Please ensure Javascript is enabled for purposes of website accessibility
Home / Products / Antibody / Recombinant Antibody

Anti-CD44 Antibody (R3E22)

Catalog #:   RHD14802 Specific References (50) DATASHEET
Host species: Mouse
Isotype: IgG1
Applications: FCM, IF, IHC, WB
Accession: P16070
Overview

Catalog No.

RHD14802

Species reactivity

Human, Mouse, Rat, Monkey

Host species

Mouse

Isotype

IgG1

Clonality

Monoclonal

Tested applications

FCM: 1:200-1:400, IF: 1:200-1:1000, IHC: 1:200-1:1000, WB: 1:500-1:1000

Target

Hyaluronate receptor, MDU2, HUTCH-I, MDU3, Phagocytic glycoprotein I, CDw44, Epican, Phagocytic glycoprotein 1, ECMR-III, CD44, Hermes antigen, PGP-1, PGP-I, GP90 lymphocyte homing/adhesion receptor, LHR, CD44 antigen, MIC4, Extracellular matrix receptor III, Heparan sulfate proteoglycan

Concentration

1 mg/ml

Endotoxin level

Please contact with the lab for this information.

Purity

>95% as determined by SDS-PAGE.

Purification

Protein A/G purified from cell culture supernatant.

Accession

P16070

Applications

FCM, IF, IHC, WB

Form

Liquid

Storage buffer

0.01M PBS, pH 7.4, 0.05% Sodium Azide.

Stability and Storage

Use a manual defrost freezer and avoid repeated freeze-thaw cycles. Store at 4°C short term (1-2 weeks). Store at -20°C 12 months. Store at -80°C long term.

Clone ID

R3E22

Data Image
  • Flow Cytometry
    Flow cytometric analysis of Hela cells using CD44 mouse mAb (right) and negative control (left).
  • Immunofluorescence
    Confocal analysis of paraffin-embedded human lung cancer tissues using CD44 mouse mAb (green), showing membrane localization. Blue: DRAQ5 fluorescent DNA dye.
  • Immunofluorescence
    Confocal Immunofluorescence analysis of PANC-1 cells using CD44 mouse mAb (green). Red: Actin filaments have been labeled with DY-554 phalloidin. Blue: DRAQ5 fluorescent DNA dye.
  • Immunofluorescence
    Confocal Immunofluorescence analysis of methanol-fixed A431 (A), Hela (B), PANC-1 (C) and EC (D) cells using CD44 mouse mAb (green), showing membrane localization. Blue: DRAQ5 fluorescent DNA dye.
  • Immunofluorescence
    Immunofluorescence analysis of RSC-96 cells using CD44 mouse mAb (green). Blue: DRAQ5 fluorescent DNA dye. Red: Actin filaments have been labeled with Alexa Fluor- 555 phalloidin.
  • Immunofluorescence
    Immunofluorescence analysis of RSC-96 cells using CD44 mouse mAb (green). Blue: DRAQ5 fluorescent DNA dye. Red: Actin filaments have been labeled with Alexa Fluor- 555 phalloidin.
  • Immunohistochemical
    Immunohistochemical analysis of paraffin-embedded human breast carcinoma tissues, showing membrane localization with DAB staining using CD44 mouse mAb.
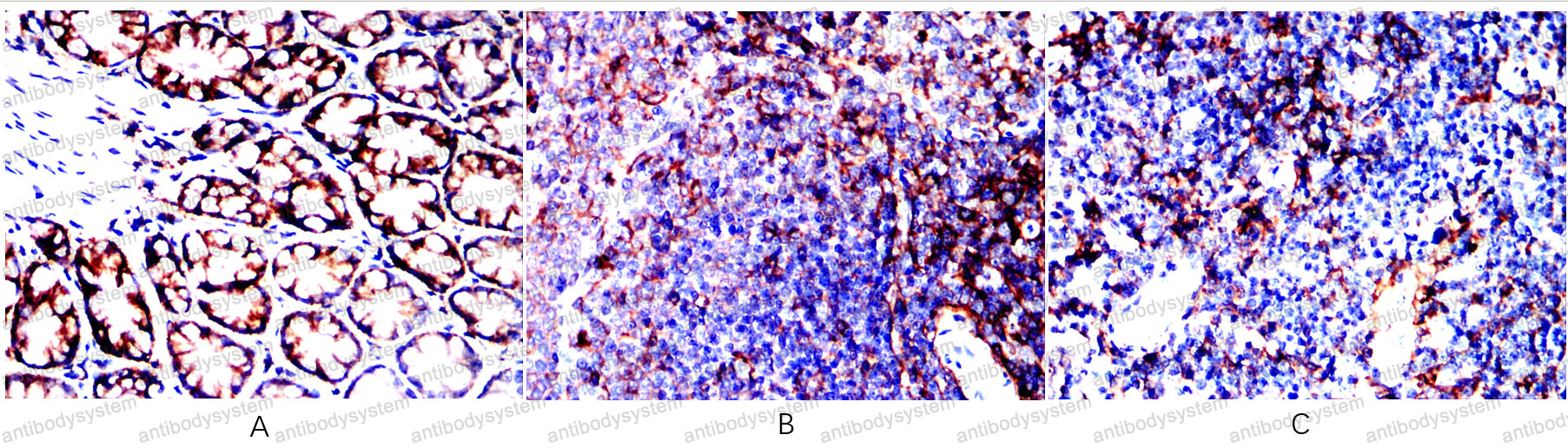
  • Immunohistochemical
    Immunohistochemical analysis of paraffin-embedded Rat colon(A) Rat spleen(B) Rat thymus(C) using CD44 mouse mAb with DAB staining.
  • Western blot
    Western blot analysis using CD44 mouse mAb against Hela (1) and HUVE-12(2) cell lysate.
  • Western blot
    Western blot analysis using CD44 mouse mAb against COS7(1),C6(2) cell lysate.
References

