Please ensure Javascript is enabled for purposes of website accessibility
Home / Products / Super-Affinity Antibody

Anti-BCL2L1/Bcl-XL Antibody (R1A24)

Catalog #:   RHG13301 Specific References (50) DATASHEET
Host species: Rabbit
Isotype: IgG
Applications: FCM, IF, IHC, IP, WB
Accession: Q07817
Overview

Catalog No.

RHG13301

Species reactivity

Human, Mouse, Rat

Host species

Rabbit

Isotype

IgG

Clonality

Monoclonal

Tested applications

FCM: 1:20-1:100, IF: 1:50-1:200, IHC: 1:100-1:200, IP: 1:20-1:50, WB: 1:1000-1:2000

Target

Apoptosis regulator Bcl-X, BLC2L, Bcl-2-like 1 protein bclxl, BCL2L, BCL2L1, BCLX, Bcl 2 L1

Concentration

1 mg/ml

Endotoxin level

Please contact with the lab for this information.

Purity

>95% by SDS-PAGE.

Purification

Protein A/G purified from cell culture supernatant.

Accession

Q07817

Applications

FCM, IF, IHC, IP, WB

Form

Liquid

Storage buffer

0.01M PBS, pH 7.4, 0.05% BSA, 50% Glycerol, 0.05% Sodium azide.

Stability and Storage

Use a manual defrost freezer and avoid repeated freeze-thaw cycles. Store at +4 ℃ short term (1-2 weeks). Store at -20 ℃ 12 months. Store at -80 ℃ long term.

Clone ID

R1A24

Data Image
  • Immunofluorescence
    Immunofluorescent analysis of Hela cells, using Bcl-XL Antibody .
  • Immunohistochemical
    Immunohistochemical analysis of paraffin-embedded Human liver cancer, using the Antibody at 1:200 dilution.
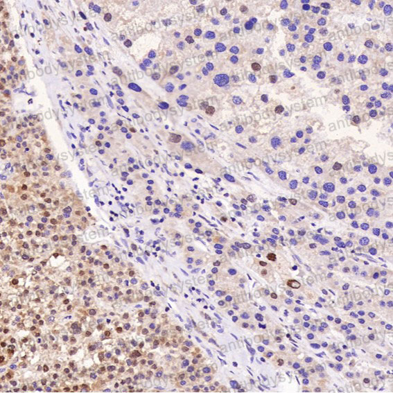
  • Immunohistochemical
    Immunohistochemical analysis of paraffin-embedded human liver cancer, using Bcl-XL Antibody.
  • Western blot
    All lanes use the Antibody at 1:2K dilution for 1 hour at room temperature.
  • Western blot
    All lanes use the Antibody at 1:2K dilution for 1 hour at room temperature.
  • Western blot
    All lanes use the Antibody at 1:1K dilution for 1 hour at room temperature.
References

Co-targeting of epigenetic regulators and BCL-XL improves efficacy of immune checkpoint blockade therapy in multiple solid tumors., PMID:40442785

Evaluating Apoptotic Gene Efficiency for CHO Culture Performance Using Targeted Integration., PMID:40268279

The BCL2 family: from apoptosis mechanisms to new advances in targeted therapy., PMID:40113751

BCL-XL-targeting antibody-drug conjugates are active in preclinical models and mitigate on-mechanism toxicity of small-molecule inhibitors., PMID:39365864

Secreted GDF15 maintains transcriptional responses during DNA damage-mediated senescence in human beta cells., PMID:39196800

Design, Synthesis, and Evaluation of BCL-2 Targeting PROTACs., PMID:38818652

Profiling of BCLxL Protein Complexes in Non-Small Cell Lung Cancer Cells via Multiplexed Single-Molecule Pull-Down and Co-Immunoprecipitation., PMID:38728439

Peritoneal B1 and B2 cells respond differently to LPS and IL-21 stimulation., PMID:38615627

Exploring association of melanoma-specific Bcl-xL with tumor immune microenvironment., PMID:37488586

Synthetic Lethal Interaction with BCL-XL Blockade Deepens Response to Cetuximab in Patient-Derived Models of Metastatic Colorectal Cancer., PMID:36622698

Hepatocyte Bcl-3 protects from death-receptor mediated apoptosis and subsequent acute liver failure., PMID:35641486

Strategies to Reduce the On-Target Platelet Toxicity of Bcl-xL Inhibitors: PROTACs, SNIPERs and Prodrug-Based Approaches., PMID:35263486

IgM-MM is predominantly a pre-germinal center disorder and has a distinct genomic and transcriptomic signature from WM., PMID:34792571

A comprehensive analysis of different gene classes in pancreatic cancer: SIGLEC15 may be a promising immunotherapeutic target., PMID:34515878

Multiple myeloma with t(11;14)-associated immature phenotype has lower CD38 expression and higher BCL2 dependence., PMID:34288263

Anti-cancer effect of combined action of anti-MUC1 and rosmarinic acid in AGS gastric cancer cells., PMID:33930385

Hexavalent TRAIL Fusion Protein Eftozanermin Alfa Optimally Clusters Apoptosis-Inducing TRAIL Receptors to Induce On-Target Antitumor Activity in Solid Tumors., PMID:33687950

