Please ensure Javascript is enabled for purposes of website accessibility
Home / Products / Antibody / Recombinant Antibody

Anti-PIKFYVE Antibody (R3Z30)

Catalog #:   RHK70801 Specific References (10) DATASHEET
Host species: Mouse
Isotype: IgG2b
Applications: IHC
Accession: Q9Y2I7
Overview

Catalog No.

RHK70801

Species reactivity

Human

Host species

Mouse

Isotype

IgG2b

Clonality

Monoclonal

Tested applications

IHC: 1:100-1:200

Target

Serine-protein kinase PIKFYVE, Phosphatidylinositol 3-phosphate 5-kinase, PIKfyve, 1-phosphatidylinositol 3-phosphate 5-kinase, PIKFYVE, FYVE finger-containing phosphoinositide kinase, Type III PIP kinase, PIPkin-III, KIAA0981, PIP5K3, Phosphatidylinositol 3-phosphate 5-kinase type III

Concentration

1 mg/ml

Endotoxin level

Please contact with the lab for this information.

Purity

>95% as determined by SDS-PAGE.

Purification

Protein A/G purified from cell culture supernatant.

Accession

Q9Y2I7

Applications

IHC

Form

Liquid

Storage buffer

0.01M PBS, pH 7.4, 0.05% Sodium Azide.

Stability and Storage

Use a manual defrost freezer and avoid repeated freeze-thaw cycles. Store at 4°C short term (1-2 weeks). Store at -20°C 12 months. Store at -80°C long term.

Clone ID

R3Z30

Data Image
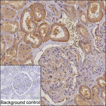
  • Immunohistochemical
    IHC-P analysis of kidney tissue by PIKFYVE antibody (RHK70801). IHC-P was performed using sections of the formalin-fixed paraffin-embedded kidney tissue;Result: Cells in tubules are positively stained at the cytoplasm.
References

Phase II trial of multi-tyrosine kinase inhibitor ESK981 in combination with PD-1 inhibitor nivolumab in patients with metastatic castration-resistant prostate cancer., PMID:39503807

Autophagy Blockage Up-Regulates HLA-Class-I Molecule Expression in Lung Cancer and Enhances Anti-PD-L1 Immunotherapy Efficacy., PMID:39409895

Complete Protection from SARS-CoV-2 Lung Infection in Mice Through Combined Intranasal Delivery of PIKfyve Kinase and TMPRSS2 Protease Inhibitors., PMID:37503261

Ribosomal targeting strategy and nuclear labeling to analyze photoreceptor phosphoinositide signatures., PMID:35427794

Loss of PIKfyve drives the spongiform degeneration in prion diseases., PMID:34291577

Characterization of spike glycoprotein of SARS-CoV-2 on virus entry and its immune cross-reactivity with SARS-CoV., PMID:32221306

PIKfyve sensitivity of hERG channels., PMID:23735862

Active PIKfyve associates with and promotes the membrane attachment of the late endosome-to-trans-Golgi network transport factor Rab9 effector p40., PMID:14530284

Selective insulin-induced activation of class I(A) phosphoinositide 3-kinase in PIKfyve immune complexes from 3T3-L1 adipocytes., PMID:11476939

Cloning, characterization, and expression of a novel Zn2+-binding FYVE finger-containing phosphoinositide kinase in insulin-sensitive cells., PMID:9858586

Datasheet
$ 220
Product specifications
50 μg 220 100 μg 350

Contact Information

Order: order@antibodysystem.com

Mail: support@antibodysystem.com

Distributor list

For research use only. Not for human or drug use.

Need help with your order?

Find out more about placing an order here

Anti-PIKFYVE Antibody (R3Z30) [RHK70801]
Terms of sale Website terms of use Cookie policy Privacy
Copyright © 2025 AntibodySystem SAS. All Rights Reserved.            All Products are for Research Use Only