Preparation and antitumor of hyaluronic acid-human serum albumin-indocyanine green-paclitaxel nanoparticles., PMID:40513730

Anti-Tumor Activities of Anti-Siglec-15 Chimeric Heavy-Chain Antibodies., PMID:40507880

Effect of DNA methylation on inhibitor development in people with hemophilia A treated with FVIII concentrates., PMID:40502981

In vivo labeling reveals that degranulation is increased under supraphysiological TCR stimulation, but not infection, in CD8+ T cells from old mice., PMID:40478430

Sialylated IgG expressed in triple-negative breast cancer cells promotes cancer progression by promoting glycolysis., PMID:40457370

Co-expression of Stem Cell Markers CD133 and CD44 as Predictors of Metastatic Potential of Colorectal Carcinoma., PMID:40452184

Ovalbumin-specific regulatory T cells differentiated from the naïve phenotype (CD44loCD62Lhi) in mesenteric lymph nodes stably suppress enteropathy even in severe food-allergic mice., PMID:40446078

MIF regulates T helper 17 cell differentiation by activating the p38 MAPK signaling pathway to drive the pathogenesis of EAP., PMID:40440956

Transcutaneous Imiquimod Combined With Anti-Programmed Cell Death-1 Monoclonal Antibody Extends the Survival of Mice Bearing Renal Cell Carcinoma., PMID:40371846

Unveiling the role of oxidative stress in ANCA-associated glomerulonephritis through integrated machine learning and bioinformatics analyses., PMID:40369957

CD44 Variant Expression in Follicular Cell-Derived Thyroid Cancers: Implications for Overcoming Multidrug Resistance., PMID:40363706

Extracellular Vesicle Marker Changes Associated With Disease Activity in Relapsing-Remitting Multiple Sclerosis., PMID:40300121

Ephrin-B1 regulates cell surface residency of heparan sulfate proteoglycans (HSPGs) and complexes with the HSPG CD44V3-10 and fibroblast growth factor receptors., PMID:40294072

Development of GSH-Stimuli-Responsive Micelles Using a Targeted Paclitaxel Prodrug for Enhanced Anticancer Effect., PMID:40284532

Osteopontin in Chronic Inflammatory Diseases: Mechanisms, Biomarker Potential, and Therapeutic Strategies., PMID:40282293

Morphological characteristics, extracellular vesicle structure and stem-like specificity of human follicular fluid cell subpopulation during osteodifferentiation., PMID:40253818

Affinity maturation and optimization of CD44v6-targeting antibodies for molecular radiotherapy., PMID:40253776

Malignant mesothelioma-associated inflammatory microenvironment promotes tumor progression via GPNMB., PMID:40251684

Size-dependent aggregation of erythrocytes by low molecular weight hyaluronic acids of different sizes: bioactivity and quality control potential., PMID:40236823

Investigating the clinical significance of immune and thyroid biomarkers in women with breast cancer and Hashimoto's thyroiditis., PMID:40222067

CD44 identified as a diagnostic biomarker for highly malignant CA19-9 negative pancreatic cancer., PMID:40216152

Acetyl-lysine human serum albumin nanoparticles activate CD44 receptors, with preferential uptake by cancer stem cells, leading to tumor eradication., PMID:40139395

Immunohistochemical insights into the pathogenesis of colonic sessile serrated lesions., PMID:40135194

Lmx1a is essential for marginal cell differentiation and stria vascularis formation., PMID:40109362

