Please ensure Javascript is enabled for purposes of website accessibility
Home / Products / Antibody / Recombinant Antibody

Anti-RB1 Antibody (R2Z63)

Catalog #:   RHC19909 Specific References (50) DATASHEET
Host species: Mouse
Isotype: IgG1
Applications: IHC
Accession: P06400
Overview

Catalog No.

RHC19909

Species reactivity

Human

Host species

Mouse

Isotype

IgG1

Clonality

Monoclonal

Tested applications

IHC: 1:200-1:1000

Target

pRb, p110-RB1, Retinoblastoma-associated protein, Rb, p105-Rb, RB1, pp110

Concentration

1 mg/ml

Endotoxin level

Please contact with the lab for this information.

Purity

>95% as determined by SDS-PAGE.

Purification

Protein A/G purified from cell culture supernatant.

Accession

P06400

Applications

IHC

Form

Liquid

Storage buffer

0.01M PBS, pH 7.4, 0.05% Sodium Azide.

Stability and Storage

Use a manual defrost freezer and avoid repeated freeze-thaw cycles. Store at 4°C short term (1-2 weeks). Store at -20°C 12 months. Store at -80°C long term.

Clone ID

R2Z63

Data Image
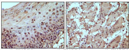
  • Immunohistochemical
    Immunohistochemical staining of paraffin-embedded human normal esophagus (A) and stomach (B) tissue, showing nucleus localization using Rb mouse mAb with DAB staining.
References

Exceptional Long-term Response to Immunotherapy in an African American Man With STK11/TP53/RB1-Mutated Metastatic Lung Adenocarcinoma., PMID:40448514

Infection with the Endonuclear Symbiotic Bacterium Holospora obtusa Reversibly Alters Surface Antigen Expression of the Host Paramecium caudatum., PMID:40431163

Current and future therapies for small cell lung carcinoma., PMID:40170056

Induction chemotherapy followed by camrelizumab plus apatinib and chemotherapy as first-line treatment for extensive-stage small-cell lung cancer: a multicenter, single-arm trial., PMID:39962074

Enigmatic intractable Epilepsy patients have antibodies that bind glutamate receptor peptides, kill neurons, damage the brain, and cause Generalized Tonic Clonic Seizures., PMID:39932550

Unusual Presentation of Advanced Urothelial Cancer in a Young Patient., PMID:39890191

Anti-Idiotypic Antibody as a Booster Vaccine Against Respiratory Syncytial Virus., PMID:39852814

The Impact of Genetic Mutations on the Efficacy of Immunotherapies in Lung Cancer., PMID:39596025

FGFR Inhibitors in Urothelial Cancer: From Scientific Rationale to Clinical Development., PMID:39536791

Comprehensive Genomic Assessment of Advanced-Stage GI Stromal Tumors Using the Japanese National Center for Cancer Genomics and Advanced Therapeutics Database., PMID:39447098

Adebrelimab plus chemotherapy and sequential thoracic radiotherapy as first-line therapy for extensive-stage small-cell lung cancer (ES-SCLC): a phase II trial., PMID:39252865

Emerging advances in defining the molecular and therapeutic landscape of small-cell lung cancer., PMID:38965396

PD-L1 and nectin-4 expression and genomic characterization of bladder cancer with divergent differentiation., PMID:38959291

A Modular Trial of Androgen Signaling Inhibitor Combinations Testing a Risk-Adapted Strategy in Patients with Metastatic Castration-Resistant Prostate Cancer., PMID:38683200

Therapeutic Advances and Challenges for the Management of HPV-Associated Oropharyngeal Cancer., PMID:38612819

Glioblastoma Therapy: Past, Present and Future., PMID:38473776

Pan-cancer Genomic Analysis of AXL Mutations Reveals a Novel, Recurrent, Functionally Activating AXL W451C Alteration Specific to Myxofibrosarcoma., PMID:38369783

Treatment-related Neuroendocrine Prostate Carcinoma-Diagnostic and Molecular Correlates., PMID:38223983

Targeting DNA methylation and B7-H3 in RB1-deficient and neuroendocrine prostate cancer., PMID:37967200

Ginsenoside Rb1 enhanced immunity and altered the gut microflora in mice immunized by H1N1 influenza vaccine., PMID:37868069

Survey of NF1 inactivation by surrogate immunohistochemistry in ovarian carcinomas., PMID:37820398

Gemcitabine and cisplatin plus nivolumab as organ-sparing treatment for muscle-invasive bladder cancer: a phase 2 trial., PMID:37783966

