Please ensure Javascript is enabled for purposes of website accessibility
Home / Products / Antibody / Recombinant Antibody

Anti-CD133/PROM1 Antibody (R2U89)

Catalog #:   RHA68405 Specific References (50) DATASHEET
Host species: Mouse
Isotype: IgG1
Applications: ELISA, FCM, IHC
Accession: O43490
Overview

Catalog No.

RHA68405

Species reactivity

Human

Host species

Mouse

Isotype

IgG1

Clonality

Monoclonal

Tested applications

ELISA: 1:10000, FCM: 1:200-1:400, IHC: 1:200-1:1000

Target

PROML1, PROM1, Prominin-1, Antigen AC133, CD133, Prominin-like protein 1

Concentration

1 mg/ml

Endotoxin level

Please contact with the lab for this information.

Purity

>95% as determined by SDS-PAGE.

Purification

Protein A/G purified from cell culture supernatant.

Accession

O43490

Applications

ELISA, FCM, IHC

Form

Liquid

Storage buffer

0.01M PBS, pH 7.4, 0.05% Sodium Azide.

Stability and Storage

Use a manual defrost freezer and avoid repeated freeze-thaw cycles. Store at 4°C short term (1-2 weeks). Store at -20°C 12 months. Store at -80°C long term.

Clone ID

R2U89

Data Image
  • Flow Cytometry
    Flow cytometric analysis of Hela cells using CD133 mouse mAb (blue) and negative control (red).
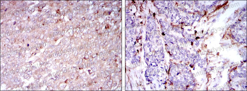
  • Immunohistochemical
    Immunohistochemical analysis of paraffin-embedded human breast cancer tissues (left) and human esophageal cancer tissues (right) using CD133 mouse mAb with DAB staining.
References

Co-expression of Stem Cell Markers CD133 and CD44 as Predictors of Metastatic Potential of Colorectal Carcinoma., PMID:40452184

Targeted Radionuclide Therapy Using a Lutetium-177 Labeled Human Anti-CD133 Antibody., PMID:40405046

Quantification of Urine and Plasma Levels of Extracellular Vesicles in a Cohort of Kidney Transplant Recipients and Chronic Kidney Disease Patients., PMID:40332150

Rapid Isolation and Characterization of Exosomes through a Single-Step, Label-Free Protein Biomarker Analysis., PMID:40203051

Bioinformatics tools and experimental analysis combination for production of specific scFv against CD133., PMID:40014126

Multiplex single-cell profiling of putative cancer stem cell markers ALDH1, SOX9, SOX2, CD44, CD133 and CD15 in endometrial cancer., PMID:39888143

Ultrasound nanobubble-based combinational strategies of loaded miR-107-3p and CD133 Ab for anti-PD-L1 and anti-hepatocellular cancer stem cells., PMID:39756595

Circulating Endothelial Progenitor Cells in Patients with Established Cardiovascular Disease Treated with PCSK9 Monoclonal Antibodies., PMID:39649377

Protocol for sorting cancer stem cells using a combination of anti-CD133 antibody and lectin cyanovirin-N., PMID:39565690

Varieties of interactions of anti-CD133 aptamers with cell cultures from patient glioblastoma., PMID:39550895

[ALDH1, CD133, CD34-positive cancer stem cells in lung adenocarcinoma in patients who had a new coronavirus infection and retained the persistence of viral proteins in the lung tissue]., PMID:39434522

Autophagy Blockage Up-Regulates HLA-Class-I Molecule Expression in Lung Cancer and Enhances Anti-PD-L1 Immunotherapy Efficacy., PMID:39409895

Bisphenol A-induced oxidative stress increases the production of ovarian cancer stem cells in mice., PMID:39322090

The missing link between cancer stem cells and immunotherapy., PMID:39316769

Lactoferrin/CD133 antibody conjugated nanostructured lipid carriers for dual targeting of blood-brain-barrier and glioblastoma stem cells., PMID:39134023

The Impact of Glycosylation on the Functional Activity of CD133 and the Accuracy of Its Immunodetection., PMID:38927329

Neurotrophin-3 Facilitates Stemness Properties and Associates with Poor Survival in Lung Cancer., PMID:38885623

Comparative Analysis of Primary Ovarian Cancer Cells and Established Cell Lines as a New Tool for Studies on Ovarian Cancer Cell Complexity., PMID:38791431

CD133-targeted multifunctional nanomicelles for dual-modality imaging and synergistic high-intensity focus ultrasound (HIFU) ablation on pancreatic cancer in nude mice., PMID:38775254

Transition to a mesenchymal state in neuroblastoma may be characterized by a high expression of GD2 and by the acquisition of immune escape from NK cells., PMID:38736882

Dulaglutide restores endothelial progenitor cell levels in diabetic mice and mitigates high glucose-induced endothelial injury through SIRT1-mediated mitochondrial fission., PMID:38697011

