Please ensure Javascript is enabled for purposes of website accessibility
Home / Products / Antibody / Recombinant Antibody

Anti-KRT10 Antibody (R3D25)

Catalog #:   RHC99302 Specific References (42) DATASHEET
Host species: Mouse
Isotype: IgG1
Applications: ELISA, FCM, IHC, WB
Accession: P13645
Overview

Catalog No.

RHC99302

Species reactivity

Human, Mouse, Rat, Monkey

Host species

Mouse

Isotype

IgG1

Clonality

Monoclonal

Tested applications

ELISA: 1:10000, FCM: 1:200-1:400, IHC: 1:200-1:1000, WB: 1:500-1:2000

Target

Keratin, type I cytoskeletal 10, Keratin-10, KPP, CK-10, Cytokeratin-10, KRT10, K10

Concentration

1 mg/ml

Endotoxin level

Please contact with the lab for this information.

Purity

>95% as determined by SDS-PAGE.

Purification

Protein A/G purified from cell culture supernatant.

Accession

P13645

Applications

ELISA, FCM, IHC, WB

Form

Liquid

Storage buffer

0.01M PBS, pH 7.4, 0.05% Sodium Azide.

Stability and Storage

Use a manual defrost freezer and avoid repeated freeze-thaw cycles. Store at 4°C short term (1-2 weeks). Store at -20°C 12 months. Store at -80°C long term.

Clone ID

R3D25

Data Image
  • Flow Cytometry
    Flow cytometric analysis of Hela cells using KRT10 mouse mAb (green) and negative control (red).
  • Immunohistochemical
    Immunohistochemical analysis of paraffin-embedded human breast cancer tissues using KRT10 mouse mAb with DAB staining.
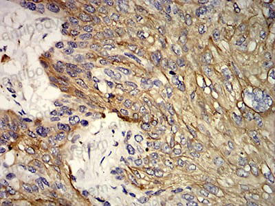
  • Immunohistochemical
    Immunohistochemical analysis of paraffin-embedded human esophageal cancer tissues using KRT10 mouse mAb with DAB staining.
  • Western blot
    Western blot analysis using KRT10 mouse mAb against A431 (1), C6 (2), COS7 (3), Jurkat (4), NIH/3T3 (5), and HEK293 (6) cell lysate.
References

Mesenchymal stem cells from perinatal tissues promote diabetic wound healing via PI3K/AKT activation., PMID:39923118

Bilayered skin equivalent mimicking psoriasis as predictive tool for preclinical treatment studies., PMID:39558145

Differentially Represented Proteins in Response to Infection with Mycobacterium tuberculosis Identified by Quantitative Serum Proteomics in Asian Elephants., PMID:36145440

Gene expression profiling of laminin α3-blocked keratinocytes reveals an immune-independent mechanism of blistering., PMID:34796550

Post Zygotic, Somatic, Deletion in KERATIN 1 V1 Domain Generates Structural Alteration of the K1/K10 Dimer, Producing a Monolateral Palmar Epidermolytic Nevus., PMID:34199056

House Dust Mite Specific Antibodies induce Neutrophilic Inflammation in the Heart., PMID:32754279

Arginine- but not alanine-rich carboxy-termini trigger nuclear translocation of mutant keratin 10 in ichthyosis with confetti., PMID:31638346

Type XVIII Collagen Modulates Keratohyalin Granule Formation and Keratinization in Oral Mucosa., PMID:31554264

Mesenchymal stem cells differentiate into keratinocytes and express epidermal kallikreins: Towards an in vitro model of human epidermis., PMID:30891818

Searching for serum protein markers of equine squamous gastric disease using gel electrophoresis and mass spectrometry., PMID:30636330

Immunohistochemical expression analysis of the human fetal lower urogenital tract., PMID:30287094

Anthralin modulates the expression pattern of cytokeratins and antimicrobial peptides by psoriatic keratinocytes., PMID:28673488

Clonal Seborrheic Keratosis Versus Pagetoid Bowen Disease: Histopathology and Role of Adjunctive Markers., PMID:28475506

