Please ensure Javascript is enabled for purposes of website accessibility
Home / Products / Antibody / Recombinant Antibody

Anti-EZH2 Antibody (R3U19)

Catalog #:   RHH22902 Specific References (50) DATASHEET
Host species: Mouse
Isotype: IgG1
Applications: ELISA, FCM, IHC
Accession: Q15910
Overview

Catalog No.

RHH22902

Species reactivity

Human

Host species

Mouse

Isotype

IgG1

Clonality

Monoclonal

Tested applications

ELISA: 1:10000, FCM: 1:200-1:400, IHC: 1:200-1:1000

Target

ENX-1, Enhancer of zeste homolog 2, EZH2, Lysine N-methyltransferase 6, KMT6, Histone-lysine N-methyltransferase EZH2

Concentration

1 mg/ml

Endotoxin level

Please contact with the lab for this information.

Purity

>95% as determined by SDS-PAGE.

Purification

Protein A/G purified from cell culture supernatant.

Accession

Q15910

Applications

ELISA, FCM, IHC

Form

Liquid

Storage buffer

0.01M PBS, pH 7.4, 0.05% Sodium Azide.

Stability and Storage

Use a manual defrost freezer and avoid repeated freeze-thaw cycles. Store at 4°C short term (1-2 weeks). Store at -20°C 12 months. Store at -80°C long term.

Clone ID

R3U19

Data Image
  • Flow Cytometry
    Flow cytometric analysis of Hela cells using EZH2 mouse mAb (green) and negative control (red).
  • Immunohistochemical
    Immunohistochemical analysis of paraffin-embedded human lung cancer tissues using EZH2 mouse mAb with DAB staining.
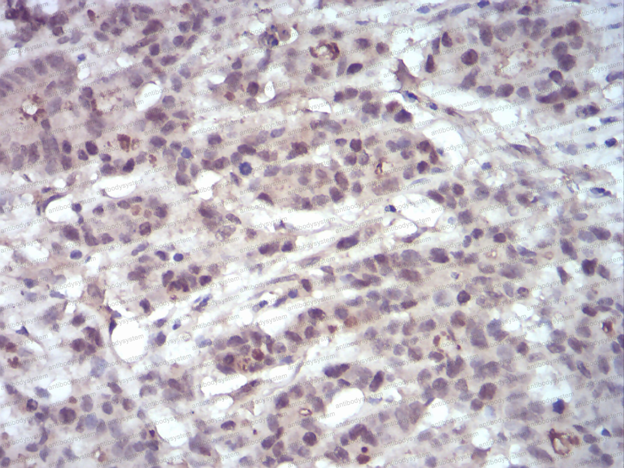
  • Immunohistochemical
    Immunohistochemical analysis of paraffin-embedded human colon cancer tissues using EZH2 mouse mAb with DAB staining.
References

A novel therapeutic strategy for osteosarcoma using anti-GD2 ADC and EZH2 inhibitor., PMID:40533837

EZH2 expression is restricted to malignant salivary gland tumors., PMID:40498901

Comparison of the Mutational Profile between BCL2- and BCL6-Rearrangement Positive Follicular Lymphoma., PMID:40482882

Enhancing curcumol delivery through PD-1 targeted nanocarriers: A novel therapeutic approach for prostate cancer., PMID:40220412

The mechanism of EZH2/H3K27me3 downregulating CXCL10 to affect CD8+ T cell exhaustion to participate in the transformation from myelodysplastic syndrome to acute myeloid leukaemia., PMID:40201935

JAK3 A573V and JAK3 M511I mutations in peripheral T-cell lymphoma mediating resistance to anti-PD-1 therapy through the STAT3/PD-L1 pathway., PMID:40199606

EZH2: An analysis of a potential new tumor marker in high-risk localization of cutaneous squamous cell carcinomas., PMID:40135141

EZH2 coordinates memory B-cell programming and recall responses., PMID:40073167

SOHO State of the Art Updates and Next Questions | Novel Immunotherapy Combinations for the Treatment of Indolent B-Cell Lymphoma., PMID:40011100

Combined Effect of Conventional Chemotherapy with Epigenetic Modulators on Glioblastoma., PMID:40004468

Staudinger Reaction-Responsive Coacervates for Cytosolic Antibody Delivery and TRIM21-Mediated Protein Degradation., PMID:39805770

HMGA1 influence on iron-induced cell death in Tfh cells of SLE patients., PMID:39707065

BV and beyond: how to incorporate novel agents into PTCL management., PMID:39644004

EZH2 inhibition enhances T cell immunotherapies by inducing lymphoma immunogenicity and improving T cell function., PMID:39642889

EZH2 promotes B-cell autoimmunity in primary Sjogren's syndrome via METTL3-mediated m6A modification., PMID:39577129

CD56-targeted in vivo genetic engineering of natural killer cells mediates immunotherapy for acute myeloid leukemia., PMID:39363829

Rare presentation and unconventional treatment of Rosai-Dorfman disease., PMID:39353669

