Please ensure Javascript is enabled for purposes of website accessibility
Home / Products / Antibody / Polyclonal Antibody

Anti-PARP1 Polyclonal Antibody

Catalog #:   PHC43701 Specific References (50) DATASHEET
Host species: Rabbit
Isotype: IgG
Applications: ELISA, IHC, WB
Accession: P09874
Overview

Catalog No.

PHC43701

Species reactivity

Human, Mouse, Rat

Host species

Rabbit

Isotype

IgG

Clonality

Polyclonal

Immunogen

E. coli - derived recombinant Human PARP1 (Thr373-Glu540).

Tested applications

ELISA: 1:4000-1:8000, IHC: 1:50-1:200, WB: 1:1000-1:4000

Target

PARP-1,Protein poly-ADP-ribosyltransferase PARP1,DNA ADP-ribosyltransferase PARP1,Poly [ADP-ribose] polymerase 1,PPOL,Poly[ADP-ribose] synthase 1,ADPRT 1,ADP-ribosyltransferase diphtheria toxin-like 1,ADPRT,PARP1,NAD(+) ADP-ribosyltransferase 1,ARTD1

Concentration

1.4 mg/ml

Purification

Purified by antigen affinity column.

Accession

P09874

Applications

ELISA, IHC, WB

Form

Liquid

Storage buffer

0.01M PBS, pH 7.4, 50% Glycerol, 0.05% Proclin 300.

Stability and Storage

Use a manual defrost freezer and avoid repeated freeze thaw cycles. Store at 2 to 8°C for frequent use. Store at -20 to -80°C for twelve months from the date of receipt.

Data Image
  • Western Blot
    Various lysates were subjected to SDS PAGE followed by western blot with PARP1 antibody (PHC43701) at 1μg/ml.

    Lane 1: Jurkat cell lysate
    Lane 2: Hela cell lysate
    Lane 3: HepG2 cell lysate
    Lane 4: 293T cell lysate
    Lane 5: A549 cell lysate
    Lane 6: K562 cell lysate

    Second Ab: Goat Anti-Rabbit IgG H&L Polyclonal antibody, HRP (PTB96431) at 0.1 μg/mL.

    Predict MW: 113 kDa
    Observed MW: 113 kDa
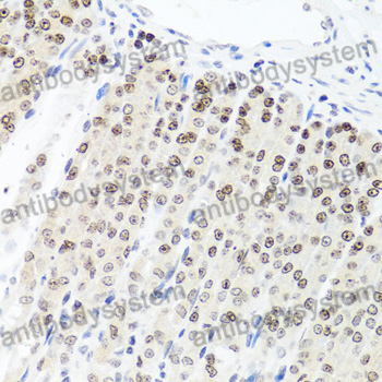
  • Immunohistochemical
    Immunohistochemical analysis of mouse stomach stained for PARP1 with PHC43701.
  • Western Blot
    Recombinant Protein lysates were subjected to SDS PAGE followed by western blot with PARP1 antibody (PHC43701) at 1 µg/ml.

    Lane 1: Recombinant Protein

    Second Ab: Goat Anti-Rabbit IgG H&L Polyclonal antibody, HRP (PTB96431) at 0.1 μg/mL.

    Predict MW: 20 kDa
    Observed MW: 20 kDa
References

177Lu-Anti-CD25 Antibody for Interleukin-2 Receptor-α-Targeted Radioimmunotherapy of SUDHL1 Lymphomas in Mice., PMID:40408541

The Poly (ADP-Ribose) Polymerase-1 Enzyme Is Overexpressed in Various Solid Canine Tumours: An Immunohistochemical Study., PMID:40177980

New therapies in pulmonary arterial hypertension: Recent insights., PMID:39991439

Exploring the role of PARP1 inhibition in enhancing antibody-drug conjugate therapy for acute leukemias: insights from DNA damage response pathway interactions., PMID:39587643

Combination strategies with PARP inhibitors in BRCA-mutated triple-negative breast cancer: overcoming resistance mechanisms., PMID:39572842

PARP1 acetylation at K119 is essential in regulating the progression and proliferation of cervical cancer cells., PMID:39400626

Gaucher-like crystal-storing histiocytosis associated with kappa chain myeloma: A case report with next generation sequencing study., PMID:39357187

Preserving ester-linked modifications reveals glutamate and aspartate mono-ADP-ribosylation by PARP1 and its reversal by PARG., PMID:38762517

CD14 facilitates perinatal human cytomegalovirus infection in biliary epithelial cells via CD55., PMID:38601478

Vesicular translocation of PARP-1 to cytoplasm causes ADP-ribosylation and disassembly of vimentin filaments during microglia activation induced by LPS., PMID:38590714

PARP Inhibitors for Breast Cancer Treatment: A Review., PMID:38512229

HBV DNA polymerase upregulates the transcription of PD-L1 and suppresses T cell activity in hepatocellular carcinoma., PMID:38475878

Phosphorylation of PP2Ac by PKC is a key regulatory step in the PP2A-switch-dependent AKT dephosphorylation that leads to apoptosis., PMID:38419089

A Knockout of Poly(ADP-Ribose) Polymerase 1 in a Human Cell Line: An Influence on Base Excision Repair Reactions in Cellular Extracts., PMID:38391916

Stimulating T cell responses against patient-derived breast cancer cells with neoantigen peptide-loaded peripheral blood mononuclear cells., PMID:38349410

From Serendipity to Intention: Development of Brain-Penetrant PARP1-Selective Inhibitors., PMID:38251977

