Please ensure Javascript is enabled for purposes of website accessibility
Home / Products / Antibody / Recombinant Antibody

Anti-CD11b/ITGAM Antibody (R3C48)

Catalog #:   RHC86604 Specific References (50) DATASHEET
Host species: Mouse
Isotype: IgG1
Applications: ELISA, FCM, IHC
Accession: P11215
Overview

Catalog No.

RHC86604

Species reactivity

Human

Host species

Mouse

Isotype

IgG1

Clonality

Monoclonal

Tested applications

ELISA: 1:10000, FCM: 1:200-1:400, IHC: 1:200-1:1000

Target

CR-3 alpha chain, Cell surface glycoprotein MAC-1 subunit alpha, Leukocyte adhesion receptor MO1, ITGAM, CD11b, CD11 antigen-like family member B, Integrin alpha-M, CR3A, CD11B, Neutrophil adherence receptor

Concentration

1 mg/ml

Endotoxin level

Please contact with the lab for this information.

Purity

>95% as determined by SDS-PAGE.

Purification

Protein A/G purified from cell culture supernatant.

Accession

P11215

Applications

ELISA, FCM, IHC

Form

Liquid

Storage buffer

0.01M PBS, pH 7.4, 0.05% Sodium Azide.

Stability and Storage

Use a manual defrost freezer and avoid repeated freeze-thaw cycles. Store at 4°C short term (1-2 weeks). Store at -20°C 12 months. Store at -80°C long term.

Clone ID

R3C48

Data Image
  • Flow Cytometry
    Flow cytometric analysis of HL-60 cells using ITGAM mouse mAb (green) and negative control (red).
  • Immunohistochemical
    Immunohistochemical analysis of paraffin-embedded human colon cancer tissues using ITGAM mouse mAb with DAB staining.
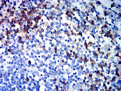
  • Immunohistochemical
    Immunohistochemical analysis of paraffin-embedded human spleen tissues using ITGAM mouse mAb with DAB staining.
References

CD11b as a diagnostic biomarker of rheumatoid arthritis and as a risk factor of periodontitis: a pilot study., PMID:40512337

Increased Fascin1 and Pak1 Expressions Enhance Age-Associated B-Cell Actin Cytoskeleton Remodeling and Motility., PMID:40500987

Trem2 regulates microglial migratory responses via type I interferon signaling during photoreceptor degeneration., PMID:40468324

Developing and Characterizing the Tumor-Targeting Efficiency of an Anti-EphA2-CD11b Bispecific Antibody., PMID:40434019

Glycosylation-driven programs coordinate immunoregulatory and pro-angiogenic functions of myeloid-derived suppressor cells., PMID:40381622

Inflammatory Cutaneous Reactions with Systemic CD8+ T-Cell Responses upon Photochemical Internalization of Antigens in Mice., PMID:40348329

Dendritic cell expression of MyD88 is required for rotavirus-induced B cell activation., PMID:40304491

The synergistic antitumor effect of Karanahan technology and in situ vaccination using anti-OX40 antibodies., PMID:40296901

C3-Liposome Delivery of MUC1 Peptide and TLR Agonists Enhances Adaptive Immunity and Results in Sex-Based Tumor Growth Differences., PMID:40284463

AHR Agonist ITE Boosted PD1 Antibody's Effects by Inhibiting Myeloid-Derived Cells Suppressive Cells in an Orthotopic Mouse Glioma Model., PMID:40283908

Lung disease in relation to unique monocyte-macrophage subpopulations induced by combined inhalant endotoxin and collagen-induced arthritis., PMID:40270956

Intravital imaging of peritubular microcirculation impairment in cisplatin-induced acute kidney injury., PMID:40198123

Generation and characterization of 7DC-DM1: a non-cleavable CD47-targeting antibody-drug conjugates with antitumor effects., PMID:40187444

IL13RA2-integrated genetically engineered mouse model allows for CAR T cells targeting pediatric high-grade gliomas., PMID:40176156

Oligodendroglial precursor cells modulate immune response and early demyelination in a murine model of multiple sclerosis., PMID:40173259

IL-6 underlies microenvironment immunosuppression and resistance to therapy in glioblastoma., PMID:40161763

High dose acetaminophen re-polarizes CD11b+ cells in the tumor microenvironment towards an activated macrophage phenotype., PMID:40158231

Immune suppressive activities of low-density neutrophils in sepsis and potential use as a novel biomarker of sepsis-induced immune suppression., PMID:40108283

IL-4 mediated TAP2 downregulation is a dominant and reversible mechanism of immune evasion and immunotherapy resistance in non-small cell lung cancer., PMID:40091029

Comparison of human macrophages derived from peripheral blood and bone marrow., PMID:40073092

Differential Immune Cell Infiltration in Eosinophilic and Non-Eosinophilic CRS: Correlations With Clinical, Endoscopic, and Radiological Findings., PMID:40067202

