Please ensure Javascript is enabled for purposes of website accessibility
Home / Products / Antibody / Recombinant Antibody

Anti-CD130/IL6ST/gp130 Antibody (R3K23)

Catalog #:   RHE25302 Specific References (50) DATASHEET
Host species: Mouse
Isotype: IgG1
Applications: ELISA, FCM, IF, IHC, WB
Accession: P40189
Overview

Catalog No.

RHE25302

Species reactivity

Human, Monkey

Host species

Mouse

Isotype

IgG1

Clonality

Monoclonal

Tested applications

ELISA: 1:10000, FCM: 1:200-1:400, IF: 1:200-1:1000, IHC: 1:200-1:1000, WB: 1:500-1:2000

Target

IL-6 receptor subunit beta, CDw130, IL-6R-beta, Membrane glycoprotein 130, CD130, Oncostatin-M receptor subunit alpha, Interleukin-6 signal transducer, IL-6RB, IL-6R subunit beta, IL6ST, Interleukin-6 receptor subunit beta, gp130

Concentration

1 mg/ml

Endotoxin level

Please contact with the lab for this information.

Purity

>95% as determined by SDS-PAGE.

Purification

Protein A/G purified from cell culture supernatant.

Accession

P40189

Applications

ELISA, FCM, IF, IHC, WB

Form

Liquid

Storage buffer

0.01M PBS, pH 7.4, 0.05% Sodium Azide.

Stability and Storage

Use a manual defrost freezer and avoid repeated freeze-thaw cycles. Store at 4°C short term (1-2 weeks). Store at -20°C 12 months. Store at -80°C long term.

Clone ID

R3K23

Data Image
  • Flow Cytometry
    Flow cytometric analysis of HL-60 cells using CD130 mouse mAb (green) and negative control (red).
  • Immunofluorescence
    Immunofluorescence analysis of Hela cells using CD130 mouse mAb (green). Blue: DRAQ5 fluorescent DNA dye. Red: Actin filaments have been labeled with Alexa Fluor- 555 phalloidin.
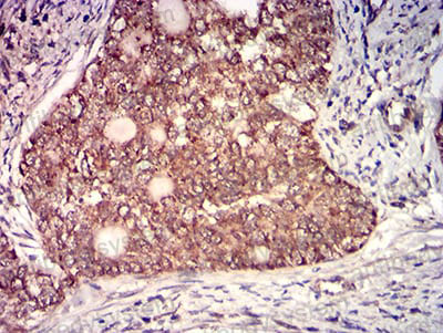
  • Immunohistochemical
    Immunohistochemical analysis of paraffin-embedded human cervical cancer tissues using CD130 mouse mAb with DAB staining.
  • Western blot
    Western blot analysis using CD130 mouse mAb against COS7 (1) cell lysate.
References

CD39 and CD326 Are Bona Fide Markers of Murine and Human Plasma Cells and Identify a Bone Marrow Specific Plasma Cell Subpopulation in Lupus., PMID:35464469

Oncostatin M Receptor-Targeted Antibodies Suppress STAT3 Signaling and Inhibit Ovarian Cancer Growth., PMID:34380633

Endothelial signaling by neutrophil-released oncostatin M enhances P-selectin-dependent inflammation and thrombosis., PMID:30670533

Cell surface markers for the identification and study of human naive pluripotent stem cells., PMID:29227830

Plasma Exosomes From HLA-Sensitized Kidney Transplant Recipients Contain mRNA Transcripts Which Predict Development of Antibody-Mediated Rejection., PMID:28557957

Efficacy and Safety of Vedolizumab for Induction of Remission in Inflammatory Bowel Disease-the Israeli Real-World Experience., PMID:28178003

Protein and glycomic plasma markers for early detection of adenoma and colon cancer., PMID:27821646

The biology behind interleukin-6 targeted interventions., PMID:26751841

IL-27 stimulates human NK-cell effector functions and primes NK cells for IL-18 responsiveness., PMID:25308526

gp130: a promising drug target for cancer therapy., PMID:24099136

Eosinophils are not required for the induction and maintenance of an alloantibody response., PMID:23919628

New monoclonal antibodies against B-cell antigens: possible new strategies for diagnosis of primary cutaneous B-cell lymphomas., PMID:20951741

Complex N-linked glycans on Asn-89 of Kaposi sarcoma herpes virus-encoded interleukin-6 mediate optimal function by affecting cytokine protein conformation., PMID:19690161

IL-6 trans-signaling and the frequency of CD4+FOXP3+ cells in women with reproductive failure., PMID:19665805

Serpin B3/B4, activated by STAT3, promote survival of squamous carcinoma cells., PMID:19070595

Serum interleukin-6 receptor in polymyalgia rheumatica: a potential marker of relapse/recurrence risk., PMID:18668607

Interleukin-6 stimulates circulating blood-derived endothelial progenitor cell angiogenesis in vitro., PMID:17519976

Regulatory effect of e2, IL-6 and IL-8 on the growth of epithelial ovarian cancer cells., PMID:16368063

