Please ensure Javascript is enabled for purposes of website accessibility
Home / Products / Antibody / Polyclonal Antibody

Anti-Mouse CD200 Polyclonal Antibody

Catalog #:   PME30301 Specific References (50) DATASHEET
Host species: Rabbit
Isotype: IgG
Applications: ELISA, IHC, WB
Accession: O54901
Overview

Catalog No.

PME30301

Species reactivity

Mouse

Host species

Rabbit

Isotype

IgG

Clonality

Polyclonal

Immunogen

E. coli - derived recombinant Mouse CD200 (Gln31-Gly232).

Tested applications

ELISA: 1:4000-1:8000, IHC: 1:50-1:100, WB: 1:1000-1:4000

Target

OX-2 membrane glycoprotein (MRC OX-2 antigen) (CD antigen CD200)

Purification

Purified by antigen affinity column.

Accession

O54901

Applications

ELISA, IHC, WB

Form

Liquid

Storage buffer

0.01M PBS, pH 7.4, 50% Glycerol, 0.05% Proclin 300.

Stability and Storage

Use a manual defrost freezer and avoid repeated freeze thaw cycles. Store at 2 to 8°C for frequent use. Store at -20 to -80°C for twelve months from the date of receipt.

Data Image
  • Western Blot
    Recombinant Protein lysates were subjected to SDS PAGE followed by western blot with CD200 antibody (PME30301) at 1 μg/ml.

    Lane 1: Recombinant protein

    Second Ab: Goat Anti-Rabbit IgG H&L Polyclonal antibody, HRP (PTB96431) at 0.1 μg/mL.

    Predict MW: 25 kDa
    Observed MW: 25 kDa
  • Western Blot
    Various lysates were subjected to SDS PAGE followed by western blot with Cd200 antibody (PME30301) at 1 μg/ml.

    Lane 1: mouse kidney

    Second Ab: Goat Anti-Rabbit IgG H&L Polyclonal antibody, HRP (PTB96431) at 0.1 μg/mL.

    Predict MW: 31 kDa
    Observed MW: 31 kDa
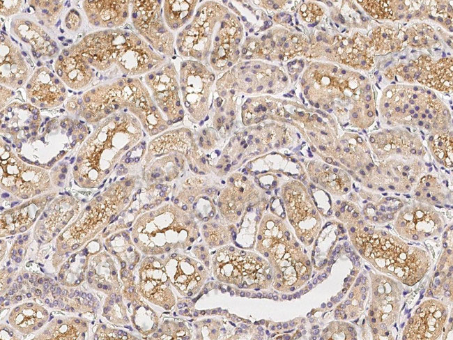
  • Immunohistochemical
    Immunohistochemical analysis of human kidney stained for Cd200 with PME30301.
References

Clinical Utility of Serum sCD200/sCD200R Ratios in Predicting Current Activity of Antineutrophil Cytoplasmic Antibody-Associated Vasculitis., PMID:40283550

Inhibition of polymorphonuclear cells averts cytotoxicity against hypoimmune cells in xenotransplantation., PMID:40251154

Monocytes from patients with myelodysplastic syndrome inhibit natural killer cell-mediated antitumor function through the CD200/CD200R pathway., PMID:40049088

Integration of CD200, CD43 and ROR1 in Multiparameter Flow Cytometry (MFC) Routine Panels for the Differential Diagnosis of B-cell lymphoproliferative Disorders (B-LPDs)., PMID:39830795

First-in-Human Study of 23ME-00610, an Antagonistic Antibody for Genetically Validated CD200R1 Immune Checkpoint, in Participants with Advanced Solid Malignancies., PMID:39651931

CD200R1 immune checkpoint blockade by the first-in-human anti-CD200R1 antibody 23ME-00610: molecular mechanism and engineering of a surrogate antibody., PMID:39402718

Immunophenotypic properties association of CLL and ALL patient cells by flow cytometry analysis., PMID:39397873

A squalene oil emulsified MPL-A and anti-CD200/CD300a antibodies adjuvanted whole-killed Leishmania vaccine provides durable immunity against L. donovani parasites., PMID:39288578

Endothelial Cell-Derived Soluble CD200 Determines the Ability of Immune Cells to Cross the Blood-Brain Barrier., PMID:39273210

Differences in immunological profile in atopic dermatitis patients with and without dupilumab therapy., PMID:39148480

Interleukin-6 Signaling Blockade Induces Regulatory Plasmablasts in Neuromyelitis Optica Spectrum Disorder., PMID:38889374

CD200R activation on naïve T cells by B cells induces suppressive activity of T cells via IL-24., PMID:38780647

Myeloid cell expression of CD200R is modulated in active TB disease and regulates Mycobacterium tuberculosis infection in a biomimetic model., PMID:38745652

The association between expression of CD200 on B lymphocytes and the count of eosinophils and basophils in atopic dermatitis patients with and without dupilumab therapy - Pilot study., PMID:38603859

CD200Rhigh neutrophils with dysfunctional autophagy establish systemic immunosuppression by increasing regulatory T cells., PMID:38311677

The expression of CD200 and CD23 on B lymphocytes in the pollen season and outside the pollen season in atopic dermatitis patients with and without dupilumab therapy., PMID:38263709

