Please ensure Javascript is enabled for purposes of website accessibility
Home / Products / Antibody / Polyclonal Antibody

Anti-Mouse CD140b/PDGFRB Polyclonal Antibody

Catalog #:   PMC42201 Specific References (20) DATASHEET
Host species: Rabbit
Isotype: IgG
Applications: ELISA, IHC, WB
Accession: P05622
Overview

Catalog No.

PMC42201

Species reactivity

Mouse

Host species

Rabbit

Isotype

IgG

Clonality

Polyclonal

Immunogen

E. coli - derived recombinant Mouse CD140b/PDGFRB (Gly31-Gln209).

Tested applications

ELISA: 1:4000-1:8000, IHC: 1:50-1:100, WB: 1:1000-1:4000

Target

Platelet-derived growth factor receptor beta (PDGF-R-beta) (PDGFR-beta) (EC 2.7.10.1) (Beta platelet-derived growth factor receptor) (Beta-type platelet-derived growth factor receptor) (CD140 antigen-like family member B) (Platelet-derived growth factor receptor 1) (PDGFR-1) (CD antigen CD140b)

Purification

Purified by antigen affinity column.

Accession

P05622

Applications

ELISA, IHC, WB

Form

Liquid

Storage buffer

0.01M PBS, pH 7.4, 50% Glycerol, 0.05% Proclin 300.

Stability and Storage

Use a manual defrost freezer and avoid repeated freeze thaw cycles. Store at 2 to 8°C for frequent use. Store at -20 to -80°C for twelve months from the date of receipt.

Data Image
  • Western Blot
    Recombinant Protein lysates were subjected to SDS PAGE followed by western blot with CD140b/PDGFRB antibody (PMC42201) at 1 μg/ml.

    Lane 1: Recombinant protein

    Second Ab: Goat Anti-Rabbit IgG H&L Polyclonal antibody, HRP (PTB96431) at 0.1 μg/mL.

    Predict MW: 22 kDa
    Observed MW: 22 kDa
  • Western Blot
    Various lysates were subjected to SDS PAGE followed by western blot with PDGFRB antibody (PMC42201) at 1 μg/ml.

    Lane 1: U-87 MG

    Second Ab: Goat Anti-Rabbit IgG H&L Polyclonal antibody, HRP (PTB96431) at 0.1 μg/mL.

    Predict MW: 124 kDa
    Observed MW: 200 kDa
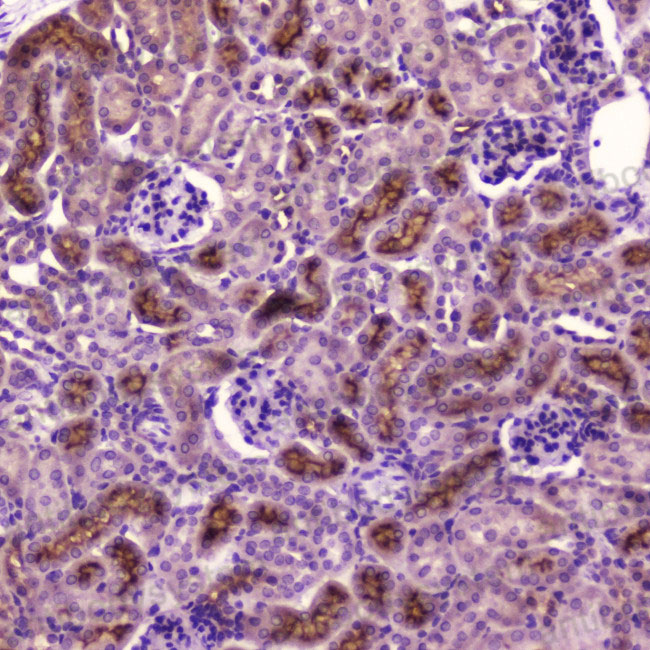
  • Immunohistochemical
    Immunohistochemical analysis of mouse kidney stained for PDGFRB with PMC42201.
References

High-throughput surface marker screen on primary human breast tissues reveals further cellular heterogeneity., PMID:34120626

[Influence of connective tissue differentiation on scar tissue formation in children]., PMID:33977701

Understanding the regulatory mechanisms of endometrial cells on activities of endometrial mesenchymal stem-like cells during menstruation., PMID:32552749

CD140b (PDGFRβ) signaling in adipose-derived stem cells mediates angiogenic behavior of retinal endothelial cells., PMID:30976657

Exhaustion of the bone marrow progenitor cell reserve is associated with major events in severe limb ischemia., PMID:30929097

Development of new method to enrich human iPSC-derived renal progenitors using cell surface markers., PMID:29686294

High-throughput immunophenotypic characterization of bone marrow- and cord blood-derived mesenchymal stromal cells reveals common and differentially expressed markers: identification of angiotensin-converting enzyme (CD143) as a marker differentially expressed between adult and perinatal tissue sources., PMID:29338788

Human predecidual stromal cells have distinctive characteristics of pericytes: Cell contractility, chemotactic activity, and expression of pericyte markers and angiogenic factors., PMID:29277270

Mesenchymal stem/stromal cells in post-menopausal endometrium., PMID:24964924

Complementary populations of human adipose CD34+ progenitor cells promote growth, angiogenesis, and metastasis of breast cancer., PMID:23918796

Lineage depletion of stromal vascular fractions isolated from human adipose tissue: a novel approach towards cell enrichment technology., PMID:23553017

Maintenance of "stem cell" features of cartilage cell sub-populations during in vitro propagation., PMID:23363653

Comprehensive phenotypic characterization of human adipose-derived stromal/stem cells and their subsets by a high throughput technology., PMID:22920587

A novel marker of human endometrial mesenchymal stem-like cells., PMID:22469435

Efficient and scalable purification of cardiomyocytes from human embryonic and induced pluripotent stem cells by VCAM1 surface expression., PMID:21876760

Differentiation potential of human postnatal mesenchymal stem cells, mesoangioblasts, and multipotent adult progenitor cells reflected in their transcriptome and partially influenced by the culture conditions., PMID:21433224

Phenotypic characterization of distinct human bone marrow-derived MSC subsets., PMID:19796240

Novel markers for the prospective isolation of human MSC., PMID:17395729

Heterogeneity among human bone marrow-derived mesenchymal stem cells and neural progenitor cells., PMID:12604402

Immunologic phenotype of cultured endothelial cells: quantitative analysis of cell surface molecules., PMID:9389318

Datasheet
$ 170
Product specifications
50 μg 170 100 μg 280

Contact Information

Order: order@antibodysystem.com

Mail: support@antibodysystem.com

Distributor list

For research use only. Not for human or drug use.

Need help with your order?

Find out more about placing an order here

Anti-Mouse CD140b/PDGFRB Polyclonal Antibody [PMC42201]
Terms of sale Website terms of use Cookie policy Privacy
Copyright © 2025 AntibodySystem SAS. All Rights Reserved.            All Products are for Research Use Only