Please ensure Javascript is enabled for purposes of website accessibility
Home / Products / Antibody / Recombinant Antibody

Anti-RIPK3 Antibody (R3X70)

Catalog #:   RHJ88705 Specific References (50) DATASHEET
Host species: Mouse
Isotype: IgG2a
Applications: IHC
Accession: Q9Y572
Overview

Catalog No.

RHJ88705

Species reactivity

Human

Host species

Mouse

Isotype

IgG2a

Clonality

Monoclonal

Tested applications

IHC: 1:25-1:200

Target

RIPK3, RIP-like protein kinase 3, RIP3, Receptor-interacting serine/threonine-protein kinase 3, RIP-3, Receptor-interacting protein 3

Concentration

1 mg/ml

Endotoxin level

Please contact with the lab for this information.

Purity

>95% as determined by SDS-PAGE.

Purification

Protein A/G purified from cell culture supernatant.

Accession

Q9Y572

Applications

IHC

Form

Liquid

Storage buffer

0.01M PBS, pH 7.4, 0.05% Sodium Azide.

Stability and Storage

Use a manual defrost freezer and avoid repeated freeze-thaw cycles. Store at 4°C short term (1-2 weeks). Store at -20°C 12 months. Store at -80°C long term.

Clone ID

R3X70

Data Image
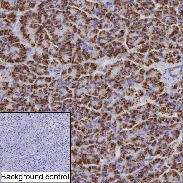
  • Immunohistochemical
    IHC-P analysis of pancreas tissue by RIPK3 antibody (RHJ88705). IHC-P was performed using sections of the formalin-fixed paraffin-embedded pancreas tissue;Result: Endocrine cells and exocrine cells are positively stained at the cytoplasm.
References

Ficolin-3 Activates Complement and Triggers Necroptosis in Cholangiocarcinoma Cells via the RIPK1/RIPK3/MLKL Signaling Pathway., PMID:40407231

MLKL-Mediated Necroptosis Predominantly Contributes to Immune-Associated Myocardial Damage., PMID:40195182

A determination of the main regulators of necroptosis in testicular tissue under different heat stresses., PMID:39856359

Extracellular RIPK3 Acts as a Damage-Associated Molecular Pattern to Exaggerate Cardiac Ischemia/Reperfusion Injury., PMID:39411860

Serum HMGB-1 released by ferroptosis and necroptosis as a novel potential biomarker for systemic lupus erythematosus., PMID:39128419

Mechanisms of programmed cell death associated to severe dengue in human renal lesions., PMID:39025381

Exploring cell death mechanisms in spheroid cultures using a novel application of the RIP3-caspase3-assay., PMID:38992075

Scattered Crypt Intestinal Epithelial Cell Apoptosis Induces Necrotizing Enterocolitis Via Intricate Mechanisms., PMID:38788898

Metabolic changes enhance necroptosis of type 2 diabetes mellitus mice infected with Mycobacterium tuberculosis., PMID:38728367

PANoptosis Features, a Humanized NSG Murine Model of Sjogren's Syndrome., PMID:38635961

RIPK3 Expression in Fibroblasts in an in vivo and in vitro Skin Wound Model: A Controversial Result., PMID:38234604

Pharmacological inhibition of ICOS attenuates the protective effect of exercise on cardiac fibrosis induced by isoproterenol., PMID:38224847

The anti-cancer drug candidate CBL0137 induced necroptosis via forming left-handed Z-DNA and its binding protein ZBP1 in liver cells., PMID:37995810

The involvement of NETs in ANCA-associated vasculitis., PMID:37781373

TNF-α induced extracellular release of keratinocyte high-mobility group box 1 in Stevens-Johnson syndrome/toxic epidermal necrolysis: Biomarker and putative mechanism of pathogenesis., PMID:37269158

PRMT1 reverts the immune escape of necroptotic colon cancer through RIP3 methylation., PMID:37005412

SARS-CoV-2 immune complex triggers human monocyte necroptosis., PMID:36870284

Tyramide Signal Amplification for the Immunofluorescent Staining of ZBP1-dependent Phosphorylation of RIPK3 and MLKL After HSV-1 Infection in Human Cells., PMID:36342164

Oridonin ameliorates caspase-9-mediated brain neuronal apoptosis in mouse with ischemic stroke by inhibiting RIPK3-mediated mitophagy., PMID:36216897

Single cell analysis of PANoptosome cell death complexes through an expansion microscopy method., PMID:36169732

The HSP90 inhibitor 17-DMAG alleviates primary biliary cholangitis via cholangiocyte necroptosis prevention., PMID:36037317