Generation of Bispecific Antibodies by Functionalized Poly-ADP-Ribose Polymers., PMID:38147359

Targeted inhibition of the ATR/CHK1 pathway overcomes resistance to olaparib and dysregulates DNA damage response protein expression in BRCA2MUT ovarian cancer cells., PMID:38114660

PHRF1 promotes the class switch recombination of IgA in CH12F3-2A cells., PMID:37540725

Paediatric Strategy Forum for medicinal product development of DNA damage response pathway inhibitors in children and adolescents with cancer: ACCELERATE in collaboration with the European Medicines Agency with participation of the Food and Drug Administration., PMID:37441939

Crystalline silica-exposed human lung epithelial cells presented enhanced anchorage-independent growth with upregulated expression of BRD4 and EZH2 in autocrine and paracrine manners., PMID:37146018

Modular antibodies reveal DNA damage-induced mono-ADP-ribosylation as a second wave of PARP1 signaling., PMID:37116497

Expression of Poly(Adenosine Diphosphate-Ribose) Polymerase Protein in Breast Cancer., PMID:36950213

A method for in situ visualization of Protein-Nascent RNA interactions in single cell using Proximity Ligation Assay (IPNR-PLA) in mammalian cells., PMID:36927323

An Array SPRi Biosensor for the Determination on PARP-1 in Blood Plasma., PMID:36831138

New Life of Topoisomerase I Inhibitors as Antibody-Drug Conjugate Warheads., PMID:36637483

A radioiodinated rucaparib analogue as an Auger electron emitter for cancer therapy., PMID:36621256

PARP1 controls the transcription of CD24 by ADP-ribosylating the RNA helicase DDX5 in pancreatic cancer., PMID:36584909

Chromatin Immunoprecipitation Approach to Determine How PARP1 Domains Affect Binding Pattern to Chromatin., PMID:36515842

Subcellular Quantitation of ADP-Ribosylation by High-Content Microscopy., PMID:36515832

An Enzyme-Linked Immunosorbent Assay to Quantify Poly (ADP-Ribose) Level In Vivo., PMID:36515831

Design and Preclinical Evaluation of a Novel B7-H4-Directed Antibody-Drug Conjugate, AZD8205, Alone and in Combination with the PARP1-Selective Inhibitor AZD5305., PMID:36355054

Mammalian N1-adenosine PARylation is a reversible DNA modification., PMID:36253381

PARP-inhibition reprograms macrophages toward an anti-tumor phenotype., PMID:36223740

The fast-growing business of Serine ADP-ribosylation., PMID:35963141

Capturing a Pentacyclic Fragment-Based Library Derived from Perophoramidine: Their Design, Synthesis and Evaluation as Anticancer Compounds by DNA Double-Strand Breaks (DSB) and PARP-1 Inhibition., PMID:35952312

Recent Insights into PARP and Immuno-Checkpoint Inhibitors in Epithelial Ovarian Cancer., PMID:35886427

CD38: An important regulator of T cell function., PMID:35834988

A synthetic lethal strategy using PARP and ATM inhibition for overcoming trastuzumab resistance in HER2-positive cancers., PMID:35798878

Caspase-2 is a mediator of apoptotic signaling in response to gemtuzumab ozogamicin in acute myeloid leukemia., PMID:35690610

Interrogating the Significance of PARP1 Expression and PBRM1 Mutation as Biomarkers for Predicting the Response to Atezolizumab plus Bevacizumab or to Sunitinib in Patients with Clear Cell Renal Cell Carcinoma., PMID:35688666

Inducing Synergistic DNA Damage by TRIP13 and PARP1 Inhibitors Provides a Potential Treatment for Hepatocellular Carcinoma., PMID:35517402

Combining Carbon-Ion Irradiation and PARP Inhibitor, Olaparib Efficiently Kills BRCA1-Mutated Triple-Negative Breast Cancer Cells., PMID:35340889

GqPCR-stimulated dephosphorylation of AKT is induced by an IGBP1-mediated PP2A switch., PMID:34998390

Metformin and fluoxetine improve depressive-like behavior in a murine model of Parkinsońs disease through the modulation of neuroinflammation, neurogenesis and neuroplasticity., PMID:34890997

Model of Streptozotocin-nicotinamide Induced Type 2 Diabetes: a Comparative Review., PMID:34789130

The Significance of PARP1 as a biomarker for Predicting the Response to PD-L1 Blockade in Patients with PBRM1-mutated Clear Cell Renal Cell Carcinoma., PMID:34627641

Activated ERK Signaling Is One of the Major Hub Signals Related to the Acquisition of Radiotherapy-Resistant MDA-MB-231 Breast Cancer Cells., PMID:34066541

An adaptive, biomarker-directed platform study of durvalumab in combination with targeted therapies in advanced urothelial cancer., PMID:33941921

Gold nanoparticles conjugated with programmed death-ligand 1 antibodies induce apoptosis of SCC-25 oral squamous cell carcinoma cells via programmed death-ligand 1/signal transducer and transcription 3 pathway., PMID:33667957

Datasheet
$ 170
Product specifications
50 μg 170 100 μg 280

Contact Information

Order: order@antibodysystem.com

Mail: support@antibodysystem.com

Distributor list

For research use only. Not for human or drug use.

Need help with your order?

Find out more about placing an order here

Anti-PARP1 Polyclonal Antibody [PHC43701]
Terms of sale Website terms of use Cookie policy Privacy
Copyright © 2025 AntibodySystem SAS. All Rights Reserved.            All Products are for Research Use Only