Please ensure Javascript is enabled for purposes of website accessibility
Home / Products / Antibody / Recombinant Antibody

Anti-BCL6 Antibody (R3K51)

Catalog #:   RHE29901 Specific References (50) DATASHEET
Host species: Mouse
Isotype: IgG1
Applications: ELISA, FCM, IF, IHC, WB
Accession: P41182
Overview

Catalog No.

RHE29901

Species reactivity

Human

Host species

Mouse

Isotype

IgG1

Clonality

Monoclonal

Tested applications

ELISA: 1:10000, FCM: 1:200-1:400, IF: 1:200-1:1000, IHC: 1:200-1:1000, WB: 1:500-1:2000

Target

BCL-5, BCL-6, Protein LAZ-3, ZNF51, BCL6, ZBTB27, Zinc finger protein 51, B-cell lymphoma 6 protein, Zinc finger and BTB domain-containing protein 27, B-cell lymphoma 5 protein, BCL5, LAZ3

Concentration

1 mg/ml

Endotoxin level

Please contact with the lab for this information.

Purity

>95% as determined by SDS-PAGE.

Purification

Protein A/G purified from cell culture supernatant.

Accession

P41182

Applications

ELISA, FCM, IF, IHC, WB

Form

Liquid

Storage buffer

0.01M PBS, pH 7.4, 0.05% Sodium Azide.

Stability and Storage

Use a manual defrost freezer and avoid repeated freeze-thaw cycles. Store at 4°C short term (1-2 weeks). Store at -20°C 12 months. Store at -80°C long term.

Clone ID

R3K51

Data Image
  • Flow Cytometry
    Flow cytometric analysis of HL-60 cells using BCL6 mouse mAb (green) and negative control (red).
  • Immunofluorescence
    Immunofluorescence analysis of Hela cells using BCL6 mouse mAb (green). Blue: DRAQ5 fluorescent DNA dye. Red: Actin filaments have been labeled with Alexa Fluor- 555 phalloidin.
  • Immunohistochemical
    Immunohistochemical analysis of paraffin-embedded human lung cancer tissues using BCL6 mouse mAb with DAB staining.
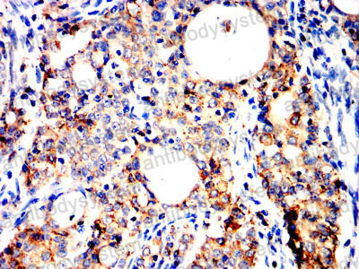
  • Immunohistochemical
    Immunohistochemical analysis of paraffin-embedded human cervical carcinoma tissues using BCL6 mouse mAb with DAB staining.
  • Western blot
    Western blot analysis using BCL6 mouse mAb against Jurkat (1), K562 (2), Raji (3), Ramos (4) and MOLT-4 (5) cell lysate.
  • Western blot
    Western blot analysis using BCL6 mouse mAb against Jurkat (1), K562 (2), Raji (3), Ramos (4) and MOLT-4 (5) cell lysate.
References

Glofitamab Combined With Pola-R-CHP or R-CHOP as First Therapy in Younger Patients With High-Risk Large B-Cell Lymphoma: Results From the COALITION Study., PMID:40532125

Comparison of the Mutational Profile between BCL2- and BCL6-Rearrangement Positive Follicular Lymphoma., PMID:40482882

Microbiota-derived butyrate alleviates asthma via inhibiting Tfh13-mediated IgE production., PMID:40473603

Unsupervised Clustering of Cell Populations in Germinal Centers Using Multiplexed Immunofluorescence., PMID:40427719

T-Follicular Helper Cells and Their Role in Autoimmune Diseases., PMID:40283219

Berberine Suppression of Human IgE but Not IgG Production via Inhibition of STAT6 Binding Activity at IgE Promoter by BCL6., PMID:40277916

Transcriptomic signatures in peripheral CD4+T-lymphocytes may reflect melanoma staging and immunotherapy responsiveness prior to ICI initiation., PMID:40226614

A Tc1- and Th1-T-lymphocyte-rich tumor microenvironment is a hallmark of MSI colorectal cancer., PMID:40181205

Designed peptide binders and nanobodies as PROTAC starting points for targeted degradation of PCNA and BCL6., PMID:40164264

Oxaliplatin, ATR inhibitor and anti-PD-1 antibody combination therapy controls colon carcinoma growth, induces local and systemic changes in the immune compartment, and protects against tumor rechallenge in mice., PMID:40139833

Tissue-resident peripheral helper T cells foster hepatocellular carcinoma immune evasion by promoting regulatory B-cell expansion., PMID:40066780

CD38 in the pathobiology of cutaneous T-cell lymphoma and the potential for combination therapeutic intervention., PMID:40057636

CD8+ Regulatory T Cells Induced by Peptide Vaccination Ameliorates Experimental Model of Membranous Nephropathy., PMID:39970933

Role of CD4+ T cell-derived cytokines in the pathogenesis of uveitis., PMID:39909966

Small molecule BCL6-inhibition suppresses follicular T helper cell differentiation and plasma blast formation., PMID:39903994

The association between NADPH oxidase (NOX) polymorphisms with immunohistochemistry and survival in diffuse large B cell lymphoma patients., PMID:39774928

