Please ensure Javascript is enabled for purposes of website accessibility
Home / Products / Antibody / Recombinant Antibody

Anti-TRAIP Antibody (R3Z18)

Catalog #:   RHK59901 Specific References (2) DATASHEET
Host species: Mouse
Isotype: IgG2a
Applications: IHC
Accession: Q9BWF2
Overview

Catalog No.

RHK59901

Species reactivity

Human

Host species

Mouse

Isotype

IgG2a

Clonality

Monoclonal

Tested applications

IHC: 1:100-1:200

Target

TRIP, RING finger protein 206, RNF206, TRAF-interacting protein, E3 ubiquitin-protein ligase TRAIP, TRAIP

Concentration

1 mg/ml

Endotoxin level

Please contact with the lab for this information.

Purity

>95% as determined by SDS-PAGE.

Purification

Protein A/G purified from cell culture supernatant.

Accession

Q9BWF2

Applications

IHC

Form

Liquid

Storage buffer

0.01M PBS, pH 7.4, 0.05% Sodium Azide.

Stability and Storage

Use a manual defrost freezer and avoid repeated freeze-thaw cycles. Store at 4°C short term (1-2 weeks). Store at -20°C 12 months. Store at -80°C long term.

Clone ID

R3Z18

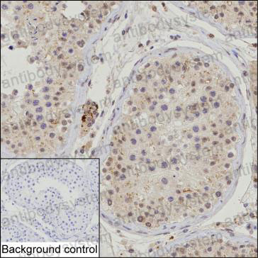
Data Image
  • Immunohistochemical
    IHC-P analysis of testis tissue by TRAIP antibody (RHK59901). IHC-P was performed using sections of the formalin-fixed paraffin-embedded testis tissue;Result: Cells in seminiferous duct are positively stained at the cytoplasm and nuclei.
References

TRAIP is involved in chromosome alignment and SAC regulation in mouse oocyte meiosis., PMID:27405720

Dimerization of TRAF-interacting protein (TRAIP) regulates the mitotic progression., PMID:26093298

Datasheet

Document Download

Anti-TRAIP Antibody (R3Z18).pdf

 

$ 220
Product specifications
50 μg 220 100 μg 350

Contact Information

Order: order@antibodysystem.com

Mail: support@antibodysystem.com

Distributor list

For research use only. Not for human or drug use.

Need help with your order?

Find out more about placing an order here

Anti-TRAIP Antibody (R3Z18) [RHK59901]
Terms of sale Website terms of use Cookie policy Privacy
Copyright © 2025 AntibodySystem SAS. All Rights Reserved.            All Products are for Research Use Only