Preparation of the RIPK3 Polyclonal Antibody and Its Application in Immunoassays of Nephropathogenic Infectious Bronchitis Virus-Infected Chickens., PMID:36016369

Astrocyte-Derived TNF-α-Activated Platelets Promote Cerebral Ischemia/Reperfusion Injury by Regulating the RIP1/RIP3/AKT Signaling Pathway., PMID:35781632

Immunostaining of phospho-RIPK3 in L929 cells, murine yolk sacs, ceca, and small intestines., PMID:35779260

Occurrences and phenotypes of RIPK3-positive gastric cells in Helicobacter pylori infected gastritis and atrophic lesions., PMID:35514018

Reduced protection of RIPK3-deficient mice against influenza by matrix protein 2 ectodomain targeted active and passive vaccination strategies., PMID:35351865

Necroptotic TNFα-Syndecan 4-TNFα Vicious Cycle as a Therapeutic Target for Preventing Temporomandibular Joint Osteoarthritis., PMID:35278225

Protection of Quiescence and Longevity of IgG Memory B Cells by Mitochondrial Autophagy., PMID:35101890

Microbial signals, MyD88, and lymphotoxin drive TNF-independent intestinal epithelial tissue damage., PMID:35077396

Kupffer cells play a crucial role in monocrotaline-induced liver injury by producing TNF-α., PMID:35065160

Necroptosis Inhibition by Hydrogen Sulfide Alleviated Hypoxia-Induced Cardiac Fibroblasts Proliferation via Sirtuin 3., PMID:34769322

TNF-α-dependent neuronal necroptosis regulated in Alzheimer's disease by coordination of RIPK1-p62 complex with autophagic UVRAG., PMID:34646380

Alendronate Augments Lipid A-Induced IL-1α Release via Activation of ASC but Not Caspase-11., PMID:34080091

Airway epithelial cell necroptosis contributes to asthma exacerbation in a mouse model of house dust mite-induced allergic inflammation., PMID:34045680

RIPK3 Suppresses the Progression of Spontaneous Intestinal Tumorigenesis., PMID:33996591

Cell death of hippocampal CA1 astrocytes during early epileptogenesis., PMID:33955001

Extracellular vesicles of Fusobacterium nucleatum compromise intestinal barrier through targeting RIPK1-mediated cell death pathway., PMID:33769187

A toolbox for imaging RIPK1, RIPK3, and MLKL in mouse and human cells., PMID:33589776

The necroptotic cell death pathway operates in megakaryocytes, but not in platelet synthesis., PMID:33510145

The Role of RIPK1/3 in Adult Onset Still's Disease Patients With Liver Damage: A Preliminary Study., PMID:33329521

Inducing regulated necrosis and shifting macrophage polarization with anti-EMMPRIN antibody (161-pAb) and complement factors., PMID:33205451

Intravitreal administration of adalimumab delays retinal degeneration in rd10 mice., PMID:32816354

Autoantibodies from SLE patients induce programmed cell death in murine fibroblast cells through interaction with TNFR1 receptor., PMID:32636466

MicroRNA-183-5p is stress-inducible and protects neurons against cell death in amyotrophic lateral sclerosis., PMID:32558113

Protein-Bound Polysaccharides from Coriolus Versicolor Induce RIPK1/RIPK3/MLKL-Mediated Necroptosis in ER-Positive Breast Cancer and Amelanotic Melanoma Cells., PMID:32531147

Squalene emulsion-based vaccine adjuvants stimulate CD8 T cell, but not antibody responses, through a RIPK3-dependent pathway., PMID:32515732

New insights in acetaminophen toxicity: HMGB1 contributes by itself to amplify hepatocyte necrosis in vitro through the TLR4-TRIF-RIPK3 axis., PMID:32221312

Occurrence of Retinal Ganglion Cell Loss via Autophagy and Apoptotic Pathways in an Autoimmune Glaucoma Model., PMID:31935132

Necroptotic cell binding of β2 -glycoprotein I provides a potential autoantigenic stimulus in systemic lupus erythematosus., PMID:31187539

Pathogenesis of lupus nephritis: RIP3 dependent necroptosis and NLRP3 inflammasome activation., PMID:31133359

Datasheet

Document Download

Anti-RIPK3 Antibody (R3X70).pdf

 

$ 220
Product specifications
50 μg 220 100 μg 350

Contact Information

Order: order@antibodysystem.com

Mail: support@antibodysystem.com

Distributor list

For research use only. Not for human or drug use.

Need help with your order?

Find out more about placing an order here

Anti-RIPK3 Antibody (R3X70) [RHJ88705]
Terms of sale Website terms of use Cookie policy Privacy
Copyright © 2025 AntibodySystem SAS. All Rights Reserved.            All Products are for Research Use Only