IL-1R1 Blockade Boosts CD40 Agonist Immune Responses but Fails to Improve Efficacy or Reduce Hepatotoxicity in Pancreatic Cancer., PMID:40060615

Inactivating the Innate Immune Receptor CD11b With a First-in-Class Monoclonal Antibody Prolongs the Survival of Kidney Allografts in Nonhuman Primates., PMID:40059096

Three-dimensional tissue culture supports the structure and function of equine synovial explants over 4 days., PMID:40043680

High-dose radiation preferentially induces the clonal expansion of hematopoietic progenitor cells over mature T and B cells in mouse bone marrow., PMID:40020684

KLF2 expression in IgG plasma cells at their induction site regulates the migration program., PMID:39976598

Human hypofunctional NCF1 variants promote pulmonary fibrosis in the bleomycin-induced mouse model and patients with systemic sclerosis via expansion of SPP1+ monocytes-derived macrophages., PMID:39919902

Rebalancing Immune Interactions within the Brain-Spleen Axis Mitigates Neuroinflammation in an Aging Mouse Model of Alzheimer's Disease., PMID:39918606

Nanoparticles containing intracellular proteins modulate neutrophil functional and phenotypic heterogeneity., PMID:39911575

Dual in vivo T cell depleted haploidentical hematopoietic stem cell transplantation with post-transplant cyclophosphamide and anti-thymocyte globulin as a third salvage transplant for leukocyte adhesion deficiency with graft failure: a case report., PMID:39845947

CD44 in myeloid cells is a major driver of liver inflammation and injury in alcohol-associated liver disease., PMID:39808819

Immune complexes-mediated activation of neutrophils in systemic lupus erythematosus is dependent on RNA recognition by toll-like receptor 8., PMID:39776899

Characterization of Dendritic Cells and Myeloid-Derived Suppressor Cells Expressing Major Histocompatibility Complex Class II in Secondary Lymphoid Organs in Systemic Lupus Erythematosus-Prone Mice., PMID:39769367

Immunotherapeutic targeting of aging-associated isoDGR motif in chronic lung inflammation., PMID:39757428

Function and Regulation of Age-Associated B Cells in Diseases., PMID:39749652

IL13RA2-integrated genetically engineered mouse model allows for CAR T cells targeting pediatric high-grade gliomas., PMID:39711568

Characterization of anti-asialo-GM1 monoclonal antibody., PMID:39693935

Kir6.1, a component of an ATP-sensitive potassium channel, regulates natural killer cell development., PMID:39687626

Neutrophils in the Spotlight-An Analysis of Neutrophil Function and Phenotype in ARDS., PMID:39684262

Differential neutrophil responses in murine following intraperitoneal injections of Escherichia coli and Staphylococcus aureus., PMID:39641065

CD11b deficiency attenuates the ischemia/reperfusion-induced AKI-to-CKD process by regulating macrophage polarization., PMID:39612192

Molecular Mechanisms of Curdlan-Induced Suppression of NFATc1 Expression in Osteoclasts., PMID:39606840

5-Fluorouracil Effectively Depletes Tumor Induced Myeloid Derived Suppressor Cells in 4T1 Mammary Carcinoma Model., PMID:39606677

Mechanisms of Mt.b Ag85B-Fc fusion protein against allergic asthma in mice by intranasal immunization., PMID:39549815

Tanshinone I inhibits the functions of T lymphocytes and exerts therapeutic effects on delayed-type hypersensitivity reaction via blocking STATs signaling pathways., PMID:39536856

A protocol for immunostaining of macrophages in whole-mount mouse cornea, conjunctiva, and lacrimal gland., PMID:39514390

Benzo (A) pyrene exposure alters alveolar epithelial and macrophage cells diversity and induces antioxidant responses in lungs., PMID:39506978

Antigen-specific modulation of chronic experimental autoimmune encephalomyelitis in humanized mice by TCR-like antibody targeting autoreactive T-cell epitope., PMID:39496501

Modified Hemocyanins from Rapana thomasiana and Helix aspersa Exhibit Strong Antitumor Activity in the B16F10 Mouse Melanoma Model., PMID:39452870

Evaluation of the Anti-Inflammatory/Immunomodulatory Effect of Teucrium montanum L. Extract in Collagen-Induced Arthritis in Rats., PMID:39452128

Datasheet
$ 220
Product specifications
50 μg 220 100 μg 350

Contact Information

Order: order@antibodysystem.com

Mail: support@antibodysystem.com

Distributor list

For research use only. Not for human or drug use.

Need help with your order?

Find out more about placing an order here

Anti-CD11b/ITGAM Antibody (R3C48) [RHC86604]
Terms of sale Website terms of use Cookie policy Privacy
Copyright © 2025 AntibodySystem SAS. All Rights Reserved.            All Products are for Research Use Only