Please ensure Javascript is enabled for purposes of website accessibility
Home / Products / Antibody / Recombinant Antibody

Anti-CHRNA7 Antibody (R3K06)

Catalog #:   RHE18301 Specific References (50) DATASHEET
Host species: Mouse
Isotype: IgG1
Applications: ELISA, FCM, IHC
Accession: P36544
Overview

Catalog No.

RHE18301

Species reactivity

Human, Mouse, Rat, Rabbit

Host species

Mouse

Isotype

IgG1

Clonality

Monoclonal

Tested applications

ELISA: 1:10000, FCM: 1:200-1:400, IHC: 1:100-1:500

Target

Neuronal acetylcholine receptor subunit alpha-7, NACHRA7, CHRNA7

Concentration

1 mg/ml

Endotoxin level

Please contact with the lab for this information.

Purity

>95% as determined by SDS-PAGE.

Purification

Protein A/G purified from cell culture supernatant.

Accession

P36544

Applications

ELISA, FCM, IHC

Form

Liquid

Storage buffer

0.01M PBS, pH 7.4, 0.05% Sodium Azide.

Stability and Storage

Use a manual defrost freezer and avoid repeated freeze-thaw cycles. Store at 4°C short term (1-2 weeks). Store at -20°C 12 months. Store at -80°C long term.