Zanubrutinib plus R-CHOP for the treatment of newly diagnosed double-expressor lymphoma: A phase 2 clinical study., PMID:39748728

Cat scratch disease in children with nocturnal fever: A case report., PMID:39687640

Efficacy and Safety of Polatuzumab Vedotin Plus Rituximab, Cyclophosphamide, Doxorubicin and Prednisone for Previously Untreated Diffuse Large B-Cell Lymphoma: A Real-World, Multi-Center, Retrospective Cohort Study., PMID:39641321

CCR4+Tfh2 cells specifically produce IL-4 driving the pathological reaction in IgG4-related disease., PMID:39625839

IRF5 Controls Plasma Cell Generation and Antibody Production via Distinct Mechanisms Depending on the Antigenic Trigger., PMID:39572974

Real-world outcomes of diffuse large B-cell lymphoma treated with frontline R-CHOP(-like) regimens in an Asian multi-ethnic population., PMID:39542909

High Prevalence of MYD88 and CD79B Mutations in Primary Sinonasal Diffuse Large B-Cell Lymphoma : Identification of an MCD-like Subtype., PMID:39483112

B Cell Lymphoma 6 (BCL6): A Conserved Regulator of Immunity and Beyond., PMID:39456751

Clinicopathological analysis of primary central nervous system lymphoma in patients with or without HIV infection., PMID:39418717

CODOX-M/IVAC-R versus DA-EPOCH-R in double-hit/triple-hit lymphoma patients aged 60 years or under., PMID:39385736

Polymorphisms in genes involved in regulating follicular helper T cell differentiation predict de novo donor-specific antibody formation after liver transplantation., PMID:39255558

Clinical and prognostic significance of follicular helper and regulatory T cells in bladder cancer draining lymph nodes., PMID:39223192

Tertiary lymphoid structure-related immune infiltrates in NSCLC tumor lesions correlate with low tumor-reactivity of TIL products., PMID:39188755

Human T follicular helper cells and their impact on IgE and IgG4 production across allergy, malignancy, and IgG4-related disease., PMID:39164143

The active form of vitamin D (calcitriol) promotes CXCR5 expression during follicular helper T cell differentiation., PMID:39101520

RACK1 enhances STAT3 stability and promotes T follicular helper cell development and function during blood-stage Plasmodium infection in mice., PMID:39024388

Key Functions of the Transcription Factor BCL6 During T-Cell Differentiation., PMID:39017840

B cell lymphoma 6 promotes hepatocellular carcinoma progression by inhibiting tumor infiltrating CD4+T cell cytotoxicity through ESM1., PMID:38956432

Molecular characterization of a rare case of high-grade B-cell lymphoma with MYC, BCL2, BCL6, and CCND1 rearrangements., PMID:38914869

Combination Targeted Therapy in Relapsed Diffuse Large B-Cell Lymphoma., PMID:38899693

[Primary renal triple expressor DLBCL treated with chemotherapy under continuous hemodialysis and filtration support]., PMID:38825510

Insights into Therapeutic Response Prediction for Ustekinumab in Ulcerative Colitis Using an Ensemble Bioinformatics Approach., PMID:38791570

ALK-positive large B-cell lymphoma (ALK + LBCL) with aberrant CD3 expression., PMID:38573563

Stochastic modeling of a gene regulatory network driving B cell development in germinal centers., PMID:38547073

Astragalus polysaccharides ameliorates experimental colitis by regulating memory B cells metabolism., PMID:38522565

Interleukin-4 downregulates transcription factor BCL6 to promote memory B cell selection in germinal centers., PMID:38513666

The aged microenvironment impairs BCL6 and CD40L induction in CD4+ T follicular helper cell differentiation., PMID:38481058

Mutational, immune microenvironment, and clinicopathological profiles of diffuse large B-cell lymphoma and follicular lymphoma with BCL6 rearrangement., PMID:38462571

Absence of specific autoantibodies in patients with narcolepsy type 1 as indicated by an unbiased random peptide-displayed phage screening., PMID:38442093

TGF-β specifies TFH versus TH17 cell fates in murine CD4+ T cells through c-Maf., PMID:38427718

DNA methylation regulates B cell activation via repressing Pax5 expression in teleost., PMID:38404580

Eosinophils restrain humoral alloimmunity after lung transplantation., PMID:38329123

Follicular Lymphoma Presenting With Symptomatic Bone Involvement: A Clinicopathologic and Molecular Analysis of 16 Cases., PMID:38290600

CaMK4 controls follicular helper T cell expansion and function during normal and autoimmune T-dependent B cell responses., PMID:38287012

Datasheet

Document Download

Anti-BCL6 Antibody (R3K51).pdf

 

$ 220
Product specifications
50 μg 220 100 μg 350

Contact Information

Order: order@antibodysystem.com

Mail: support@antibodysystem.com

Distributor list

For research use only. Not for human or drug use.

Need help with your order?

Find out more about placing an order here

Anti-BCL6 Antibody (R3K51) [RHE29901]
Terms of sale Website terms of use Cookie policy Privacy
Copyright © 2025 AntibodySystem SAS. All Rights Reserved.            All Products are for Research Use Only