Please ensure Javascript is enabled for purposes of website accessibility
Home / Products / Antibody / Recombinant Antibody

Anti-CD33 Antibody (R3F51)

Catalog #:   RHD37502 Specific References (50) DATASHEET
Host species: Mouse
Isotype: IgG1
Applications: ELISA, FCM, IHC, WB
Accession: P20138
Overview

Catalog No.

RHD37502

Species reactivity

Human

Host species

Mouse

Isotype

IgG1

Clonality

Monoclonal

Tested applications

ELISA: 1:10000, FCM: 1:200-1:400, IHC: 1:200-1:1000, WB: 1:500-1:2000

Target

Myeloid cell surface antigen CD33, Sialic acid-binding Ig-like lectin 3, Siglec-3, CD33, gp67, SIGLEC3

Concentration

1 mg/ml

Endotoxin level

Please contact with the lab for this information.

Purity

>95% as determined by SDS-PAGE.

Purification

Protein A/G purified from cell culture supernatant.

Accession

P20138

Applications

ELISA, FCM, IHC, WB

Form

Liquid

Storage buffer

0.01M PBS, pH 7.4, 0.05% Sodium Azide.

Stability and Storage

Use a manual defrost freezer and avoid repeated freeze-thaw cycles. Store at 4°C short term (1-2 weeks). Store at -20°C 12 months. Store at -80°C long term.

Clone ID

R3F51

Data Image
  • Flow Cytometry
    Fow cytometric analysis of HepG2 cells using CD33 mouse mAb(qreen)and negative control (purple).
  • Immunohistochemical
    Immunohistochemical analysis of parafin-embedded esophagea cancer tssues using CD33 mouse mAb with DAB staining.
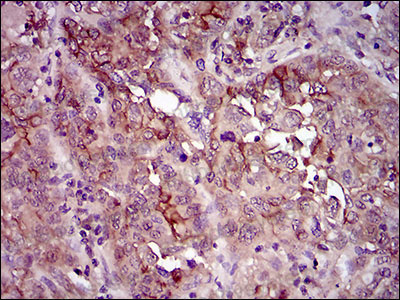
  • Immunohistochemical
    Immunohistochemical analysis of parafhn-embedded enaometrium tissues using CD33 mouse mAb with DAB staining.
  • Western blot
    Westemn blot analysis usingCDs3 mouse mAb against THP-1 (1call lysate.
References

Anti-CD33 antibody enhances liposomal co-delivery of cytarabine and daunorubicin for targeted combination chemotherapy., PMID:40449802

Monoclonal Antibodies Against Myeloid Leukemia Cells: Current Knowledge and Future Directions., PMID:40429716

Multiplex base editing to protect from CD33 directed drugs for immune and gene therapy., PMID:40425554

KK2845, a PBD dimer-containing antibody-drug conjugate targeting TIM-3-expressing AML., PMID:40404985

Multiplex immunophenotyping of human acute myeloid leukemia patients revealed single -cell heterogeneity with special attention on therapy sensitive and therapy resistant subpopulations., PMID:40313947

Generation of a Severe Hemophilia A Humanized Mouse Model Capable of Inducing an Anti-FVIII Immune Response., PMID:40300593

CD33-D2 isoform characterization for advancement of its therapeutic potential., PMID:40272002

Investigating the clinical significance of immune and thyroid biomarkers in women with breast cancer and Hashimoto's thyroiditis., PMID:40222067

B-ALL with CD34 Negative and Surface Immunoglobulin Light Chain Restricted Expression., PMID:40209787

Aptamer- vs Fab-Conjugated Liposomes: A Comparative Study in Targeting Acute Myeloid Leukemia Cells., PMID:40148126

Discovery and preclinical development of a SdAb-based CAR-T technology for targeting CD33 in AML., PMID:40084273

A review of antibody-based immunotherapy clinical trials for adult acute myeloid leukemia (AML): monoclonal antibodies (mAbs) and beyond., PMID:40069930

Comparison of radiobiological effects induced by radiolabeled antibodies in human cancer cells and fungal cells., PMID:40009794

STING activation improves T-cell-engaging immunotherapy for acute myeloid leukemia., PMID:40009483

Phase 1 study of lintuzumab-Ac225 combined with CLAG-M salvage therapy in relapsed/refractory acute myeloid leukemia., PMID:39955432

BNT162b2 mRNA vaccination affects the gut microbiome composition of patients with follicular lymphoma and chronic lymphocytic leukemia., PMID:39930533

Protection of CD33-modified hematopoietic stem cell progeny from CD33-directed CAR T cells in rhesus macaques., PMID:39928955

Revolutionizing acute myeloid leukemia treatment: a systematic review of immune-based therapies., PMID:39864030

In Vitro and In Vivo Comparison of Random versus Site-Specific Conjugation of Bifunctional Chelating Agents to the CD33-Binding Antibody for Use in Alpha- and Beta-Radioimmunotherapy., PMID:39713652

