minimally processed human plasma as a translational strategy for liquid biopsies., PMID:35933395

Physiologically-based pharmacokinetic modeling of immunoglobulin and antibody coadministration in patients with primary human immunodeficiency., PMID:35860862

Protective cellular and humoral immune responses to Edwardsiella tarda in flounder (Paralichthys olivaceus) immunized by an inactivated vaccine., PMID:35777123

Flow Cytometry Analysis of Blood Large Extracellular Vesicles in Patients with Multiple Sclerosis Experiencing Relapse of the Disease., PMID:35628959

Resolution of platelet count interference due to cytoplasmic fragments of leukaemic cells by flow cytometry in acute myeloid leukaemia., PMID:35504732

Changes in glycans on platelet microparticles released during storage of apheresis platelets are associated with phosphatidylserine externalization and phagocytosis., PMID:35467785

Live imaging of platelets and neutrophils during antibody-mediated neurovascular thrombosis., PMID:35452514

Production of monoclonal antibody against grouper (Epinephelus coioides) CD4-1 and the distribution of CD4-1+ cells., PMID:35339659

Identification and immune responses of thrombocytes in bacterial and viral infections in grass carp (Ctenopharyngodon idella)., PMID:35306178

CNS endothelial derived extracellular vesicles are biomarkers of active disease in multiple sclerosis., PMID:35135557

Promotion of Platelet Production by Co-Transplantation of Mesenchymal Stem Cells in Bone Marrow Transplantation., PMID:35013919

Molecular analysis of alpha- and beta-thalassemia in Meizhou region and comparison of gene mutation spectrum with different regions of southern China., PMID:34752669

Increased circulating platelet and endothelial-derived microparticles in patients with cardiac syndrome X., PMID:34703482

Multiphoton Intravital Imaging for Monitoring Leukocyte Recruitment during Arteriogenesis in a Murine Hindlimb Model., PMID:34661568

Generation of 'designer erythroblasts' lacking one or more blood group systems from CRISPR/Cas9 gene-edited human-induced pluripotent stem cells., PMID:34547166

Cord Blood Extracellular Vesicles Analyzed by Flow Cytometry with Thresholding Using 405 nm or 488 nm Laser Leads to Concurrent Results., PMID:34441255

Anatomic and Clinical Pathology Characterization of Drug-Induced Sinusoidal Obstruction Syndrome (Veno-Occlusive Disease) in Cynomolgus Macaques., PMID:34414838

Evaluation of Platelet Activation by HIV Protease Inhibitors - The HIV-PLA II Study., PMID:34393518

Involvement of P2Y12 receptors in a nitroglycerin-induced model of migraine in male mice., PMID:34363208

Identification and Characterization of a Master Transcription Factor of Th1 Cells, T-bet, Within Flounder (Paralichthys olivaceus)., PMID:34262572

Kinetics of CD4-1+ lymphocytes in brown trout after exposure to viral haemorrhagic septicaemia virus., PMID:34160839

Glanzmann Thrombasthenia: Perspectives from Clinical Practice on Accurate Diagnosis and Optimal Treatment Strategies., PMID:34149292

Immune adjuvant effects of interferon-gamma (IFN-γ) of flounder (Paralichthys olivaceus) against Edwardsiella tarda., PMID:34081944

Datasheet
$ 220
Product specifications
50 μg 220 100 μg 350

Contact Information

Order: order@antibodysystem.com

Mail: support@antibodysystem.com

Distributor list

For research use only. Not for human or drug use.

Need help with your order?

Find out more about placing an order here

Anti-CD41/ITGA2B Antibody (R3A88) [RHC33303]
Terms of sale Website terms of use Cookie policy Privacy
Copyright © 2025 AntibodySystem SAS. All Rights Reserved.            All Products are for Research Use Only