Please ensure Javascript is enabled for purposes of website accessibility
Home / Products / Antibody / Recombinant Antibody

Anti-LMNB1 Antibody (R3F74)

Catalog #:   RHD40902 Specific References (4) DATASHEET
Host species: Mouse
Isotype: IgG1
Applications: ELISA, FCM, IF, IHC, WB
Accession: P20700
Overview

Catalog No.

RHD40902

Species reactivity

Human, Mouse, Rat

Host species

Mouse

Isotype

IgG1

Clonality

Monoclonal

Tested applications

ELISA: 1:10000, FCM: 1:200-1:400, IF: 1:200-1:1000, IHC: 1:200-1:1000, WB: 1:500-1:2000

Target

LMN2, Lamin-B1, LMNB, LMNB1

Concentration

1 mg/ml

Endotoxin level

Please contact with the lab for this information.

Purity

>95% as determined by SDS-PAGE.

Purification

Protein A/G purified from cell culture supernatant.

Accession

P20700

Applications

ELISA, FCM, IF, IHC, WB

Form

Liquid

Storage buffer

0.01M PBS, pH 7.4, 0.05% Sodium Azide.

Stability and Storage

Use a manual defrost freezer and avoid repeated freeze-thaw cycles. Store at 4°C short term (1-2 weeks). Store at -20°C 12 months. Store at -80°C long term.

Clone ID

R3F74

Data Image
  • Flow Cytometry
    Flow cytometric analysis of Hela cells using LMNB1 mouse mAb (green) and negative control (red).
  • Immunofluorescence
    Immunofluorescence analysis of Hela cells using LMNB1 mouse mAb (green). Blue: DRAQ5 fluorescent DNA dye. Red: Actin filaments have been labeled with Alexa Fluor- 555 phalloidin.
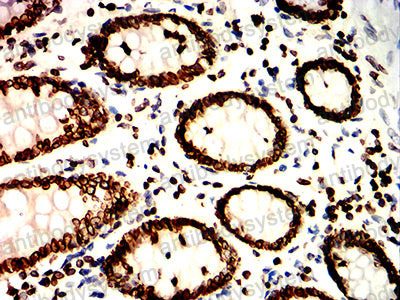
  • Immunohistochemical
    Immunohistochemical analysis of paraffin-embedded human colon tissues using LMNB1 mouse mAb with DAB staining.
  • Immunohistochemical
    Immunohistochemical analysis of paraffin-embedded human ovarian cancer tissues using LMNB1 mouse mAb with DAB staining.
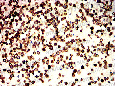
  • Immunohistochemical
    Immunohistochemical analysis of paraffin-embedded human brain tumors tissues using LMNB1 mouse mAb with DAB staining.
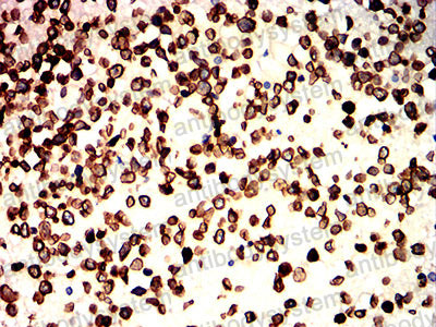
  • Immunohistochemical
    Immunohistochemical analysis of paraffin-embedded human brain tumors tissues using LMNB1 mouse mAb with DAB staining.
  • Immunohistochemical
    Immunohistochemical analysis of paraffin-embedded human cerebellum tissues using LMNB1 mouse mAb with DAB staining.
  • Western blot
    Western blot analysis using LMNB1 mouse mAb against Hela (1), HEK2933 (2), K562 (3), SH-SY5Y (4), and PC-3 (5) cell lysate.
References

Raft-like lipid microdomains drive autophagy initiation via AMBRA1-ERLIN1 molecular association within MAMs., PMID:33034545

Low lamin A expression in lung adenocarcinoma cells from pleural effusions is a pejorative factor associated with high number of metastatic sites and poor Performance status., PMID:28806747

Antibody-validated proteins in inflamed islets of fulminant type 1 diabetes profiled by laser-capture microdissection followed by mass spectrometry., PMID:25329145

Screening of autoantibodies as potential biomarkers for hepatocellular carcinoma by using T7 phase display system., PMID:22018955

Datasheet

Document Download

Anti-LMNB1 Antibody (R3F74).pdf

 

$ 220
Product specifications
50 μg 220 100 μg 350

Contact Information

Order: order@antibodysystem.com

Mail: support@antibodysystem.com

Distributor list

For research use only. Not for human or drug use.

Need help with your order?

Find out more about placing an order here

Anti-LMNB1 Antibody (R3F74) [RHD40902]
Terms of sale Website terms of use Cookie policy Privacy
Copyright © 2025 AntibodySystem SAS. All Rights Reserved.            All Products are for Research Use Only