Osteopontin inhibits autophagy via CD44 and avβ3 integrin and promotes cell proliferation in osteoarthritic fibroblast-like synoviocytes., PMID:40102843

CD44-targeted nanoparticles for remodeling the tumor microenvironment in a 3D macrophage-embedded ovarian cancer model with stem cell-like features., PMID:40101874

Targeting HER2-Positive Solid Tumors with CAR NK Cells: CD44 Expression Is a Critical Modulator of HER2-Specific CAR NK Cell Efficacy., PMID:40075578

Combination therapy with expanded natural killer cells and atezolizumab exerts potent antitumor immunity in small cell lung cancer., PMID:40056167

Frizzled-7-targeting antibody-derived bifunctional protein retargets NK cells against triple-negative breast cancer cells via MICA-NKG2D axis., PMID:40021214

RBM10 loss promotes metastases by aberrant splicing of cytoskeletal and extracellular matrix mRNAs., PMID:39992626

Omics data integration analysis identified new biological insights into chronic antibody-mediated rejection (CAMR)., PMID:39979925

Dual-Nuclide Biodistribution and Therapeutic Evaluation of a Novel Antibody-Based Radiopharmaceutical in Anaplastic Thyroid Cancer Xenografts., PMID:39976160

Synthesis of iron oxide nanocrystals functionalized with hyaluronic acid and 131I-cetuximab for targeted combined (radio-photothermal) treatment of HepG2 cells., PMID:39971046

Metastatic tumor growth in steatotic liver is promoted by HAS2-mediated fibrotic tumor microenvironment., PMID:39946200

Controversies Surrounding IGF-I Receptor Involvement in Thyroid-Associated Ophthalmopathy., PMID:39909461

3-Indoleacetic Acid-Modified Chondroitin Sulfate-Mediated Paclitaxel Nanocrystal Assembly for the Treatment of Pancreatic Cancer., PMID:39901810

Multiplex single-cell profiling of putative cancer stem cell markers ALDH1, SOX9, SOX2, CD44, CD133 and CD15 in endometrial cancer., PMID:39888143

Facile preparation of iridium-based AIE polymer dots for sensitive electrochemiluminescence immunoassay of CD44 protein., PMID:39880495

Flexible deformation and special interface structure in nanoparticle-stabilized Pickering bubbles strengthen the immunological response as adjuvant., PMID:39851034

Enhancing the efficacy of near-infrared photoimmunotherapy through intratumoural delivery of CD44-targeting antibody-photoabsorber conjugates., PMID:39848206

Targeting CD44 and EpCAM with Antibody Dye Conjugates for the Photoimmunotherapy of Prostate Cancer., PMID:39846613

M2 macrophages regulate nucleus pulposus cell extracellular matrix synthesis through the OPN-CD44 axis in intervertebral disc degeneration., PMID:39842659

CD44 in myeloid cells is a major driver of liver inflammation and injury in alcohol-associated liver disease., PMID:39808819

A Novel In Vitro Model of the Bone Marrow Microenvironment in Acute Myeloid Leukemia Identifies CD44 and Focal Adhesion Kinase as Therapeutic Targets to Reverse Cell Adhesion-Mediated Drug Resistance., PMID:39796762

CD44v, S1PR1, HER3, MET and cancer-associated amino acid transporters are promising targets for the pancreatic cancers characterized using mAb., PMID:39757718

A method for screening functional anti-Treg antibodies using a Treg-like cell line., PMID:39739859

Manganese nanosheets loaded with selenium and gemcitabine activate the tumor microenvironment to enhance anti-tumor immunity., PMID:39637652

Holstein × Montbéliarde-sired F1 generation crossbred female calves have an increased cellular immune response potential compared with purebred Holsteins., PMID:39625805

An antibody against human interleukin-2 showing minimal binding to neonatal Fc receptor: Potent anti-tumor activity and reduced systemic toxicity in mice., PMID:39615864

The therapeutic efficacy of adipose mesenchymal stem cell-derived microvesicles versus infliximab in a dextran sodium sulfate induced ulcerative colitis rat model., PMID:39545690

Datasheet

Document Download

Anti-CD44 Antibody (R3E22).pdf

 

$ 220
Product specifications
50 μg 220 100 μg 350

Contact Information

Order: order@antibodysystem.com

Mail: support@antibodysystem.com

Distributor list

For research use only. Not for human or drug use.

Need help with your order?

Find out more about placing an order here

Anti-CD44 Antibody (R3E22) [RHD14802]
Terms of sale Website terms of use Cookie policy Privacy
Copyright © 2025 AntibodySystem SAS. All Rights Reserved.            All Products are for Research Use Only