Clone ID

R3K06

Data Image
  • Flow Cytometry
    Flow cytometric analysis of SH-SY5Y cells using CHRNA7 mouse mAb (green) and negative control (red).
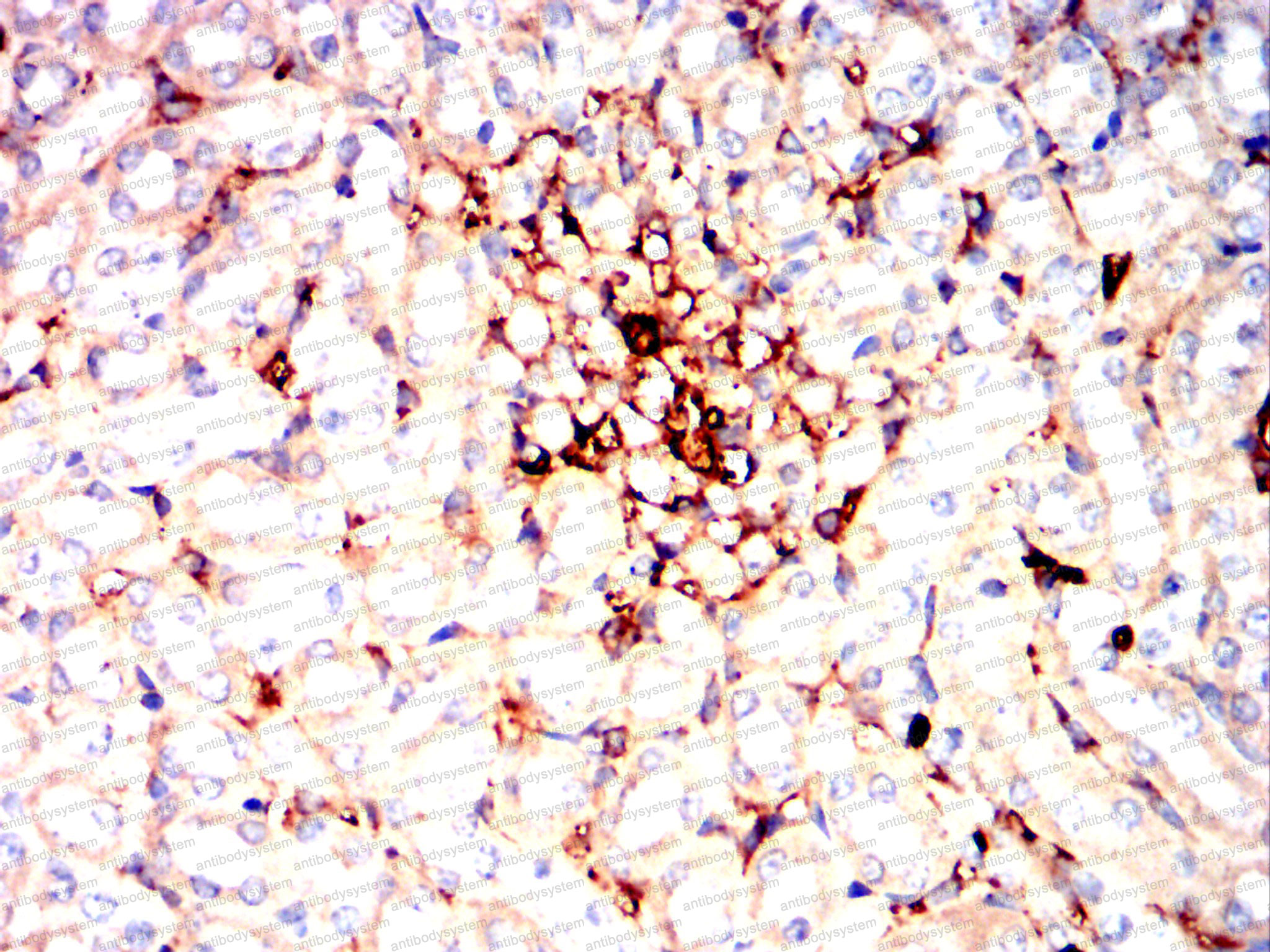
  • Immunohistochemical
    Immunohistochemical analysis of paraffin-embedded human bladder cancer tissues using CHRNA7 mouse mAb with DAB staining.
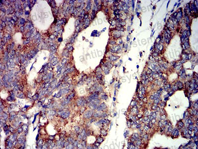
  • Immunohistochemical
    Immunohistochemical analysis of paraffin-embedded human rectum cancer tissues using CHRNA7 mouse mAb with DAB staining.
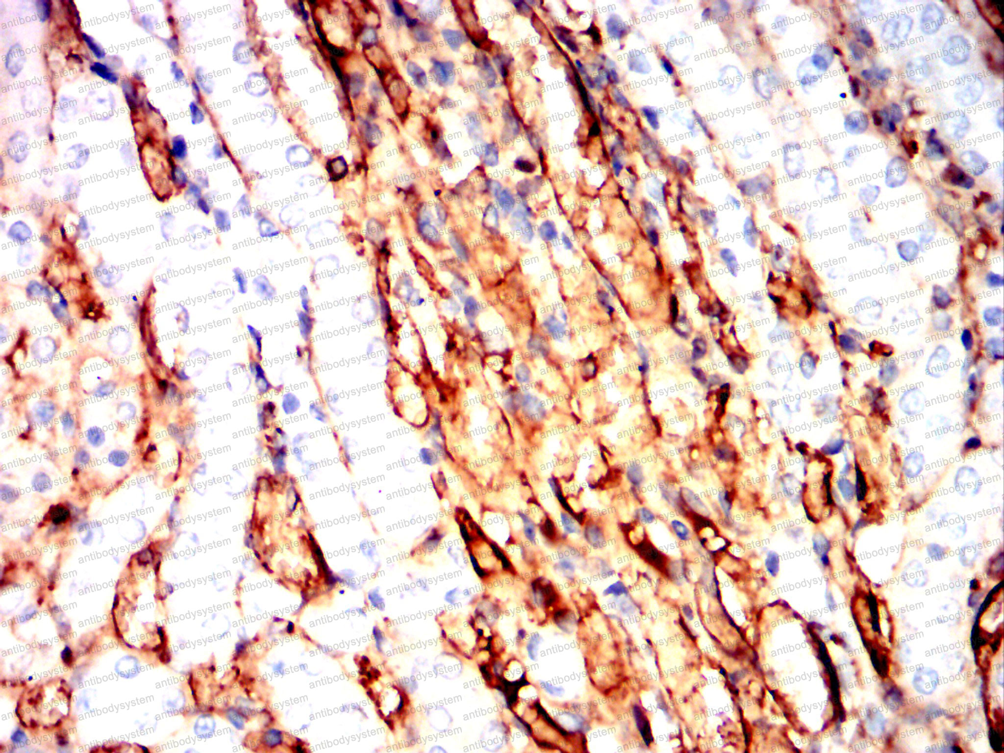
  • Immunohistochemical
    Immunohistochemical analysis of paraffin-embedded Mouse kidney using CHRNA7 mouse mAb with DAB staining.
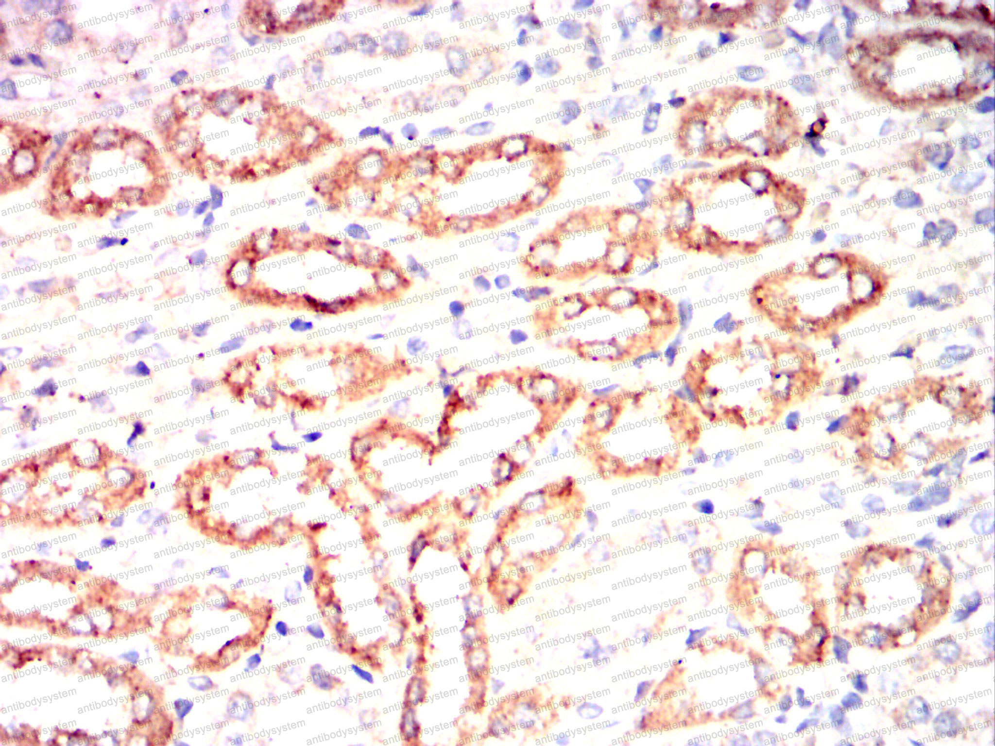
  • Immunohistochemical
    Immunohistochemical analysis of paraffin-embedded Rat kidney using CHRNA7 mouse mAb with DAB staining.
  • Immunohistochemical
    Immunohistochemical analysis of paraffin-embedded Rabbit kidney using CHRNA7 mouse mAb with DAB staining.
References