Morphological Evaluation and Immunohistochemical Analysis of the Reparative Potential of the Buccal Fat Pad., PMID:38674213

The bone marrow endothelial progenitor cell response to septic infection., PMID:38665923

Hypofractionated radiotherapy combined with lenalidomide improves systemic antitumor activity in mouse solid tumor models., PMID:38646638

Informed by Cancer Stem Cells of Solid Tumors: Advances in Treatments Targeting Tumor-Promoting Factors and Pathways., PMID:38612911

CD133-containing microvesicles promote colorectal cancer progression by inducing tumor angiogenesis., PMID:38601650

The Combination of Afatinib With Dasatinib or Miransertib Results in Synergistic Growth Inhibition of Stomach Cancer Cells., PMID:38545471

89Zr-labeled ImmunoPET targeting the cancer stem cell antigen CD133 using fully-human antibody constructs., PMID:38498285

[Is it possible to detect surface antigen CD133 on patient-derived glioblastoma continuous cell cultures using fluorescent aptamers?]., PMID:38334731

Effect of Pioglitazone and Cetuximab on Colon Cancer Stem-like Cell (CCSLCs) Properties., PMID:38303523

CD133, CD47, and PD-L1 Expression in Ovarian High-grade Serous Carcinoma and Its Association with Metastatic Disease: A Cross-sectional Study., PMID:38285791

Sotagliflozin and Kidney Outcomes, Kidney Function, and Albuminuria in Type 2 Diabetes and CKD: A Secondary Analysis of the SCORED Trial., PMID:38277468

Crosstalk between colorectal CSCs and immune cells in tumorigenesis, and strategies for targeting colorectal CSCs., PMID:38254219

Immunization with Embryonic Stem Cells/Induced Pluripotent Stem Cells Induces Effective Immunity against Ovarian Tumor-Initiating Cells in Mice., PMID:38058983

The role of hypoxia and radiation in developing a CTCs-like phenotype in murine osteosarcoma cells., PMID:38033871

SPINK1-induced tumor plasticity provides a therapeutic window for chemotherapy in hepatocellular carcinoma., PMID:38030644

Manganese Dioxide/Gold-based Active Tumor Targeting Nanoprobes for Enhancing Photodynamic and Low-Temperature-Photothermal Combination Therapy in Lung Cancer., PMID:37974457

Subcellular trafficking and transcytosis efficacy of different receptor types for therapeutic antibody delivery at the blood‒brain barrier., PMID:37932749

Targeting Stem Cells and Dysplastic Features With Dual MEK/ERK and STAT3 Suppression in Gastric Carcinogenesis., PMID:37802423

Update on immune-based therapy strategies targeting cancer stem cells., PMID:37698048

A Novel Aniline Derivative from Peganum harmala L. Promoted Apoptosis via Activating PI3K/AKT/mTOR-Mediated Autophagy in Non-Small Cell Lung Cancer Cells., PMID:37628807

CD133/Prom1 marks proximal mouse oviduct epithelial progenitors and adult epithelial cells with a low generative capacity., PMID:37605939

Stem cell markers: A guide to neoadjuvant therapy in breast carcinomas., PMID:37530329

Thymocyte Development of Humanized Mice Is Promoted by Interactions with Human-Derived Antigen Presenting Cells upon Immunization., PMID:37511462

Production of a Ribosome-Displayed Mouse scFv Antibody Against CD133, Analysis of Its Molecular Docking, and Molecular Dynamic Simulations of Their Interactions., PMID:37410352

Delivery of sPD1 gene by anti-CD133 antibody conjugated microbubbles combined with ultrasound for the treatment of cervical cancer in mice., PMID:37355104

Effect of photothermal and photodynamic therapy with cobalt ferrite superparamagnetic nanoparticles loaded with ICG and PpIX on cancer stem cells in MDA-MB-231 and A375 cell lines., PMID:37315828

Biological and molecular studies on specific immune cells treated with checkpoint inhibitors for the thera-personal approach of breast cancer patients (ex-vivo study)., PMID:37305162

Advanced Boron Neutron Capture Therapy Targeting Cancer Stem Cells by Selective Induction of LAT1 Overexpression., PMID:37212749

CD133-Targeted Hybrid Nanovesicles for Fluorescent/Ultrasonic Imaging-Guided HIFU Pancreatic Cancer Therapy., PMID:37207110

Datasheet
$ 220
Product specifications
50 μg 220 100 μg 350

Contact Information

Order: order@antibodysystem.com

Mail: support@antibodysystem.com

Distributor list

For research use only. Not for human or drug use.

Need help with your order?

Find out more about placing an order here

Anti-CD133/PROM1 Antibody (R2U89) [RHA68405]
Terms of sale Website terms of use Cookie policy Privacy
Copyright © 2025 AntibodySystem SAS. All Rights Reserved.            All Products are for Research Use Only