Please ensure Javascript is enabled for purposes of website accessibility
Home / Products / Antibody / Recombinant Antibody

Anti-CD82 Antibody (R3H39)

Catalog #:   RHD74902 Specific References (50) DATASHEET
Host species: Mouse
Isotype: IgG2a
Applications: ELISA, FCM, IHC
Accession: P27701
Overview

Catalog No.

RHD74902

Species reactivity

Human, Mouse

Host species

Mouse

Isotype

IgG2a

Clonality

Monoclonal

Tested applications

ELISA: 1:10000, FCM: 1:200-1:400, IHC: 1:200-1:1000

Target

IA4, Tspan-27, Metastasis suppressor Kangai-1, Inducible membrane protein R2, Suppressor of tumorigenicity 6 protein, KAI1, TSPAN27, CD82, SAR2, C33 antigen, ST6, Tetraspanin-27, CD82 antigen

Concentration

1 mg/ml

Endotoxin level

Please contact with the lab for this information.

Purity

>95% as determined by SDS-PAGE.

Purification

Protein A/G purified from cell culture supernatant.

Accession

P27701

Applications

ELISA, FCM, IHC

Form

Liquid

Storage buffer

0.01M PBS, pH 7.4, 0.05% Sodium Azide.

Stability and Storage

Use a manual defrost freezer and avoid repeated freeze-thaw cycles. Store at 4°C short term (1-2 weeks). Store at -20°C 12 months. Store at -80°C long term.

Clone ID

R3H39

Data Image
  • Flow Cytometry
    Flow cytometric analysis of NIH/3T3 cells using CD82 mouse mAb (green) and negative control (red).
  • Flow Cytometry
    Flow cytometric analysis of Hela cells using CD82 mouse mAb (green) and negative control (red).
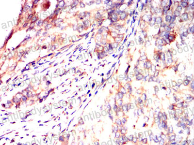
  • Immunohistochemical
    Immunohistochemical analysis of paraffin-embedded human cervical cancer tissues using CD82 mouse mAb with DAB staining.
  • Immunohistochemical
    Immunohistochemical analysis of paraffin-embedded human lymph tissues using CD82 mouse mAb with DAB staining.
References

Upregulation of ferroptosis in glucocorticoids-induced posterior subcapsular cataracts., PMID:40234585

A novel multiple marker microarray analyzer and methodology to predict major obstetric syndromes using surface markers of circulating extracellular vesicles from maternal plasma., PMID:39607297

Tetraspanin CD82 Associates with Trafficking Vesicle in Muscle Cells and Binds to Dysferlin and Myoferlin., PMID:37434585

Serum-derived extracellular vesicles: Novel biomarkers reflecting the disease severity of COVID-19 patients., PMID:35979935

Th2-Biased Transcriptional Profile Predicts HIV Envelope-Specific Polyfunctional CD4+ T Cells That Correlated with Reduced Risk of Infection in RV144 Trial., PMID:35803696

Isolation and molecular characterization of circulating extracellular vesicles from blood of chronic Chagas disease patients., PMID:35253308

Anti-TNF Agents Restrict Adherent-invasive Escherichia coli Replication Within Macrophages Through Modulation of Chitinase 3-like 1 in Patients with Crohn's Disease., PMID:35022663

Differential HLA Association of GAD65 and IA2 Autoantibodies in North Indian Type 1 Diabetes Patients., PMID:34988229

Column-based Technology for CD9-HPLC Immunoaffinity Isolation of Serum Extracellular Vesicles., PMID:34473505

A positive COX-2/IL-1β loop promotes decidualization by upregulating CD82., PMID:34280124

CD82 is a marker to isolate β cell precursors from human iPS cells and plays a role for the maturation of β cells., PMID:33953224

The regulation and function of CD20: an "enigma" of B-cell biology and targeted therapy., PMID:32482755

Tetraspanin CD82 interaction with cholesterol promotes extracellular vesicle-mediated release of ezrin to inhibit tumour cell movement., PMID:31807237

CD82 controls CpG-dependent TLR9 signaling., PMID:31408613

The metastasis suppressor CD82/KAI1 represses the TGF-β 1 and Wnt signalings inducing epithelial-to-mesenchymal transition linked to invasiveness of prostate cancer cells., PMID:31212375

[Markers of stem cells and their prognostic values for urothelial carcinomas of the urinary tract]., PMID:31162900

Purification of Myogenic Progenitors from Human Muscle Using Fluorescence-Activated Cell Sorting (FACS)., PMID:30367405

Alternative splicing is an important mechanism behind KAI1 loss of function in breast cancer patients from Saudi Arabia., PMID:30306427