Nicotinic Acetylcholine Receptor Expression in Merkel Cell Carcinoma Is Associated With Clinical and Histopathologic Parameters., PMID:39814046

Stress Affects Mast Cell Proteases in Murine Skin in a Model of Atopic Dermatitis-like Allergic Inflammation., PMID:38891925

Vagus nerve stimulation modulates distinct acetylcholine receptors on B cells and limits the germinal center response., PMID:38669336

Nicotinic acetylcholine receptor activation induces BACE1 transcription via the phosphorylation and stabilization of nuclear SP1., PMID:38110001

An original potentiating mechanism revealed by the cryo-EM structures of the human α7 nicotinic receptor in complex with nanobodies., PMID:37749098

Network Pharmacological Study on the Mechanism of Cynanchum paniculatum (Xuchangqing) in the Treatment of Bungarus multicinctus Bites., PMID:35837378

CHRFAM7A: A human specific fusion gene, accounts for the translational gap for cholinergic strategies in Alzheimer's disease., PMID:32818803

Alpha7 acetylcholine receptor autoantibodies are rare in sera of patients diagnosed with schizophrenia or bipolar disorder., PMID:30521579

CHRFAM7A alters binding to the neuronal alpha-7 nicotinic acetylcholine receptor., PMID:30308236

Evaluating Commercially Available Antibodies for Rat α7 Nicotinic Acetylcholine Receptors., PMID:28763248

Nicotine stimulates collagen type I expression in lung via α7 nicotinic acetylcholine receptors., PMID:28576119

Nicotine reverses hypofrontality in animal models of addiction and schizophrenia., PMID:28112735

Suitability of Nicotinic Acetylcholine Receptor α7 and Muscarinic Acetylcholine Receptor 3 Antibodies for Immune Detection: Evaluation in Murine Skin., PMID:25673288

CHRFAM7A, a human-specific and partially duplicated α7-nicotinic acetylcholine receptor gene with the potential to specify a human-specific inflammatory response to injury., PMID:25473097

Synaptic pattern of nicotinic acetylcholine receptor α7 and β2 subunits on the direction-selective retinal ganglion cells in the postnatal mouse retina., PMID:24631336

Lateral mobility of presynaptic α7-containing nicotinic receptors and its relevance for glutamate release., PMID:24155310

Neuroprotection of rat retinal ganglion cells mediated through alpha7 nicotinic acetylcholine receptors., PMID:23402849

Acetylcholine and antibodies against the acetylcholine receptor protect neurons and astrocytes against beta-amyloid toxicity., PMID:23353645

Cholinergic receptor alterations in the brain stem of spinal cord injured rats., PMID:23184186

Identification and characterization of poly(I:C)-induced molecular responses attenuated by nicotine in mouse macrophages., PMID:23028093

Atomic force microscopy to characterize binding properties of α7-containing nicotinic acetylcholine receptors on neurokinin-1 receptor-expressing medullary respiratory neurons., PMID:22962286

Reconciling neuronally and nonneuronally derived acetylcholine in the regulation of immune function., PMID:22823388

In utero nicotine exposure promotes M2 activation in neonatal mouse alveolar macrophages., PMID:22562289