Targeting BCL-2 with venetoclax and dexamethasone in patients with relapsed/refractory t(11;14) multiple myeloma., PMID:33368455

Navitoclax enhances the effectiveness of EGFR-targeted antibody-drug conjugates in PDX models of EGFR-expressing triple-negative breast cancer., PMID:33256808

In Cellulo Evaluation of the Therapeutic Potential of NHC Platinum Compounds in Metastatic Cutaneous Melanoma., PMID:33105692

Development of Conformational Antibodies to Detect Bcl-xL's Amyloid Aggregates in Metal-Induced Apoptotic Neuroblastoma Cells., PMID:33076337

Selective Affimers Recognise the BCL-2 Family Proteins BCL-xL and MCL-1 through Noncanonical Structural Motifs*., PMID:32961017

Insulin receptor substrate 1 may play divergent roles in human colorectal cancer development and progression., PMID:32821075

The BCL-2 family protein inhibitor ABT-737 as an additional tool for the treatment of EBV-associated post-transplant lymphoproliferative disorders., PMID:32623836

PKD2/polycystin-2 induces autophagy by forming a complex with BECN1., PMID:32543276

Qualitative Ras pathway signature for cetuximab therapy reveals resistant mechanism in colorectal cancer., PMID:32216031

Thymic stromal lymphopoietin protects in a model of airway damage and inflammation via regulation of caspase-1 activity and apoptosis inhibition., PMID:32103153

Adalimumab changes the expression profile of selected BCL-2 family genes., PMID:32068934

Evaluation of apoptosis and angiogenesis in ectopic and eutopic stromal cells of patients with endometriosis compared to non-endometriotic controls., PMID:31906916

Heterogeneous Pattern of Dependence on Anti-Apoptotic BCL-2 Family Proteins upon CHOP Treatment in Diffuse Large B-Cell Lymphoma., PMID:31801186

Axotomy-Induced Changes of the Protein Profile in the Crayfish Ventral Cord Ganglia., PMID:31066008

Establishment of Systems to Enable Isolation of Porcine Monoclonal Antibodies Broadly Neutralizing the Porcine Reproductive and Respiratory Syndrome Virus., PMID:30972067

Neutralization of BCL-2/XL Enhances the Cytotoxicity of T-DM1 In Vivo., PMID:30962322

Neuroprotective effects of topical coenzyme Q10 + vitamin E in mechanic optic nerve injury model., PMID:30852912

Pharmacological reactivation of MYC-dependent apoptosis induces susceptibility to anti-PD-1 immunotherapy., PMID:30728358

Pathobiological role of cleft palate transmembrane protein 1 family proteins in oral squamous cell carcinoma., PMID:30635792

Isolation of Synthetic Antibodies Against BCL-2-Associated X Protein (BAX)., PMID:30536015

Quantification of BCL-2 Family Members by Flow Cytometry., PMID:30536005

IL-21 and anti-CD40 restore Bcl-2 family protein imbalance in vitro in low-survival CD27+ B cells from CVID patients., PMID:30464201

Protein Synthesis Inhibition Activity of Mesothelin Targeting Immunotoxin LMB-100 Decreases Concentrations of Oncogenic Signaling Molecules and Secreted Growth Factors., PMID:30384408

Overexpression of miR‑361‑5p plays an oncogenic role in human lung adenocarcinoma through the regulation of SMAD2., PMID:30365047

MEK1/2 inhibition by binimetinib is effective as a single agent and potentiates the actions of Venetoclax and ABT-737 under conditions that mimic the chronic lymphocytic leukaemia (CLL) tumour microenvironment., PMID:29767411

Bach2 Promotes B Cell Receptor-Induced Proliferation of B Lymphocytes and Represses Cyclin-Dependent Kinase Inhibitors., PMID:29540581

Foxp1 controls mature B cell survival and the development of follicular and B-1 B cells., PMID:29507226

Apoptosis and cell cycle aberrations in epithelial odontogenic lesions: An evidence by the expression of p53, Bcl-2 and Bax., PMID:29476674

Mechanisms of platelet clearance and translation to improve platelet storage., PMID:29475962

Targeting PLK1 overcomes T-DM1 resistance via CDK1-dependent phosphorylation and inactivation of Bcl-2/xL in HER2-positive breast cancer., PMID:29391599

Enhanced production of anti-PD1 antibody in CHO cells through transient co-transfection with anti-apoptotic genes Bcl-x L and Mcl-1., PMID:29368032

Human antibody-based chemically induced dimerizers for cell therapeutic applications., PMID:29200207

The MIP-1α autocrine loop contributes to decreased sensitivity to anticancer drugs., PMID:29057477

Datasheet
$ 290
Product specifications
50 μg 290 100 μg 484

Contact Information

Order: order@antibodysystem.com

Mail: support@antibodysystem.com

Distributor list

For research use only. Not for human or drug use.

Need help with your order?

Find out more about placing an order here

Anti-BCL2L1/Bcl-XL Antibody (R1A24) [RHG13301]
Terms of sale Website terms of use Cookie policy Privacy
Copyright © 2025 AntibodySystem SAS. All Rights Reserved.            All Products are for Research Use Only