Please ensure Javascript is enabled for purposes of website accessibility
Home / Products / Antibody / Recombinant Antibody

Anti-JAK1 Antibody (R3G34)

Catalog #:   RHD57903 Specific References (50) DATASHEET
Host species: Mouse
Isotype: IgG1
Applications: IHC
Accession: P23458
Overview

Catalog No.

RHD57903

Species reactivity

Human, Mouse, Rat

Host species

Mouse

Isotype

IgG1

Clonality

Monoclonal

Tested applications

IHC: 1:50-1:100

Target

JAK1B, JAK1, Janus kinase 1, Tyrosine-protein kinase JAK1, JAK1A, JAK-1

Concentration

1 mg/ml

Endotoxin level

Please contact with the lab for this information.

Purity

>95% as determined by SDS-PAGE.

Purification

Protein A/G purified from cell culture supernatant.

Accession

P23458

Applications

IHC

Form

Liquid

Storage buffer

0.01M PBS, pH 7.4, 0.5% BSA, 0.05% Sodium Azide and 50% Glycerol.

Stability and Storage

Use a manual defrost freezer and avoid repeated freeze-thaw cycles. Store at 4°C short term (1-2 weeks). Store at -20°C 12 months. Store at -80°C long term.

Clone ID

R3G34

Data Image
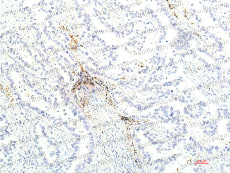
  • Immunohistochemical
    Immunohistochemistry analysis of paraffin-embedded Human Lung Carcinoma Tissue using JAK1 antibody.High-pressure and temperature Sodium Citrate pH 6.0 was used for antigen retrieval.
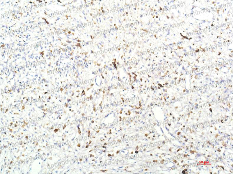
  • Immunohistochemical
    Immunohistochemical analysis of paraffin-embedded Human tonsils using JAK1 antibody.High-pressure and temperature Sodium Citrate pH 6.0 was used for antigen retrieval.
References

IGSF9-targeted therapy inhibits the progression of acute myeloid leukemia., PMID:40526840

Mouse Th2 cell extracellular vesicles promote eosinophil survival through the surface cytokine cargo IL-3., PMID:40505836

Effect of DNA methylation on inhibitor development in people with hemophilia A treated with FVIII concentrates., PMID:40502981

Atopic dermatitis relapse after treatment discontinuation and predictive factors for relapse: JAK1 inhibitors versus dupilumab., PMID:40317605

Emerging Therapeutic Approaches for Anemia in Myelofibrosis., PMID:40317385

Bone marrow mesenchymal stem cells alleviate liver fibrosis after rat liver transplantation through JAK1/STAT5 pathway., PMID:40312752

Enhanced Immunity and Infection Resistance in Mice Through Co-Expression of Porcine IL-3, IL-7, and IL-15 Fusion Molecules in Yarrowia lipolytica., PMID:40282231

Modulating IL-21-driven B cell responses in idiopathic inflammatory myopathies via inhibition of the JAK/STAT pathway., PMID:40170058

Effectiveness of Switching From Upadacitinib to Tralokinumab in Patients With Moderate-to-Severe Atopic Dermatitis: A Real-World Clinical Practice., PMID:40165566

Onset and Long-Term Maintenance of Optimal Itch Response in Adult Patients with Moderate-to-Severe Atopic Dermatitis Treated with Dupilumab: Post Hoc Analysis from Two Phase 3 Trials., PMID:39969783

The systemic lupus erythematosus-associated NCF190H allele synergizes with viral infection to cause mouse lupus but also limits virus spread., PMID:39939342

Innovative Therapies and Strategies for Rheumatoid Arthritis., PMID:39871551

A biodegradable magnesium alloy promotes subperiosteal osteogenesis via interleukin-10-dependent macrophage immunomodulation., PMID:39862617

The JAK1/3 Inhibitor Tofacitinib Regulates Th Cell Profiles and Humoral Immune Responses in Myasthenia Gravis., PMID:39821232

Monoallelic expression can govern penetrance of inborn errors of immunity., PMID:39743591

Type 2 cytokine-JAK1 signaling is involved in the development of dry skin-induced mechanical alloknesis., PMID:39616021

Xianling Lianxia formula improves the efficacy of trastuzumab by enhancing NK cell-mediated ADCC in HER2-positive BC., PMID:39493309

Use of Upadacitinib to Treat a Severe Flare-Up of Rheumatoid Arthritis During Anti-PD-1 Immune Checkpoint Inhibitor Therapy for Stage IV Squamous Cell Carcinoma of the Lung., PMID:39458207

Tumor-intrinsic role of ICAM-1 in driving metastatic progression of triple-negative breast cancer through direct interaction with EGFR., PMID:39415210

Rapid identification of primary atopic disorders (PAD) by a clinical landmark-guided, upfront use of genomic sequencing., PMID:39381601

