Please ensure Javascript is enabled for purposes of website accessibility
Home / Products / Antibody / Recombinant Antibody

Anti-CASP3/Caspase-3 Antibody (R3K81)

Catalog #:   RHE35912 Specific References (50) DATASHEET
Host species: Mouse
Isotype: IgG1
Applications: IHC
Accession: P42574
Overview

Catalog No.

RHE35912

Species reactivity

Human, Mouse, Rat

Host species

Mouse

Isotype

IgG1

Clonality

Monoclonal

Tested applications

IHC: 1:50-1:100

Target

Caspase-3, CPP-32, CPP32, CASP-3, SREBP cleavage activity 1, CASP3, Apopain, SCA-1, Cysteine protease CPP32, Protein Yama

Concentration

1 mg/ml

Endotoxin level

Please contact with the lab for this information.

Purity

>95% as determined by SDS-PAGE.

Purification

Protein A/G purified from cell culture supernatant.

Accession

P42574

Applications

IHC

Form

Liquid

Storage buffer

0.01M PBS, pH 7.4, 0.5% BSA, 0.05% Sodium Azide and 50% Glycerol.

Stability and Storage

Use a manual defrost freezer and avoid repeated freeze-thaw cycles. Store at 4°C short term (1-2 weeks). Store at -20°C 12 months. Store at -80°C long term.

Clone ID

R3K81

Data Image
  • Immunohistochemical
    Immunohistochemistry analysis of paraffin-embedded Human Skin Tissue using Caspase 3 antibody.High-pressure and temperature Sodium Citrate pH 6.0 was used for antigen retrieval.
  • Immunohistochemical
    Immunohistochemical analysis of paraffin-embedded Human tonsils using Caspase 3 antibody.High-pressure and temperature Sodium Citrate pH 6.0 was used for antigen retrieval.
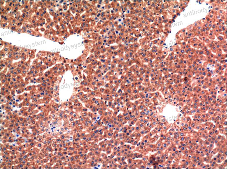
  • Immunohistochemical
    Immunohistochemistry analysis of paraffin-embedded mouse Liver Tissue using Caspase3 antibody. High-pressure and temperature Sodium Citrate pH 6.0 was used for antigen retrieval.
References

Engineered MAP30ER: A plant toxin-derived platform for EGFR-Targeted delivery of protein and chemotherapeutic payloads., PMID:40517671

IL-18 inhibition enlarges lesions, necrotic cores and thickens fibrous caps in Jak2 V617F clonal hematopoiesis-driven atherosclerosis., PMID:40501724

Phosphatidylglucoside regulates apoptosis of human neutrophilic lineage cells., PMID:40496860

Accurate Quantification of Mutant and Wild-Type polyQ Proteins Using Simple Western Capillary Immunoassays., PMID:40450087

Potential of bone marrow mesenchymal stem cells in iodine-induced autoimmune thyroiditis therapy., PMID:40435196

Mesenchymal stem cells reduce the genotoxic effect of lead acetate in the testis of male rats and induce testicular cellular proliferation indicated by 16S rRNA sequence, increase the proliferation marker Ki-67 and a reduction in the apoptosis marker caspase-3., PMID:40426269

The cytotoxic effect of quercetin-induced apoptosis on lung metastatic cells from giant cell tumor of bone., PMID:40418557

Investigating Anti-Tumor Effects of Irisin in Cervical Cancer Cells: Cell Viability, Migration, and Tumor-Associated Macrophage Polarization., PMID:40415369

Characterization of tannic acid-intravenous immunoglobulin (IVIG) protein complex and impact on drug-induced cytotoxicity in MDA-MB-468 breast cancer cells., PMID:40409658

Endocytosis of sialic acid Neu5Gc and elevated p53 contributes to preimplantation embryonic arrest during in vitro fertilization., PMID:40404013

Dual therapy for amanita phalloides-induced acute liver failure in mice: A combination of etanercept and alpha-1 antitrypsin., PMID:40398510

Buzhong Yiqi decoction improves inflammation and oxidative damage in autoimmune thyroiditis by inhibiting apoptosis via the SIRT1-Mediated Nrf2/NF-κB axis., PMID:40360040

Anti-TNFα and Anti-IL-1β Monoclonal Antibodies Preserve BV-2 Microglial Homeostasis Under Hypoxia by Mitigating Inflammatory Reactivity and ATF4/MAPK-Mediated Apoptosis., PMID:40338234

Overexpression of Tgm2 in Chinese Hamster Ovary Cells Enhances Recombinant Monoclonal Antibody Expression and Promotes Cell Proliferation through Reduction of Apoptosis., PMID:40327404

Increased protein expression of interleukin-10 and its signalling molecules in colon cancer progression: potential prognostic and therapeutic targets., PMID:40299210

In Silico Molecular Docking of 2-Hydroxyanthraquinone-Substituted Spiro-/Ansa Cyclotriphosphazenes: Targeting Apoptosis via Heat Shock Protein Modulation in Breast and Colon Cancer Cells., PMID:40296721

Roles of GDF9 and BMP15 in equine follicular development: in vivo content and in vitro effects of IGF1 and cortisol on granulosa cells., PMID:40289073

