Please ensure Javascript is enabled for purposes of website accessibility
Home / Products / Antibody / Recombinant Antibody

Anti-PAX6 Antibody (R3H07)

Catalog #:   RHD70003 Specific References (50) DATASHEET
Host species: Mouse
Isotype: IgG1
Applications: ELISA, FCM, IHC
Accession: P26367
Overview

Catalog No.

RHD70003

Species reactivity

Human

Host species

Mouse

Isotype

IgG1

Clonality

Monoclonal

Tested applications

ELISA: 1:10000, FCM: 1:200-1:400, IHC: 1:200-1:1000

Target

AN2, Aniridia type II protein, Oculorhombin, PAX6, Paired box protein Pax-6

Concentration

1 mg/ml

Endotoxin level

Please contact with the lab for this information.

Purity

>95% as determined by SDS-PAGE.

Purification

Protein A/G purified from cell culture supernatant.

Accession

P26367

Applications

ELISA, FCM, IHC

Form

Liquid

Storage buffer

0.01M PBS, pH 7.4, 0.05% Sodium Azide.

Stability and Storage

Use a manual defrost freezer and avoid repeated freeze-thaw cycles. Store at 4°C short term (1-2 weeks). Store at -20°C 12 months. Store at -80°C long term.

Clone ID

R3H07

Data Image
  • Flow Cytometry
    Flow cytometric analysis of A549 cells using PAX6 mouse mAb (green) and negative control (red).
  • Immunohistochemical
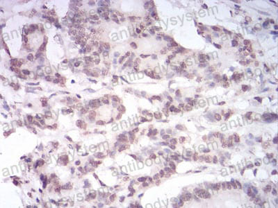
    Immunohistochemical analysis of paraffin-embedded human colon cancer tissues using PAX6 mouse mAb with DAB staining.
  • Immunohistochemical
    Immunohistochemical analysis of paraffin-embedded human esophageal cancer tissues using PAX6 mouse mAb with DAB staining.
References

PAX6 is a useful marker for pancreatic origin of neuroendocrine neoplasms: A tissue microarray study evaluating more than 19,000 tumors from 150 different tumor types., PMID:39571690

PAX6 protein in neuromasts of the lateral line system of salamanders (Eurycea)., PMID:39213295

Whole mount immunofluorescence analysis of fresh and stored human donor corneas highlights changes in limbal characteristics during storage., PMID:38945477

The lncRNA expression profile signature of leukemia stem cells is altered upon PI3K/mTOR inhibition: an in vitro and in silico study., PMID:37470414

Chondroitin Sulphate/Dermatan Sulphate Proteoglycans: Potential Regulators of Corneal Stem/Progenitor Cell Phenotype In Vitro., PMID:36768414

Quantitation of Pax-6 protein in ocular impression cytology samples using an electrochemiluminescence immunoassay., PMID:36058293

TNFRSF9 Suppressed the Progression of Breast Cancer via the p38MAPK/PAX6 Signaling Pathway., PMID:35799609

Meis1 plays roles in cortical development through regulation of cellular proliferative capacity in the embryonic cerebrum., PMID:35718449

Pancreatic-Like Cells Derived From Mouse Embryonic Stem Cells Are Regulated by Pdx1 Involving the Notch Pathway., PMID:35695761

Identification of TPBG-Expressing Amacrine Cells in DAT-tdTomato Mouse., PMID:35551574

Polyclonal PAX8 expression in carcinomas of the biliary tract - Frequent non-specific staining represents a potential diagnostic pitfall., PMID:34102541

Isolation of Adult Human Astrocyte Populations from Fresh-frozen Cortex using Fluorescence-Activated Nuclei Sorting., PMID:33938880

Process development and safety evaluation of ABCB5+ limbal stem cells as advanced-therapy medicinal product to treat limbal stem cell deficiency., PMID:33741066

Transcriptional profiles along cell programming into corneal epithelial differentiation., PMID:33098888

Phenotypic Characterization of Corneal Epithelium in Long-Term Follow-Up of Patients Post-Autologous Cultivated Oral Mucosal Epithelial Transplantation., PMID:33079916

The cataract-linked RNA-binding protein Celf1 post-transcriptionally controls the spatiotemporal expression of the key homeodomain transcription factors Pax6 and Prox1 in lens development., PMID:32594240

Loss of RAD9B impairs early neural development and contributes to the risk for human spina bifida., PMID:31898828