A Scalable Approach to Assess the Safety of Recently Marketed Systemic Treatments for Atopic Dermatitis in Clinical Practice: First Analysis Cycle of a Sequential Monitoring System., PMID:39362623

Th2 cell extracellular vesicles promote eosinophil survival through the cytokine cargo IL-3 and prolong airway eosinophilia., PMID:39211207

The JAK1/JAK2 inhibitor ruxolitinib inhibits mediator release from human basophils and mast cells., PMID:39188724

Positive feedback loop PU.1-IL9 in Th9 promotes rheumatoid arthritis development., PMID:39164066

From pre-clinical efficacy to promising clinical trials that delay Type 1 diabetes., PMID:39142538

Systemic Lupus Erythematosus and Cytokine Storm., PMID:39117826

The binding of extracellular cyclophilin A to ACE2 and CD147 triggers psoriasis-like inflammation., PMID:39096717

FRACTION: protocol of a phase II study of Fedratinib and Nivolumab combination in patients with myelofibrosis and resistance or suboptimal response to JAK-inhibitor treatment of the German MPN study group (GSG-MPN)., PMID:38967662

Vitamin D3 attenuates autoimmune thyroiditis by regulating Th17/Treg cell differentiation via YAP/JAK1/STAT1 axis., PMID:38959983

APLNR inhibited nasopharyngeal carcinoma growth and immune escape by downregulating PD-L1., PMID:38909500

Oncogenic Calreticulin Induces Immune Escape by Stimulating TGFβ Expression and Regulatory T-cell Expansion in the Bone Marrow Microenvironment., PMID:38885318

A novel function of STAT3β in suppressing interferon response improves outcome in acute myeloid leukemia., PMID:38806478

Phase I and Randomized Phase II Study of Ruxolitinib With Frontline Neoadjuvant Therapy in Advanced Ovarian Cancer: An NRG Oncology Group Study., PMID:38776484

The clonal hematopoiesis mutation Jak2V617F aggravates endothelial injury and thrombosis in arteries with erosion-like intimas., PMID:38759798

Helicobacter pylori disrupts gastric mucosal homeostasis by stimulating macrophages to secrete CCL3., PMID:38730482

Baricitinib protects ICIs-related myocarditis by targeting JAK1/STAT3 to regulate Macrophage polarization., PMID:38701735

Combined Use of Emapalumab With Ruxolitinib and Dexamethasone as an Effective Treatment for Epstein-Barr Virus-associated Hemophagocytic Lymphohistiocytosis Complicated With Multiorgan Damage and Severe Infection., PMID:38691058

Novel agents and regimens in relapsed or refractory peripheral T-cell lymphoma: latest updates from 2023 ASH annual meeting., PMID:38649997

Autoantigenic Peptide and Immunomodulator Codelivery System for Rheumatoid Arthritis Treatment by Reestablishing Immune Tolerance., PMID:38598749

A case of dupilumab-induced psoriasis-like eruption treated with baricitinib., PMID:38577056

Nonclinical Investigation of Cytokine Mitigation Strategies for T-cell-Engaging Bispecifics in the Cynomolgus Macaque., PMID:38562119

Effectiveness of tofacitinib monotherapy for patients with IgG4-RD or idiopathic retroperitoneal fibrosis., PMID:38530663

Learning from nemolizumab: A promising therapy for prurigo nodularis., PMID:38460679

Interleukin-4 from curcumin-activated OECs emerges as a central modulator for increasing M2 polarization of microglia/macrophage in OEC anti-inflammatory activity for functional repair of spinal cord injury., PMID:38448976

Switching between JAK Inhibitors in Patients with Atopic Dermatitis: Unanswered Questions in Daily Clinical Practice., PMID:38439732

Xianling Lianxia formula enhances the inhibitory effects of trastuzumab on HER2-positive breast cancer., PMID:38379418

Case report: Refractory Evans syndrome in two patients with spondyloenchondrodysplasia with immune dysregulation treated successfully with JAK1/JAK2 inhibition., PMID:38347954

Prurigo nodularis: new insights into pathogenesis and novel therapeutics., PMID:38345154

Radical S-adenosyl methionine domain-containing 2, a potential target of D-tryptophan in asthma treatment, regulates T helper cell type 1/2 balance., PMID:38310765

Novel Management of Masticatory Myositis in Three Dogs with a Selective Janus Kinase (JAK-1) Inhibitor., PMID:38192103

Datasheet

Document Download

Anti-JAK1 Antibody (R3G34).pdf

 

$ 220
Product specifications
50 μg 220 100 μg 350

Contact Information

Order: order@antibodysystem.com

Mail: support@antibodysystem.com

Distributor list

For research use only. Not for human or drug use.

Need help with your order?

Find out more about placing an order here

Anti-JAK1 Antibody (R3G34) [RHD57903]
Terms of sale Website terms of use Cookie policy Privacy
Copyright © 2025 AntibodySystem SAS. All Rights Reserved.            All Products are for Research Use Only