Chitosan/dextran-based organohydrogel delivers EZH2 inhibitor to epigenetically reprogram chemo/immuno-resistance in unresectable metastatic melanoma., PMID:39245506

Deciphering the Temporal-Spatial Interactive Heterogeneity of Long Non-Coding RNAs and RNA-Binding Proteins in Living Cells at Single-Cell Resolution., PMID:39016781

Targeting IL-11R/EZH2 signaling axis as a therapeutic strategy for osteosarcoma lung metastases., PMID:38886296

Cost-effectiveness analysis of mosunetuzumab for treatment of relapsed or refractory follicular lymphoma after two or more lines of systemic therapy in the United States., PMID:38712895

Recent advances in understanding the biology of follicular lymphoma., PMID:38536645

MAL expression downregulation through suppressive H3K27me3 marks at the promoter in HPV16-related cervical cancers is prognostically relevant and manifested by the interplay of novel MAL antisense long noncoding RNA AC103563.8, E7 oncoprotein and EZH2., PMID:38461243

Epigenetic regulation of CD38/CD48 by KDM6A mediates NK cell response in multiple myeloma., PMID:38355622

A novel exosome based therapeutic intervention against neuroendocrine prostate cancer., PMID:38307935

Epigenetic reprogramming of T cells: unlocking new avenues for cancer immunotherapy., PMID:38233727

Treatment-related Neuroendocrine Prostate Carcinoma-Diagnostic and Molecular Correlates., PMID:38223983

[Corrigendum] Long non‑coding RNA UCA1 confers tamoxifen resistance in breast cancer endocrinotherapy through regulation of the EZH2/p21 axis and the PI3K/AKT signaling pathway., PMID:38214398

Targeted Therapy in Follicular Lymphoma: Towards a Chemotherapy-Free Approach., PMID:37760453

β-CATENIN stabilizes HIF2 through lncRNA and inhibits intravenous immunoglobulin immunotherapy., PMID:37744383

Inhibition of PLK4 remodels histone methylation and activates the immune response via the cGAS-STING pathway in TP53-mutated AML., PMID:37738460

Evaluation of the RNA-dependence of PRC2 binding to chromatin in human pluripotent stem cells., PMID:37645830

EZH2 targeting induces CD38 upregulation and response to anti-CD38 immunotherapies in multiple myeloma., PMID:37532787

Epigenetically modified AP-2α by DNA methyltransferase facilitates glioma immune evasion by upregulating PD-L1 expression., PMID:37330579

A monoclonal antibody raised against human EZH2 cross-reacts with the RNA-binding protein SAFB., PMID:37283223

B cell activation via immunometabolism in systemic lupus erythematosus., PMID:37256149

Study on the Effect of EZH2 Inhibitor Combined with TIGIT Monoclonal Antibody against Multiple Myeloma Cells., PMID:37239949

STORM Microscopy and Cluster Analysis for PcG Studies., PMID:37212996

Novel targeted drugs for follicular and marginal zone lymphoma: a comprehensive review., PMID:37207160

EZH2 regulates pancreatic cancer cells through E2F1, GLI1, CDK3, and Mcm4., PMID:37198697

Crystalline silica-exposed human lung epithelial cells presented enhanced anchorage-independent growth with upregulated expression of BRD4 and EZH2 in autocrine and paracrine manners., PMID:37146018

A monoclonal antibody raised against human EZH2 cross-reacts with the RNA-binding protein SAFB., PMID:37066147

EZH2 inhibition dampens autoantibody production in lupus by restoring B cell immune tolerance., PMID:37044035

Alteration of the tumor microenvironment by pharmacological inhibition of EZH2 in hepatocellular carcinoma., PMID:37001386

Treatment selection for patients with relapsed or refractory follicular lymphoma., PMID:36959808

Ezh2 Knockout in B Cells Impairs Plasmablast Differentiation and Ameliorates Lupus-like Disease in MRL/lpr Mice., PMID:36897808

How I treat recurrent pediatric high-grade glioma (pHGG): a Europe-wide survey study., PMID:36720762

Multiplexed immunofluorescence analysis of CAF-markers, EZH2 and FOXM1 in gastric tissue: associations with clinicopathological parameters and clinical outcomes., PMID:36401232

EZH2 mutations at diagnosis in follicular lymphoma: a promising biomarker to guide frontline treatment., PMID:36104682

A novel immune-related epigenetic signature based on the transcriptome for predicting the prognosis and therapeutic response of patients with diffuse large B-cell lymphoma., PMID:36055572

Datasheet

Document Download

Anti-EZH2 Antibody (R3U19).pdf

 

$ 220
Product specifications
50 μg 220 100 μg 350

Contact Information

Order: order@antibodysystem.com

Mail: support@antibodysystem.com

Distributor list

For research use only. Not for human or drug use.

Need help with your order?

Find out more about placing an order here

Anti-EZH2 Antibody (R3U19) [RHH22902]
Terms of sale Website terms of use Cookie policy Privacy
Copyright © 2025 AntibodySystem SAS. All Rights Reserved.            All Products are for Research Use Only