Extracellular Pax6 Regulates Tangential Cajal-Retzius Cell Migration in the Developing Mouse Neocortex., PMID:31206158

Liver-derived fibroblast growth factor 21 mediates effects of glucagon-like peptide-1 in attenuating hepatic glucose output., PMID:30827929

Transdifferentiation effects and related mechanisms of nerve growth factor and internal limiting membrane on Müller cells., PMID:30578789

Altered Signaling Pathways in Aniridia-Related Keratopathy., PMID:30480741

Generation of Transplantable Retinal Pigmented Epithelial (RPE) Cells for Treatment of Age-Related Macular Degeneration (AMD)., PMID:29896658

ADAR1-mediated regulation of melanoma invasion., PMID:29855470

Overlapping expression patterns and functions of three paralogous P5B ATPases in Caenorhabditis elegans., PMID:29547664

Novel polyclonal antibodies as a useful tool for expression studies in amphioxus embryos., PMID:29319125

Human aniridia limbal epithelial cells lack expression of keratins K3 and K12., PMID:29162348

Regional Immunoreactivity of Pax6 in the Neurogenic Zone After Chronic Prenatal Hypoxia., PMID:29102934

Reprogramming human gallbladder cells into insulin-producing β-like cells., PMID:28813430

The effects of platelet gel on cultured human retinal pigment epithelial (hRPE) cells., PMID:28632489

Interaction between transcription factors PAX6/PAX6-5a and specific members of miR-183-96-182 cluster, may contribute to glioma progression in glioblastoma cell lines., PMID:28184912

Stem/progenitor cells in the developing human cerebellum: an immunohistochemical study., PMID:27734996

High-contrast enzymatic immunohistochemistry of pigmented tissues., PMID:27660801

Regulation of Tlx3 by Pax6 is required for the restricted expression of Chrnα3 in Cerebellar Granule Neuron progenitors during development., PMID:27452274

Sip1 regulates the generation of the inner nuclear layer retinal cell lineages in mammals., PMID:27385012

A unique lineage gives rise to the meibomian gland., PMID:26957900

RNA-seq analysis of impact of PNN on gene expression and alternative splicing in corneal epithelial cells., PMID:26900324

APR-246/PRIMA-1Met Inhibits and Reverses Squamous Metaplasia in Human Conjunctival Epithelium., PMID:26868746

Atlas Toolkit: Fast registration of 3D morphological datasets in the absence of landmarks., PMID:26864723

Ras-Related Nuclear Protein is required for late developmental stages of retinal cells in zebrafish eyes., PMID:26864484

Minocycline Inhibits Inflammation and Squamous Metaplasia of Conjunctival Tissue Culture in Airlift Conditions., PMID:26583279

Intrathecal Transplantation of Embryonic Stem Cell-Derived Spinal GABAergic Neural Precursor Cells Attenuates Neuropathic Pain in a Spinal Cord Injury Rat Model., PMID:26407027

Sustained Pax6 Expression Generates Primate-like Basal Radial Glia in Developing Mouse Neocortex., PMID:26252244

Generation and isolation of oligodendrocyte progenitor cells from human pluripotent stem cells., PMID:26134954

ELISA based quantification of Pax6 expression in the developing Zebrafish embryos., PMID:26130925

Hedgehog signaling stimulates the formation of proliferating Müller glia-derived progenitor cells in the chick retina., PMID:26116667

S-phase duration is the main target of cell cycle regulation in neural progenitors of developing ferret neocortex., PMID:25963823

Doublecortin is widely expressed in the developing and adult retina of sharks., PMID:25849205

Direct conversion of human fibroblasts into dopaminergic neural progenitor-like cells using TAT-mediated protein transduction of recombinant factors., PMID:25767075

Dental pulp stem cells differentiation into retinal ganglion-like cells in a three dimensional network., PMID:25543058

Ephrin-A2 and -A3 are negative regulators of the regenerative potential of Möller cells., PMID:25269910

Datasheet

Document Download

Anti-PAX6 Antibody (R3H07).pdf

 

$ 220
Product specifications
50 μg 220 100 μg 350

Contact Information

Order: order@antibodysystem.com

Mail: support@antibodysystem.com

Distributor list

For research use only. Not for human or drug use.

Need help with your order?

Find out more about placing an order here

Anti-PAX6 Antibody (R3H07) [RHD70003]
Terms of sale Website terms of use Cookie policy Privacy
Copyright © 2025 AntibodySystem SAS. All Rights Reserved.            All Products are for Research Use Only