Please ensure Javascript is enabled for purposes of website accessibility
Home / Products / Antibody / Recombinant Antibody

Anti-HSPD1/HSP60 Antibody (R3C33)

Catalog #:   RHC83703 Specific References (50) DATASHEET
Host species: Mouse
Isotype: IgG1
Applications: ELISA, FCM, IF, IHC, WB
Accession: P10809
Overview

Catalog No.

RHC83703

Species reactivity

Human, Mouse, Rat, Monkey

Host species

Mouse

Isotype

IgG1

Clonality

Monoclonal

Tested applications

ELISA: 1:10000, FCM: 1:200-1:400, IF: 1:200-1:1000, IHC: 1:200-1:1000, WB: 1:500-1:2000

Target

60 kDa heat shock protein, mitochondrial, HSP-60, HuCHA60, Chaperonin 60, HSP60, Mitochondrial matrix protein P1, Hsp60, HSPD1, 60 kDa chaperonin, CPN60, P60 lymphocyte protein, Heat shock protein 60

Concentration

1 mg/ml

Endotoxin level

Please contact with the lab for this information.

Purity

>95% as determined by SDS-PAGE.

Purification

Protein A/G purified from cell culture supernatant.

Accession

P10809

Applications

ELISA, FCM, IF, IHC, WB

Form

Liquid

Storage buffer

0.01M PBS, pH 7.4, 0.05% Sodium Azide.

Stability and Storage

Use a manual defrost freezer and avoid repeated freeze-thaw cycles. Store at 4°C short term (1-2 weeks). Store at -20°C 12 months. Store at -80°C long term.

Clone ID

R3C33

Data Image
  • Flow Cytometry
    Flow cytometric analysis of Hela cells using HSP60 mouse mAb (green) and negative control (purple).
  • Immunofluorescence
    Immunofluorescence analysis of 3T3-L1 cells using HSP60 mouse mAb (green). Blue: DRAQ5 fluorescent DNA dye. Red: Actin filaments have been labeled with Alexa Fluor-555 phalloidin.
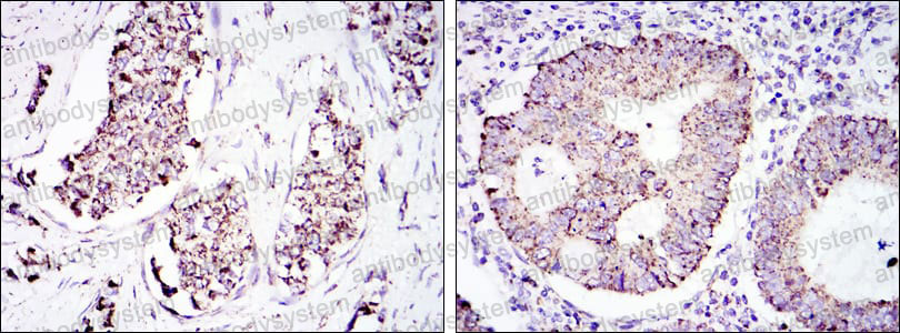
  • Immunohistochemical
    Immunohistochemical analysis of paraffin-embedded human lung cancer tissues (left) and kidney cancer tissues (right) using HSP60 mouse mAb with DAB staining.
  • Immunohistochemical
    Immunohistochemical analysis of paraffin-embedded human breast cancer tissues (left) and colon cancer tissues (right) using HSP60 mouse mAb with DAB staining.
  • Western blot
    Western blot analysis using HSP60 mouse mAb against T47D (1), Hela (2), HepG2 (3), A549 (4), Jurkat (5), HEK293 (6), NIH/3T3 (7), PC-12 (8) and Cos7 (9) cell lysate.
References

Integrative analysis of serum proteomics and transcriptomics in hepatitis C., PMID:40082995

The Spleen Modulates the Balance of Natural and Pathological Autoantibodies in a Mouse Model of Autoimmune Arthritis., PMID:39519235

The mechanism underlying B-cell developmental dysfunction in Kawasaki disease based on single-cell transcriptomic sequencing., PMID:39507528

Autoimmunity to stromal-derived autoantigens in rheumatoid ectopic germinal centers exacerbates arthritis and affects clinical response., PMID:38950333

Pathogenic Autoimmunity in Atherosclerosis Evolves from HSP60-Reactive CD4 + T Cells., PMID:38767798

Plasma cells in human pancreatic ductal adenocarcinoma secrete antibodies against self-antigens., PMID:37751306

Reactivity to neural tissue epitopes, aquaporin 4 and heat shock protein 60 is associated with activated immune-inflammatory pathways and the onset of delirium following hip fracture surgery., PMID:36520371

Comparative systeomics to elucidate physiological differences between CHO and SP2/0 cell lines., PMID:35228567

Are IgG antibodies to heat shock proteins HSP27 and HSP60 useful markers in endometrial cancer and cervical cancer?, PMID:33914318

Immunoproteomics approach revealed elevated autoantibody levels against ANXA1 in early stage gallbladder carcinoma., PMID:33261560

Overexpression of HSP10 correlates with HSP60 and Mcl-1 levels and predicts poor prognosis in non-small cell lung cancer patients., PMID:32986659

Intense immunostaining of heat shock protein 70 within renal interstitium associates with long-term renal survival in an ANCA-associated vasculitis cohort., PMID:32876904

Chlorogenic acid alleviates acetaminophen-induced liver injury in mice via regulating Nrf2-mediated HSP60-initiated liver inflammation., PMID:32603696

A Soluble Fiber Diet Increases Bacteroides fragilis Group Abundance and Immunoglobulin A Production in the Gut., PMID:32332136