Dataset on gene expression profiling of multiple murine hair follicle populations., PMID:27672671

A unique lineage gives rise to the meibomian gland., PMID:26957900

APR-246/PRIMA-1Met Inhibits and Reverses Squamous Metaplasia in Human Conjunctival Epithelium., PMID:26868746

Early immunopathological diagnosis of ichthyosis with confetti in two sporadic cases with new mutations in keratin 10., PMID:24626314

Staphylococcus aureus inhibits terminal differentiation of normal human keratinocytes by stimulating interleukin-6 secretion., PMID:24398033

Detection of host-specific immunogenic proteins in the saliva of patients with oral squamous cell carcinoma., PMID:24295181

Extensive postzygotic mosaicism for a novel keratin 10 mutation in epidermolytic ichthyosis., PMID:24096702

Molecular mimicry between HSP 65 of Mycobacterium leprae and cytokeratin 10 of the host keratin; role in pathogenesis of leprosy., PMID:23121977

Tricholemmoma and clear cell squamous cell carcinoma (associated with Bowen's disease): immunohistochemical profile in comparison to normal hair follicles., PMID:22452951

Disturbed keratin expression and distinct genotype of ichthyosis hystrix Lambert type., PMID:20605767

Cytokeratins 16 and 10 bind to retinoic acid covalently in skin tissue of mice., PMID:19922530

T-lymphocyte-induced, Fas-mediated apoptosis is associated with early keratinocyte differentiation., PMID:19645855

Autoantibodies from synovial lesions in chronic, antibiotic treatment-resistant Lyme arthritis bind cytokeratin-10., PMID:16888010

A human keratin 10 knockout causes recessive epidermolytic hyperkeratosis., PMID:16505000

Early epidermal response after a single dose of gamma-rays in organotypic culture of human breast skin., PMID:16225595

Role of breast tumour kinase in the in vitro differentiation of HaCaT cells., PMID:16086737

Expression of hair keratins in the adult nail unit: an immunohistochemical analysis of the onychogenesis in the proximal nail fold, matrix and nail bed., PMID:15327543

Inhibition of basement membrane formation by a nidogen-binding laminin gamma1-chain fragment in human skin-organotypic cocultures., PMID:15159456

Cell surface oligonucleotide-binding proteins of human squamous carcinoma A431 cells., PMID:14565503

Expression of apoptosis- and cell cycle-related proteins in epidermis of venous leg and diabetic foot ulcers., PMID:12947320

Dedifferentiation of odontogenic keratocyst epithelium after cyst decompression., PMID:12796876

Immunohistochemical study of the orthokeratinized odontogenic cyst: a comparison with the odontogenic keratocyst., PMID:12464899

Staphylococcus aureus clumping factor B (ClfB) promotes adherence to human type I cytokeratin 10: implications for nasal colonization., PMID:12427098

Novel functional multiparameter flow cytometric assay to characterize proliferation in skin., PMID:10679742

Keratin 10 gene expression during differentiation of mouse epidermis requires transcription factors C/EBP and AP-2., PMID:10588870

The spatial relationship between stem cells and their progeny in the basal layer of human epidermis: a new view based on whole-mount labelling and lineage analysis., PMID:10226000

Homozygous nonsense mutation in helix 2 of K14 causes severe recessive epidermolysis bullosa simplex., PMID:9554744

Out of balance: consequences of a partial keratin 10 knockout., PMID:9378767

Keratin expression reveals mosaic differentiation in vaginal epithelium., PMID:7505531

Datasheet

Document Download

Anti-KRT10 Antibody (R3D25).pdf

 

$ 220
Product specifications
50 μg 220 100 μg 350

Contact Information

Order: order@antibodysystem.com

Mail: support@antibodysystem.com

Distributor list

For research use only. Not for human or drug use.

Need help with your order?

Find out more about placing an order here

Anti-KRT10 Antibody (R3D25) [RHC99302]
Terms of sale Website terms of use Cookie policy Privacy
Copyright © 2025 AntibodySystem SAS. All Rights Reserved.            All Products are for Research Use Only