Please ensure Javascript is enabled for purposes of website accessibility
Home / Products / Antibody / Recombinant Antibody

Anti-MAPK1/ERK2 Antibody (R3H54)

Catalog #:   RHD79502 Specific References (50) DATASHEET
Host species: Mouse
Isotype: IgG2a
Applications: IF, IHC, WB
Accession: P28482
Overview

Catalog No.

RHD79502

Species reactivity

Human, Mouse, Monkey

Host species

Mouse

Isotype

IgG2a

Clonality

Monoclonal

Tested applications

IF: 1:200-1:1000, IHC: 1:200-1:1000, WB: 1:500-1:2000

Target

MAP kinase isoform p42, PRKM2, Extracellular signal-regulated kinase 2, MAPK 2, Mitogen-activated protein kinase 1, PRKM1, p42-MAPK, Mitogen-activated protein kinase 2, MAP kinase 1, MAP kinase 2, ERK2, ERT1, ERK-2, MAPK 1, MAPK1

Concentration

1 mg/ml

Endotoxin level

Please contact with the lab for this information.

Purity

>95% as determined by SDS-PAGE.

Purification

Protein A/G purified from cell culture supernatant.

Accession

P28482

Applications

IF, IHC, WB

Form

Liquid

Storage buffer

0.01M PBS, pH 7.4, 0.05% Sodium Azide.

Stability and Storage

Use a manual defrost freezer and avoid repeated freeze-thaw cycles. Store at 4°C short term (1-2 weeks). Store at -20°C 12 months. Store at -80°C long term.

Clone ID

R3H54

Data Image
  • Immunofluorescence
    Confocal Immunofluorescence analysis of Eca-109 cells using ERK2 mouse mAb (green).
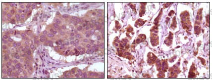
  • Immunohistochemical
    Immunohistochemical analysis of paraffin-embedded human lung carcinoma (left) and breast carcinoma (right) showing cytoplasmic localization using ERK2 mouse mAb with DAB staining.
  • Western blot
    Western blot analysis using ERK2 mouse mAb against Hela (1), NIH/3T3 (2), MCF-7 (3), HEK293 (4), Jurkat (5), A549 (6), NTERA-2 (7) and SMMC-7721 (8) cell lysate.
References

OXCT1 succinylation and activation by SUCLA2 promotes ketolysis and liver tumor growth., PMID:39862868

MAPK Pathway-Activating Alteration and Immunotherapy Efficacy in Squamous Cell Lung Carcinoma: Results from the Randomized, Prospective SQUINT Trial., PMID:39836372

SPHK1 promotes HNSCC immune evasion by regulating the MMP1-PD-L1 axis., PMID:39629135

Circ_0076490 silencing inhibits MAPK1 expression to decrease the proliferation and increase apoptosis of Jurkat cells by regulating miR-144-3p in myasthenia gravis., PMID:39206825

IL-33 Suppresses the Progression of Atherosclerosis via the ERK1/2-IRF1-VCAM-1 Pathway., PMID:37957490

Discovery of natural multi-targets neuraminidase inhibitor glycosides compounds against influenza A virus through network pharmacology, virtual screening, molecular dynamics simulation, and in vitro experiment., PMID:37743355

Epigallocatechin-3-Gallate, an Active Green Tea Component to Support Anti-VEGFA Therapy in Wet Age-Related Macular Degeneration., PMID:37571296

Analysing transcriptomic signatures and identifying potential genes for the protective effect of inactivated COVID-19 vaccines., PMID:37096063

B cell phenotypes and maturation states in cows naturally infected with Mycobacterium avium subsp. Paratuberculosis., PMID:36477266

Study on the Potential Mechanism of Semen Strychni against Myasthenia Gravis Based on Network Pharmacology and Molecular Docking with Experimental Verification., PMID:36217431

Microglial response in triggering receptor expressed on myeloid cells 2 (TREM2) knock-out mice after systemic stimulation with Escherichia coli., PMID:36183964

Metformin pre-treatment of stem cells from human exfoliated deciduous teeth promotes migration and angiogenesis of human umbilical vein endothelial cells for tissue engineering., PMID:36064533

Specific phosphorylation of microtubule-associated protein 2c by extracellular signal-regulated kinase reduces interactions at its Pro-rich regions., PMID:35987383

Network pharmacology-based analysis and experimental in vitro validation on the mechanism of Paeonia lactiflora Pall. in the treatment for type I allergy., PMID:35879791

Network Pharmacological Study on the Mechanism of Cynanchum paniculatum (Xuchangqing) in the Treatment of Bungarus multicinctus Bites., PMID:35837378

LncRNA LINC00680 Acts as a Competing Endogenous RNA and Is Associated With the Severity of Myasthennia Gravis., PMID:35800083

Microglial cell response in α7 nicotinic acetylcholine receptor-deficient mice after systemic infection with Escherichia coli., PMID:35413868

The Shared Mechanism and Candidate Drugs of Multiple Sclerosis and Sjögren's Syndrome Analyzed by Bioinformatics Based on GWAS and Transcriptome Data., PMID:35356004