Heat Shock Protein 60 (HSP60) Serves as a Potential Target for the Sensitization of Chemoresistant Ovarian Cancer Cells., PMID:32124395

Using recursive partitioning approach to select tumor-associated antigens in immunodiagnosis of gastric adenocarcinoma., PMID:30950146

Autoantibody Biomarker Discovery in Primary Open Angle Glaucoma Using Serological Proteome Analysis (SERPA)., PMID:30899261

Autoantibodies to a specific peptide epitope of human Hsp60 (ATVLA) with homology to Helicobacter pylori HspB in H. pylori-infected patients., PMID:30746790

CIGB-814, an altered peptide ligand derived from human heat-shock protein 60, decreases anti-cyclic citrullinated peptides antibodies in patients with rheumatoid arthritis., PMID:30415439

Concentration-dependent protein loading of extracellular vesicles released by Histoplasma capsulatum after antibody treatment and its modulatory action upon macrophages., PMID:29795301

Comparison of T Helper Cell Patterns in Primary Open-Angle Glaucoma and Normal-Pressure Glaucoma., PMID:29616680

Augmented oxidative stress in infertile women with persistent chlamydial infection., PMID:28336198

Evaluation of the relationship between salivary concentration of anti-heat shock protein immunoglobulin and clinical manifestations of Behçet's disease., PMID:28276957

Ebola virus infection induces autoimmunity against dsDNA and HSP60., PMID:28181533

Autoimmunity to HSP60 during diet induced obesity in mice., PMID:27899808

[Studies on immunogenicity and immunoprotection induced by heat shock protein 60 kDa of Schistosoma japonicum in mice]., PMID:27356404

[Role of heat shock proteins in the cardioprotection of regular moderate alcohol consumption]., PMID:26902796

Tolerogenic responses of CD206+, CD83+, FOXP3+, and CTLA-4 to sericin/polyvinyl alcohol/glycerin scaffolds relevant to IL-33 and HSP60 activity., PMID:26864661

[ANTI-Hsp60 ANTIBODIES IN ARTERIAL HYPERTENTION DIFERENT DEGREE OF SEVERITY]., PMID:26827438

Antibodies against small heat-shock proteins in Alzheimer's disease as a part of natural human immune repertoire or activation of humoral response?, PMID:26566902

[Validity of the Morawietz classification for evaluation of periprosthetic tissue]., PMID:26317183

Up-regulated TLR4 in cardiomyocytes exacerbates heart failure after long-term myocardial infarction., PMID:26290459

Anti-citrullinated protein antibodies promote apoptosis of mature human Saos-2 osteoblasts via cell-surface binding to citrullinated heat shock protein 60., PMID:26275591

Mycobacterial heat shock protein 65 (mbHSP65)-induced atherosclerosis: Preventive oral tolerization and definition of atheroprotective and atherogenic mbHSP65 peptides., PMID:26233917

Methylation of Gata3 protein at Arg-261 regulates transactivation of the Il5 gene in T helper 2 cells., PMID:25861992

[Antibodies to Hsp60 in newborn babies, to whom during the intervention for critical inborn heart failure, autologous cord blood was transfused, in early and late postoperative period]., PMID:25842882

TLR4 mutation and HSP60-induced cell death in adult mouse cardiac myocytes., PMID:25716072

Annexin A2 as a target endothelial cell membrane autoantigen in Behçet's disease., PMID:25641213

Influence of intimal Chlamydophila pneumoniae persistence on cardiovascular complications after coronary intervention., PMID:25344890

Expression and regulation of toll-like receptors (TLRs) in human intervertebral disc cells., PMID:24997157

Recurrent miscarriages, innate immunity, and autoimmune reaction to chlamydial 60-kDa heat shock protein--is there an association?, PMID:24680363

Evidence for a role of autoantibodies to heat shock protein 60, 70, and 90 in patients with dermatitis herpetiformis., PMID:24643797

Antibodies against Hsp60 and Hsp65 in the sera of women with ovarian cancer., PMID:24618330

Immunotherapy of tuberculosis with Mycobacterium leprae Hsp65 as a DNA vaccine triggers cross-reactive antibodies against mammalian Hsp60 but not pathological autoimmunity., PMID:24607935

Antibodies directed to the gram-negative bacterium Neisseria gonorrhoeae cross-react with the 60 kDa heat shock protein and lead to impaired neurite outgrowth in NTera2/D1 cells., PMID:24577885

Barberry treatment reduces serum anti-heat shock protein 27 and 60 antibody titres and high-sensitivity c-reactive protein in patients with metabolic syndrome: a double-blind, randomized placebo-controlled trial., PMID:24536039

Immune markers in oral discomfort patients before and after elimination of oral galvanism., PMID:24522020

The 60- and 70-kDa heat-shock proteins and their correlation with cardiovascular risk factors in postmenopausal women with metabolic syndrome., PMID:24327239

Elevated blood Hsp60, its structural similarities and cross-reactivity with thyroid molecules, and its presence on the plasma membrane of oncocytes point to the chaperonin as an immunopathogenic factor in Hashimoto's thyroiditis., PMID:24057177

IgG subclass antibodies to human and bacterial HSP60 are not associated with disease activity and progression over time in axial spondyloarthritis., PMID:23705835

Datasheet
$ 220
Product specifications
50 μg 220 100 μg 350

Contact Information

Order: order@antibodysystem.com

Mail: support@antibodysystem.com

Distributor list

For research use only. Not for human or drug use.

Need help with your order?

Find out more about placing an order here

Anti-HSPD1/HSP60 Antibody (R3C33) [RHC83703]
Terms of sale Website terms of use Cookie policy Privacy
Copyright © 2025 AntibodySystem SAS. All Rights Reserved.            All Products are for Research Use Only