Myxoma Virus Combination Therapy Enhances Lenalidomide and Bortezomib Treatments for Multiple Myeloma., PMID:38251379

Activation of the CD200/CD200R1 axis improves cognitive impairment by enhancing hippocampal neurogenesis via suppression of M1 microglial polarization and neuroinflammation in hypoxic-ischemic neonatal rats., PMID:38237226

Immunological Parameters in Patients Suffering from Atopic Dermatitis and Either Treated or Non-Treated with Dupilumab., PMID:37930093

Activation of the CD200/CD200R1 axis attenuates neuroinflammation and improves postoperative cognitive dysfunction via the PI3K/Akt/NF-κB signaling pathway in aged mice., PMID:37902837

Exploring the Significance of Immune Checkpoints and EBV Reactivation in Antibody Deficiencies with Near-Normal Immunoglobulin Levels or Hyperimmunoglobulinemia., PMID:37894426

Could Immune Checkpoint Disorders and EBV Reactivation Be Connected in the Development of Hematological Malignancies in Immunodeficient Patients?, PMID:37835480

The Use of CD200 in the Differential Diagnosis of B-Cell Lymphoproliferative Disorders., PMID:37822353

Evaluation of Diagnostic Usefulness of CD200 Expression in B-cell Chronic Lymphoproliferative Disorders., PMID:37786819

Adjuvantation of whole-killed Leishmania vaccine with anti-CD200 and anti-CD300a antibodies potentiates its efficacy and provides protection against wild-type parasites., PMID:37778149

Different mechanisms of CD200-CD200R induce diverse outcomes in cancer treatment., PMID:37734537

Comprehensive cell surface protein profiling of human mesenchymal stromal cells from peritoneal dialysis effluent and comparison with those from human bone marrow and adipose tissue., PMID:37603218

Twenty-four-color full spectrum flow cytometry panel for minimal residual disease detection in acute myeloid leukemia., PMID:37533738

Clinical and Laboratory Characteristics of IgM Primary Plasma Cell Leukemia., PMID:37436385

23ME-00610, a genetically informed, first-in-class antibody targeting CD200R1 to enhance antitumor T cell function., PMID:37288324

CD200R signaling contributes to unfavorable tumor microenvironment through regulating production of chemokines by tumor-associated myeloid cells., PMID:37275530

MMP14 is a diagnostic gene of intrahepatic cholangiocarcinoma associated with immune cell infiltration., PMID:37274806

Evaluation of Leukocytes, B and T Lymphocytes, and expression of CD200 and CD23 on B lymphocytes in Patients with Atopic Dermatitis on Dupilumab Therapy-Pilot Study., PMID:37097547

Targeting immune checkpoints in anti-neutrophil cytoplasmic antibodies associated vasculitis: the potential therapeutic targets in the future., PMID:37090741

Combination CD200R/PD-1 blockade in a humanised mouse model., PMID:37082107

Immunophenotypic characterization of normal and abnormal plasma cells in bone marrow of newly diagnosed multiple myeloma patients., PMID:37077071

Cancel cancer: The immunotherapeutic potential of CD200/CD200R blockade., PMID:36756156

The immunoregulatory protein CD200 as a potentially lucrative yet elusive target for cancer therapy., PMID:36738455

CD200+ cytotoxic T lymphocytes in the tumor microenvironment are crucial for efficacious anti-PD-1/PD-L1 therapy., PMID:36652534

Reciprocal Alterations in Osteoprogenitor and Immune Cell Populations in Rheumatoid Synovia., PMID:36293236

Immune checkpoint expression on HIV-specific CD4+ T cells and response to their blockade are dependent on lineage and function., PMID:36150362

Reduced cutaneous CD200:CD200R1 signaling in psoriasis enhances neutrophil recruitment to skin., PMID:35759230

Immunophenotypic Characterization and Ploidy Analysis of Neoplastic Plasma Cells by Multiparametric Flow Cytometry., PMID:35747566

CD200R1 Contributes to Successful Functional Reinnervation after a Sciatic Nerve Injury., PMID:35681481

Minoxidil Nanoparticles Targeting Hair Follicles Enhance Hair Growth in C57BL/6 Mice., PMID:35631533

Purine nucleoside analogs plus rituximab are an effective treatment choice for hairy cell leukemia-variant., PMID:35437610

Bovine Peripheral Blood Derived Lymphocyte Proteome and Secretome Show Divergent Reaction of Bovine Immune Phenotypes after Stimulation with Pokeweed Mitogen., PMID:35225986

CD200S-positive granulated lymphoid cells in endometrium appear to be CD56-positive uterine NK cells., PMID:35051828

CD103-CD23+ classical hair cell leukemia: A case report and review of the literature., PMID:34941102

Hematogones with light chain restriction: A potential diagnostic pitfall when using flow cytometry analysis to assess bone marrow specimens., PMID:34735934

Datasheet
$ 170
Product specifications
50 μg 170 100 μg 280

Contact Information

Order: order@antibodysystem.com

Mail: support@antibodysystem.com

Distributor list

For research use only. Not for human or drug use.

Need help with your order?

Find out more about placing an order here

Anti-Mouse CD200 Polyclonal Antibody [PME30301]
Terms of sale Website terms of use Cookie policy Privacy
Copyright © 2025 AntibodySystem SAS. All Rights Reserved.            All Products are for Research Use Only