Effects of substituting soybean meal with corn on immune function and gene expression of gut TLR4 pathway of growing goats., PMID:35186490

USP19 exacerbates lipogenesis and colorectal carcinogenesis by stabilizing ME1., PMID:34965422

Single Dose of N-Acetylcysteine in Local Anesthesia Increases Expression of HIF1α, MAPK1, TGFβ1 and Growth Factors in Rat Wound Healing., PMID:34445365

Krüppel-Like Factor 15/Interleukin 11 Axis-Mediated Adventitial Remodeling Depends on Extracellular Signal-Regulated Kinases 1 and 2 Activation in Angiotensin II-Induced Hypertension., PMID:34350769

Galectin‑3 blockade suppresses the growth of cetuximab‑resistant human oral squamous cell carcinoma., PMID:34328195

Inhibitors of PD-1/PD-L1 and ERK1/2 impede the proliferation of receptor positive and triple-negative breast cancer cell lines., PMID:34185141

Targeted silencing of TEM8 suppresses non‑small cell lung cancer tumor growth via the ERK/Bcl‑2 signaling pathway., PMID:34165155

Activated ERK Signaling Is One of the Major Hub Signals Related to the Acquisition of Radiotherapy-Resistant MDA-MB-231 Breast Cancer Cells., PMID:34066541

CREG1 promotes lysosomal biogenesis and function., PMID:33966596

The endolysosomal adaptor PLEKHM1 is a direct target for both mTOR and MAPK pathways., PMID:33452816

Unconventional Secretion of PKCδ Exerts Tumorigenic Function via Stimulation of ERK1/2 Signaling in Liver Cancer., PMID:33318039

HGF-Induced PD-L1 Expression in Head and Neck Cancer: Preclinical and Clinical Findings., PMID:33233528

The cAMP-ERK1/2 signaling pathway regulates urokinase-type plasminogen activator-induced bovine granulosa cell proliferation., PMID:33112787

POU4F1 confers trastuzumab resistance in HER2-positive breast cancer through regulating ERK1/2 signaling pathway., PMID:32988584

Neutrophil autophagy during human active tuberculosis is modulated by SLAMF1., PMID:32954947

Serum ERK1/2 proteins fluctuating with HBV infection report frequency of viral-specific CD8+ T cells and predict IFNα therapeutic effect in chronic hepatitis B patients., PMID:32791312

Adaptive ERK signalling activation in response to therapy and in silico prognostic evaluation of EGFR-MAPK in HNSCC., PMID:32424150

Transcripts 202 and 205 of IL-6 confer resistance to Vemurafenib by reactivating the MAPK pathway in BRAF(V600E) mutant melanoma cells., PMID:32173467

Identification of novel long non-coding RNAs involved in bisphenol A induced immunotoxicity in fish primary macrophages., PMID:32147374

Up-regulated FHL2 inhibits ovulation through interacting with androgen receptor and ERK1/2 in polycystic ovary syndrome., PMID:32028069

Nox4-mediated ROS production is involved, but not essential for TGFβ-induced lens EMT leading to cataract., PMID:31926131

Cyclosporin A activates human hepatocellular carcinoma (HepG2 cells) proliferation: implication of EGFR-mediated ERK1/2 signaling pathway., PMID:31907582

IL-17 alters the mesenchymal stem cell niche towards osteogenesis in cooperation with osteocytes., PMID:31643095

Mechanisms involved in the arthrofibrosis formation and treatments following bone fracture., PMID:31403938

Novel MRGPRX2 antagonists inhibit IgE-independent activation of human umbilical cord blood-derived mast cells., PMID:31299111

Functional study of 14-3-3 protein epsilon (YWHAE) in keratinocytes: microarray integrating bioinformatics approaches., PMID:31244373

Effect of Clostridium perfringens type C on TLR4/MyD88/NF-κB signaling pathway in piglet small intestines., PMID:31163250

Involvement of miR-770-5p in trastuzumab response in HER2 positive breast cancer cells., PMID:31009516

Human G protein-coupled receptor 30 is N-glycosylated and N-terminal domain asparagine 44 is required for receptor structure and activity., PMID:30760632

Utility of Neuronal-Derived Exosomes to Examine Molecular Mechanisms That Affect Motor Function in Patients With Parkinson Disease: A Secondary Analysis of the Exenatide-PD Trial., PMID:30640362

PTHrP treatment of colon cancer cells promotes tumor associated-angiogenesis by the effect of VEGF., PMID:30639585

Resolvin D1, but not resolvin E1, transactivates the epidermal growth factor receptor to increase intracellular calcium and glycoconjugate secretion in rat and human conjunctival goblet cells., PMID:30513286

Datasheet
$ 220
Product specifications
50 μg 220 100 μg 350

Contact Information

Order: order@antibodysystem.com

Mail: support@antibodysystem.com

Distributor list

For research use only. Not for human or drug use.

Need help with your order?

Find out more about placing an order here

Anti-MAPK1/ERK2 Antibody (R3H54) [RHD79502]
Terms of sale Website terms of use Cookie policy Privacy
Copyright © 2025 AntibodySystem SAS. All Rights Reserved.            All Products are for Research Use Only