TNF-α antagonist alleviates muscular layer enlargement but does not prevent myenteric neuronal loss in the colon of streptozotocin-induced diabetic rats., PMID:40288461

Hyaluronic acid-modified doxorubicin-covalent organic framework nanoparticles triggered pyroptosis in combinations with immune checkpoint blockade for the treatment of breast cancer., PMID:40274165

Enhancing the bystander effect of antibody-drug conjugate by using a novel caspase-3 cleavable peptide linker to overcome tumor heterogeneity., PMID:40246243

Strengthening Antisense Oligonucleotide-Mediated Anti-Tumor Immunity via Metal-Organic Framework Nanoparticles., PMID:40235985

The Protective Effects of MSC-Derived Exosomes Against Chemotherapy-Induced Parotid Gland Cytotoxicity., PMID:40223864

Anti-breast cancer activity of a novel genetically engineered fusion protein composed of HER2 affibody and proapoptotic peptide R8-KLA., PMID:40205290

Ceratonia siliqua Protects Testicular Tissue in Ischemia/Reperfusion Injury., PMID:40170082

An interleukin-9-ZBTB18 axis promotes germinal center development of memory B cells., PMID:40107273

DR5 disulfide bonding functions as a sensor and effector of protein folding stress., PMID:40105733

Vulnerability of the entorhinal cortex II to neurodegeneration in Alzheimer's disease., PMID:40078869

Repurposing Secukinumab and Dapagliflozin as Candidate Therapies to Mitigate the Renal Toxicity of Sunitinib in Rats Through Suppressing IL-17-Mediated Pyroptosis and Promoting Autophagy., PMID:40059817

IMGN853 Induces Autophagic Cell Death in Combination Therapy for Ovarian Cancer., PMID:40029935

Certolizumab enhances spinal cord injury recovery in rats through inhibition of the TNF-α signaling pathway and neuronal apoptosis., PMID:40009347

Iloprost Concentration-Dependently Attenuates Platelet Function and Apoptosis by Elevating PKA Activity., PMID:39929746

Pre-Clinical Rationale for Amcenestrant Combinations in HER2+/ER+ Breast Cancer., PMID:39859174

Bone marrow mesenchymal stem cells derived cytokines associated with AKT/IAPs signaling ameliorate Alzheimer's disease development., PMID:39849525

Structural and anti-ovarian cancer insights into the immunoglobulin G-glabridin nanocomplex., PMID:39828181

Therapeutic potential of brentuximab vedotin in breast cancer and lymphoma via targeted apoptosis and gene regulation., PMID:39805861

Nerelimomab Alleviates Capsaicin-Induced Acute Lung Injury by Inhibiting TNF Signaling and Apoptosis., PMID:39770536

Anti-PD-1 exacerbates bleomycin-induced lung injury in mice via Caspase-3/GSDME-mediated pyroptosis., PMID:39762211

Therapeutic effects of resveratrol and β-carotene on L-arginine-induced acute pancreatitis through oxidative stress and inflammatory pathways in rats., PMID:39738464

Linsitinib inhibits proliferation and induces apoptosis of both IGF-1R and TSH-R expressing cells., PMID:39723207

Comparative study of cytotoxic Signaling pathways in H1299 cells exposed to alternative Bisphenols: BPA, BPF, and BPS., PMID:39677491

Cardioprotective Efficacy of Quercetin against Cardiotoxicity Induced by Different Diameters of Sphere Gold Nanoparticles (GNPs)., PMID:39660526

The effect of edoxaban on apoptosis in an abdominal aortic aneurysm model in rats., PMID:39651055

Nimotuzumab and irinotecan synergistically induce ROS-mediated apoptosis by endoplasmic reticulum stress and mitochondrial-mediated pathway in cervical cancer., PMID:39624900

Synergistic inhibition of proliferation and induction of apoptosis in oral tongue squamous cell carcinoma by mebendazole and paclitaxel via PI3K/AKT pathway mitigation., PMID:39614899

Preclinical evaluation of the CD38-targeting engineered toxin body MT-0169 against multiple myeloma., PMID:39544624

Glycyrrhizin alleviated cisplatin-induced testicular injury by inhibiting the oxidative, apoptotic, hormonal, and histological alterations., PMID:39520769

Development of cancer-associated fibroblasts-targeting polymeric nanoparticles loaded with 8-O-methylfusarubin for breast cancer treatment., PMID:39507587

Comparison of the protective effects of silymarin and thymoquinone in the focal cerebral ischemia-reperfusion rat model., PMID:39508143

Fostamatinib Inhibits the Proliferation of Ovarian Cancer Cells Through Apoptosis Induction., PMID:39477304

Dihydroberberine alleviates Th17/Treg imbalance in premature ovarian insufficiency mice via inhibiting Rheb/mTOR signaling., PMID:39472803

Datasheet
$ 220
Product specifications
50 μg 220 100 μg 350

Contact Information

Order: order@antibodysystem.com

Mail: support@antibodysystem.com

Distributor list

For research use only. Not for human or drug use.

Need help with your order?

Find out more about placing an order here

Anti-CASP3/Caspase-3 Antibody (R3K81) [RHE35912]
Terms of sale Website terms of use Cookie policy Privacy
Copyright © 2025 AntibodySystem SAS. All Rights Reserved.            All Products are for Research Use Only