Roles of KAI1 and nm23 in lymphangiogenesis and lymph metastasis of laryngeal squamous cell carcinoma., PMID:29187211

Promoter CpG-Site Methylation of the KAI1 Metastasis Suppressor Gene Contributes to Its Epigenetic Repression in Prostate Cancer., PMID:27813113

Macrophages promote the growth and invasion of endometrial stromal cells by downregulating IL-24 in endometriosis., PMID:27624484

KAI-1 and p53 expression in oral squamous cell carcinomas: Markers of significance in future diagnostics and possibly therapeutics., PMID:27721601

Determining antigen specificity of a monoclonal antibody using genome-scale CRISPR-Cas9 knockout library., PMID:27664857

Molecular association of CD98, CD29, and CD147 critically mediates monocytic U937 cell adhesion., PMID:27610038

Cell-Surface Protein Profiling Identifies Distinctive Markers of Progenitor Cells in Human Skeletal Muscle., PMID:27509136

Inhibition of VEGF-dependent angiogenesis by the anti-CD82 monoclonal antibody 4F9 through regulation of lipid raft microdomains., PMID:27103437

Extensive surface protein profiles of extracellular vesicles from cancer cells may provide diagnostic signatures from blood samples., PMID:27086589

Autoantibodies to tetraspanins (CD9, CD81 and CD82) in demyelinating diseases., PMID:26857499

Chromophobe renal cell carcinoma, eosinophilic variant with papillary growth: a case report., PMID:26722580

The novel function of CD82 and its impact on BCL2L12 via AKT/STAT5 signal pathway in acute myelogenous leukemia cells., PMID:26260387

Blockade of CD82 by a monoclonal antibody potentiates anti-leukemia effects of AraC in vivo., PMID:26139471

Tetraspanin Family Member, CD82, Regulates Expression of EZH2 via Inactivation of p38 MAPK Signaling in Leukemia Cells., PMID:25955299

A Novel Function of CD82/KAI1 in Sialyl Lewis Antigen-Mediated Adhesion of Cancer Cells: Evidence for an Anti-Metastasis Effect by Down-Regulation of Sialyl Lewis Antigens., PMID:25923697

Anti-miR-362-3p Inhibits Migration and Invasion of Human Gastric Cancer Cells by Its Target CD82., PMID:25652145

L-22 enhances the invasiveness of endometrial stromal cells of adenomyosis in an autocrine manner., PMID:25337217

Tetraspanins are involved in Schwann cell-axon interaction., PMID:24038174

Identification of the tetraspanin CD82 as a new barrier to xenotransplantation., PMID:23872050

Tetraspanins CD81 and CD82 facilitate α4β1-mediated adhesion of human erythroblasts to vascular cell adhesion molecule-1., PMID:23704882

Tetraspanin protein CD9 interacts with metalloprotease CD10 and enhances its release via exosomes., PMID:23289620

Limited value of KAI1/CD82 protein expression as a prognostic marker in human gastric cancer., PMID:22684230

Expression of CD82 in human trophoblast and its role in trophoblast invasion., PMID:22679510

CsA improves the trophoblasts invasiveness through strengthening the cross-talk of trophoblasts and decidual stromal cells mediated by CXCL12 and CD82 in early pregnancy., PMID:22670173

Tetraspanins stimulate protein synthesis in myeloma cell lines., PMID:22415769

CD82 expression alters with human endometrial cycles and affects the uterine endometrial receptivity in vitro., PMID:22393164

Bone marrow homing and engraftment of human hematopoietic stem and progenitor cells is mediated by a polarized membrane domain., PMID:22228628

CD82 gene suppression in endometrial stromal cells leads to increase of the cell invasiveness in the endometriotic milieu., PMID:21685244

CXCL12 controls over-invasion of trophoblasts via upregulating CD82 expression in DSCs at maternal-fetal interface of human early pregnancy in a paracrine manner., PMID:21487523

Immunohistochemical diagnosis of renal neoplasms., PMID:21204715

Interaction of antithymocyte globulins with dendritic cell antigens., PMID:21199353

The tetraspanin CD82 is specifically recruited to fungal and bacterial phagosomes prior to acidification., PMID:21149584

Datasheet

Document Download

Anti-CD82 Antibody (R3H39).pdf

 

$ 220
Product specifications
50 μg 220 100 μg 350

Contact Information

Order: order@antibodysystem.com

Mail: support@antibodysystem.com

Distributor list

For research use only. Not for human or drug use.

Need help with your order?

Find out more about placing an order here

Anti-CD82 Antibody (R3H39) [RHD74902]
Terms of sale Website terms of use Cookie policy Privacy
Copyright © 2025 AntibodySystem SAS. All Rights Reserved.            All Products are for Research Use Only