Acute myeloid leukemia management and research in 2025., PMID:39656142

Evaluation of Gemtuzumab Ozogamicin and Anthracycline Dosing for Favorable Risk Acute Myeloid Leukemia., PMID:39601208

CD70 CAR T cells secreting an anti-CD33/anti-CD3 dual-targeting antibody overcome antigen heterogeneity in AML., PMID:39571145

CD163+ Tumor-Associated Macrophage Recruitment Predicts Papillary Thyroid Cancer Recurrence., PMID:39426065

Current status and research directions in acute myeloid leukemia., PMID:39300079

Development of CD33-Targeted Dual Drug-Loaded Nanoparticles for the Treatment of Pediatric Acute Myeloid Leukemia., PMID:39235263

Targeting the membrane-proximal C2-set domain of CD33 for improved CAR T cell therapy., PMID:39224504

[Antibody-Drug Conjugate for Treating Leukemia and Lymphoma-The Present Status, Problems, and Future Development]., PMID:39191681

Real-world outcomes of intensive induction approaches in core binding factor acute myeloid leukemia., PMID:39157611

Tracking neuroinflammatory biomarkers in Alzheimer's disease: a strategy for individualized therapeutic approaches?, PMID:39080712

Gemtuzumab Ozogamicin and Stem Cell Mobilization for Autologous Stem Cell Transplantation in Favorable Risk Acute Myeloid Leukemia., PMID:39062189

A dual-targeting approach with anti-IL10R CAR-T cells engineered to release anti-CD33 bispecific antibody in enhancing killing effect on acute myeloid leukemia cells., PMID:39008193

89Zr-immunoPET-guided selection of a CD33xIL15 fusion protein optimized for antitumor immune cell activation and in vivo tumour retention in acute myeloid leukaemia., PMID:38987489

High-dose cytarabine plus gemtuzumab ozogamicin as consolidation therapy in patients with favorable- or intermediate-risk acute myeloid leukemia., PMID:38963637

Human plasma cells engineered to secrete bispecifics drive effective in vivo leukemia killing., PMID:38959896

Clinicopathological differences between T-lymphoblastic leukemia/lymphoma, early T-precursor lymphoblastic leukemia/lymphoma, and mixed-phenotype acute leukemia with T lineage: An analysis of 41 adult cases., PMID:38945375

CRISPR/Cas9 gene editing clarifies the role of CD33 SNP rs12459419 in gemtuzumab ozogamicin-mediated cytotoxicity., PMID:38853211

Azacitidine and gemtuzumab ozogamicin as post-transplant maintenance therapy for high-risk hematologic malignancies., PMID:38783125

Valrubicin-loaded immunoliposomes for specific vesicle-mediated cell death in the treatment of hematological cancers., PMID:38734740

Frequency and Aberrant CD Marker Profile of Acute Leukaemias., PMID:38720213

Safety and tolerability of AMG 330 in adults with relapsed/refractory AML: a phase 1a dose-escalation study., PMID:38712673

Control of acute myeloid leukemia and generation of immune memory in vivo using AMV564, a bivalent bispecific CD33 x CD3 T cell engager., PMID:38696390

Targeting SIGLEC15 as an emerging immunotherapy for anaplastic thyroid cancer., PMID:38652971

Heterodimerization of T cell engaging bispecific antibodies to enhance specificity against pancreatic ductal adenocarcinoma., PMID:38650005

Therapeutic plasma exchange as an intervention for gemtuzumab ozogamicin impaired hemoglobin scavenging: A case and systematic review., PMID:38647036

Targeting inhibitory Siglec-3 to suppress IgE-mediated human basophil degranulation., PMID:38593870

Targeting CD33+ Acute Myeloid Leukemia with GLK-33, a Lintuzumab-Auristatin Conjugate with a Wide Therapeutic Window., PMID:38561023

Durable Responses With Mosunetuzumab in Relapsed/Refractory Indolent and Aggressive B-Cell Non-Hodgkin Lymphomas: Extended Follow-Up of a Phase I/II Study., PMID:38547425

Therapeutic potential to target sialylation and SIGLECs in neurodegenerative and psychiatric diseases., PMID:38529039

First-in-human study of JNJ-67571244, a CD33 × CD3 bispecific antibody, in relapsed/refractory acute myeloid leukemia and myelodysplastic syndrome., PMID:38494922

Preclinical Characterization of the Anti-Leukemia Activity of the CD33/CD16a/NKG2D Immune-Modulating TriNKET® CC-96191., PMID:38473239

Datasheet

Document Download

Anti-CD33 Antibody (R3F51).pdf

 

$ 220
Product specifications
50 μg 220 100 μg 350

Contact Information

Order: order@antibodysystem.com

Mail: support@antibodysystem.com

Distributor list

For research use only. Not for human or drug use.

Need help with your order?

Find out more about placing an order here

Anti-CD33 Antibody (R3F51) [RHD37502]
Terms of sale Website terms of use Cookie policy Privacy
Copyright © 2025 AntibodySystem SAS. All Rights Reserved.            All Products are for Research Use Only