Tumor-derived biomarkers predict efficacy of B7H3 antibody-drug conjugate treatment in metastatic prostate cancer models., PMID:37725435

Biomarkers-Based Cost-Effectiveness of Toripalimab Plus Chemotherapy for Patients with Treatment-Naive Advanced Non-Small Cell Lung Cancer., PMID:37715852

A Fluorescent Probe as a Lead Compound for a Selective α-Synuclein PET Tracer: Development of a Library of 2-Styrylbenzothiazoles and Biological Evaluation of [18F]PFSB and [18F]MFSB., PMID:37663501

[Fibrocartilaginous lipoma: a clinicopathological analysis of six cases]., PMID:37527988

Emerging roles of Aurora-A kinase in cancer therapy resistance., PMID:37521867

Ginsenosides in cancer: Targeting cell cycle arrest and apoptosis., PMID:37451663

Genomic analysis of plasma circulating tumor DNA in patients with heavily pretreated HER2 + metastatic breast cancer., PMID:37336919

Clinical insights into small cell lung cancer: Tumor heterogeneity, diagnosis, therapy, and future directions., PMID:37329269

Diagnostic Utility of TSSC3 and RB1 Immunohistochemistry in Hydatidiform Mole., PMID:37298606

Genetic mutations in HER2-positive breast cancer: possible association with response to trastuzumab therapy., PMID:37202799

PROTACs in the Management of Prostate Cancer., PMID:37175108

The efficacy and adverse effects of nivolumab and lenvatinib in the treatment of advanced hepatocellular carcinoma., PMID:37114307

Loss of Rb1 Associated With the Onset of Acquired Resistance to Trastuzumab Deruxtecan in TP53-/HER2-Mutated Non-Small-Cell Lung Cancer: Case Series., PMID:36809053

Modified method for differentiation of myeloid-derived suppressor cells in vitro enhances immunosuppressive ability via glutathione metabolism., PMID:36605123

Understanding the killer-cell immunoglobulin like receptor polymorphism in retinoblastoma., PMID:36594723

LATE CHOROIDAL NEOVASCULAR COMPLICATIONS IN A PATIENT TREATED FOR RETINOBLASTOMA. A CASE REPORT., PMID:36543599

Phosphohistidine signaling promotes FAK-RB1 interaction and growth factor-independent proliferation of esophageal squamous cell carcinoma., PMID:36513743

Immune Checkpoint Blockade Outcome in Small-Cell Lung Cancer and Its Relationship With Retinoblastoma Mutation Status and Function., PMID:36044718

Heterogeneity of resistant mechanisms in an EGFR-TKI relapsed patient with EGFR amplification and response to nimotuzumab: A case report., PMID:36033496

Upregulation of adiponectin by Ginsenoside Rb1 contributes to amelioration of hepatic steatosis induced by high fat diet., PMID:35818425

The EEF1AKMT3/MAP2K7/TP53 axis suppresses tumor invasiveness and metastasis in gastric cancer., PMID:35753528

Immunohistochemical Assays for Bladder Cancer Molecular Subtyping: Optimizing Parsimony and Performance of Lund Taxonomy Classifiers., PMID:35437049

Phase I, multicenter, open-label study of intravenous VCN-01 oncolytic adenovirus with or without nab-paclitaxel plus gemcitabine in patients with advanced solid tumors., PMID:35338084

Association of Anti-EGFR Antibody and MEK Inhibitor in Gynecological Cancer Harboring RAS Mutation: A Case Series., PMID:35328764

VCN-01 disrupts pancreatic cancer stroma and exerts antitumor effects., PMID:35149591

[Immunoglobulin M multiple myeloma: a six-case report and literature review]., PMID:35045672

Ginsenoside Rb1 Lessens Gastric Precancerous Lesions by Interfering With β-Catenin/TCF4 Interaction., PMID:34594214

Metastatic Castration-Resistant Prostate Cancer Remains Dependent on Oncogenic Drivers Found in Primary Tumors., PMID:34568716

Datasheet

Document Download

Anti-RB1 Antibody (R2Z63).pdf

 

$ 220
Product specifications
50 μg 220 100 μg 350

Contact Information

Order: order@antibodysystem.com

Mail: support@antibodysystem.com

Distributor list

For research use only. Not for human or drug use.

Need help with your order?

Find out more about placing an order here

Anti-RB1 Antibody (R2Z63) [RHC19909]
Terms of sale Website terms of use Cookie policy Privacy
Copyright © 2025 AntibodySystem SAS. All Rights Reserved.            All Products are for Research Use Only