Please ensure Javascript is enabled for purposes of website accessibility
Home / Products / Antibody / Recombinant Antibody

Anti-XRN2 Antibody (R3Z38)

Catalog #:   RHK75502 Specific References (1) DATASHEET
Host species: Mouse
Isotype: IgG1
Applications: ELISA, IHC, WB
Accession: Q9H0D6
Overview

Catalog No.

RHK75502

Species reactivity

Human

Host species

Mouse

Isotype

IgG1

Clonality

Monoclonal

Tested applications

ELISA: 1:10000, IHC: 1:200-1:1000, WB: 1:500-1:2000

Target

XRN2, DHP protein, 5'-3' exoribonuclease 2, DHM1-like protein

Concentration

1 mg/ml

Endotoxin level

Please contact with the lab for this information.

Purity

>95% as determined by SDS-PAGE.

Purification

Protein A/G purified from cell culture supernatant.

Accession

Q9H0D6

Applications

ELISA, IHC, WB

Form

Liquid

Storage buffer

0.01M PBS, pH 7.4, 0.05% Sodium Azide.

Stability and Storage

Use a manual defrost freezer and avoid repeated freeze-thaw cycles. Store at 4°C short term (1-2 weeks). Store at -20°C 12 months. Store at -80°C long term.

Clone ID

R3Z38

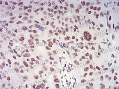
Data Image
  • Immunohistochemical
    Immunohistochemical analysis of paraffin-embedded human colon cancer tissues using XRN2 mouse mAb with DAB staining.
  • Immunohistochemical
    Immunohistochemical analysis of paraffin-embedded human ovarian cancer tissues using XRN2 mouse mAb with DAB staining.
  • Western blot
    Western blot analysis using XRN2 mouse mAb against Raw264.7 (1), HEK293 (2), NTERA-2 (3), LNcap (4), HepG2 (5), HEK293 (6), and Hela (7) cell lysate.
References

The human decapping scavenger enzyme DcpS modulates microRNA turnover., PMID:26584588

Datasheet

Document Download

Anti-XRN2 Antibody (R3Z38).pdf

 

$ 220
Product specifications
50 μg 220 100 μg 350

Contact Information

Order: order@antibodysystem.com

Mail: support@antibodysystem.com

Distributor list

For research use only. Not for human or drug use.

Need help with your order?

Find out more about placing an order here

Anti-XRN2 Antibody (R3Z38) [RHK75502]
Terms of sale Website terms of use Cookie policy Privacy
Copyright © 2025 AntibodySystem SAS. All Rights Reserved.            All Products are for Research Use Only