Role of antibodies to neuronal α7-acetylcholine receptors in myasthenia., PMID:22451872

Mitochondria express α7 nicotinic acetylcholine receptors to regulate Ca2+ accumulation and cytochrome c release: study on isolated mitochondria., PMID:22359587

[Nicotine effects on mitochondria membrane potential: participation of nicotinic acetylcholine receptors]., PMID:22276424

α7 nicotinic acetylcholine receptor agonism confers neuroprotection through GSK-3β inhibition in a mouse model of intracerebral hemorrhage., PMID:22207510

NNK promotes migration and invasion of lung cancer cells through activation of c-Src/PKCι/FAK loop., PMID:22178655

The effect of nicotine on anti-vascular endothelial growth factor therapy in a mouse model of neovascular age-related macular degeneration., PMID:22088983

Cytokine-induced alterations of α7 nicotinic receptor in colonic CD4 T cells mediate dichotomous response to nicotine in murine models of Th1/Th17- versus Th2-mediated colitis., PMID:21784975

The presence and origin of autoantibodies against α4 and α7 nicotinic acetylcholine receptors in the human blood: possible relevance to Alzheimer's pathology., PMID:21593571

[Autoantibodies to α7-subunit of neuronal acetylcholine receptor in children with traumatic brain injury]., PMID:21512503

Antibodies against extracellular domains of α4 and α7 subunits alter the levels of nicotinic receptors in the mouse brain and affect memory: possible relevance to Alzheimer's pathology., PMID:21321393

Differential involvement of α4β2, α7 and α9α10 nicotinic acetylcholine receptors in B lymphocyte activation in vitro., PMID:21146628

Granulocyte colony-stimulating factor attenuates chronic neuroinflammation in the brain of amyloid precursor protein transgenic mice: an Alzheimer's disease mouse model., PMID:20926003

Vitamin D3 restores altered cholinergic and insulin receptor expression in the cerebral cortex and muscarinic M3 receptor expression in pancreatic islets of streptozotocin induced diabetic rats., PMID:20655720

Role of curcumin in the prevention of cholinergic mediated cortical dysfunctions in streptozotocin-induced diabetic rats., PMID:20637830

Role of the cholinergic nervous system in rheumatoid arthritis: aggravation of arthritis in nicotinic acetylcholine receptor α7 subunit gene knockout mice., PMID:20511609

Vaccination with peptide 173-193 of acetylcholine receptor α7-subunit prevents memory loss in olfactory bulbectomized mice., PMID:20413883

The role of alpha7 nicotinic acetylcholine receptors in B lymphocyte activation., PMID:20387628

Antigenic structure of the human muscle nicotinic acetylcholine receptor main immunogenic region., PMID:19705087

Cell specific synovial expression of nicotinic alpha 7 acetylcholine receptor in rheumatoid arthritis and psoriatic arthritis., PMID:19630919

Presence of alpha7 nicotinic acetylcholine receptors on dorsal root ganglion neurons proved using knockout mice and selective alpha-neurotoxins in histochemistry., PMID:19519780

Ric-3 chaperone-mediated stable cell-surface expression of the neuronal alpha7 nicotinic acetylcholine receptor in mammalian cells., PMID:19498422

The alpha7 nicotinic acetylcholine receptor on fibroblast-like synoviocytes and in synovial tissue from rheumatoid arthritis patients: a possible role for a key neurotransmitter in synovial inflammation., PMID:19404936

Investigating the role of protein folding and assembly in cell-type dependent expression of alpha7 nicotinic receptors using a green fluorescent protein chimera., PMID:19368825

Is acetylcholine an autocrine/paracrine growth factor via the nicotinic alpha7-receptor subtype in the human colon cancer cell line HT-29?, PMID:19285065

Autoimmune autonomic ganglionopathy with late-onset encephalopathy., PMID:19028442

4-(Methylnitrosamino)-1-(3-pyridyl)-1-butanone (NNK) enhances invasiveness of lung cancer cells by up-regulating contactin-1 via the alpha7 nicotinic acetylcholine receptor/ERK signaling pathway., PMID:19027725

IgE-induced degranulation of mucosal mast cells is negatively regulated via nicotinic acetylcholine receptors., PMID:18848921

Datasheet

Document Download

Anti-CHRNA7 Antibody (R3K06).pdf

 

$ 220
Product specifications
50 μg 220 100 μg 350

Contact Information

Order: order@antibodysystem.com

Mail: support@antibodysystem.com

Distributor list

For research use only. Not for human or drug use.

Need help with your order?

Find out more about placing an order here

Anti-CHRNA7 Antibody (R3K06) [RHE18301]
Terms of sale Website terms of use Cookie policy Privacy
Copyright © 2025 AntibodySystem SAS. All Rights Reserved.            All Products are for Research Use Only