[RA-related autoantibodies (anti-calpastatin, anti-gp130-RAPS, and anti-FRP antibodies)]., PMID:16111298

Comparative activity of Sant7 and anti-IL-6, IL-6R monoclonal antibodies in a murine model of B-cell lymphoma., PMID:16061391

CD14+CD34low cells with stem cell phenotypic and functional features are the major source of circulating endothelial progenitors., PMID:16020753

Mitogen induced activation, proliferation and surface antigen expression patterns in unmutated and hypermutated chronic lymphocytic leukemia cells., PMID:15946308

[Interleukin-6 in pathogenesis of rheumatoid arthritis]., PMID:15799337

Profile of soluble cytokine receptors in Crohn's disease., PMID:15753533

Interleukin-1beta can mediate growth arrest and differentiation via the leukemia inhibitory factor/JAK/STAT pathway in medullary thyroid carcinoma cells., PMID:15613280

Immunophenotypic analysis of human articular chondrocytes: changes in surface markers associated with cell expansion in monolayer culture., PMID:15389573

Development of a monoclonal antibody-based enzyme-linked immunoabsorbent assay for the binding of gp130 to the IL-6/IL-6R complex and its competitive inhibition., PMID:15345308

A combination of interleukin-6 and its soluble receptor impairs sperm motility: implications in infertility associated with endometriosis., PMID:15166129

Expression and prognostic value of hemopoietic cytokine receptors in acute myeloid leukemia (AML): implications for future therapeutical strategies., PMID:14962246

WSX-1 and glycoprotein 130 constitute a signal-transducing receptor for IL-27., PMID:14764690

Transforming growth factor-beta induces osteoclast formation in the absence of RANKL., PMID:14751563

Functional expression of the interleukin-11 receptor alpha-chain and evidence of antiapoptotic effects in human colonic epithelial cells., PMID:14701802

Functional significance of novel neurotrophin-1/B cell-stimulating factor-3 (cardiotrophin-like cytokine) for human myeloma cell growth and survival., PMID:14632778

Soluble mannose 6-phosphate/insulin-like growth factor II (IGF-II) receptor inhibits interleukin-6-type cytokine-dependent proliferation by neutralization of IGF-II., PMID:12959977

Human cardiomyocyte hypertrophy induced in vitro by gp130 stimulation., PMID:12829178

A major role for Mcl-1 antiapoptotic protein in the IL-6-induced survival of human myeloma cells., PMID:12771946

Oncostatin M enhances the expression of prostaglandin E2 and cyclooxygenase-2 in astrocytes: synergy with interleukin-1beta, tumor necrosis factor-alpha, and bacterial lipopolysaccharide., PMID:12730964

Growth hormone-induced phosphorylation of epidermal growth factor (EGF) receptor in 3T3-F442A cells. Modulation of EGF-induced trafficking and signaling., PMID:12642595

Surface antigen expression and correlation with variable heavy-chain gene mutation status in chronic lymphocytic leukemia., PMID:12631259

High circulating levels of biologically inactive IL-6/SIL-6 receptor complexes in systemic juvenile idiopathic arthritis: evidence for serum factors interfering with the binding to gp130., PMID:12562400

[Abnormal gp130 signaling and autoimmune disease]., PMID:12518458

The Ras/Raf/MEK/extracellular signal-regulated kinase pathway induces autocrine-paracrine growth inhibition via the leukemia inhibitory factor/JAK/STAT pathway., PMID:12509453

Cytokine traps: multi-component, high-affinity blockers of cytokine action., PMID:12483208

The role of transsignalling via the agonistic soluble IL-6 receptor in human diseases., PMID:12421676

In the presence of bone marrow stromal cells human multiple myeloma cells become independent of the IL-6/gp130/STAT3 pathway., PMID:12384432

Gp130 activation by soluble interleukin-6 receptor/interleukin-6 enhances osteoblastic differentiation of human bone marrow-derived mesenchymal stem cells., PMID:12372336

IL-6, leukemia inhibitory factor, and oncostatin M stimulate bone resorption and regulate the expression of receptor activator of NF-kappa B ligand, osteoprotegerin, and receptor activator of NF-kappa B in mouse calvariae., PMID:12218157

Surface membrane antigen expression changes induced in vitro by exogenous growth factors in chronic lymphocytic leukemia cells., PMID:12200683

Association of the chaperone glucose-regulated protein 58 (GRP58/ER-60/ERp57) with Stat3 in cytosol and plasma membrane complexes., PMID:12060494

gp130-linked signal transduction promotes the differentiation and maturation of dendritic cells., PMID:12039911

Datasheet
$ 220
Product specifications
50 μg 220 100 μg 350

Contact Information

Order: order@antibodysystem.com

Mail: support@antibodysystem.com

Distributor list

For research use only. Not for human or drug use.

Need help with your order?

Find out more about placing an order here

Anti-CD130/IL6ST/gp130 Antibody (R3K23) [RHE25302]
Terms of sale Website terms of use Cookie policy Privacy
Copyright © 2025 AntibodySystem SAS. All Rights Reserved.            All Products are for Research Use Only