Please ensure Javascript is enabled for purposes of website accessibility
Home / Products / Antibody / Recombinant Antibody

Anti-ASS1 Antibody (R2W88)

Catalog #:   RHB89103 Specific References (20) DATASHEET
Host species: Mouse
Isotype: IgG1
Applications: ELISA, FCM, IF, WB
Accession: P00966
Overview

Catalog No.

RHB89103

Species reactivity

Human, Mouse, Rat, Monkey

Host species

Mouse

Isotype

IgG1

Clonality

Monoclonal

Tested applications

ELISA: 1:10000, FCM: 1:200-1:400, IF: 1:200-1:1000, WB: 1:500-1:2000

Target

ASS1, Citrulline--aspartate ligase, Argininosuccinate synthase, ASS

Concentration

1 mg/ml

Endotoxin level

Please contact with the lab for this information.

Purity

>95% as determined by SDS-PAGE.

Purification

Protein A/G purified from cell culture supernatant.

Accession

P00966

Applications

ELISA, FCM, IF, WB

Form

Liquid

Storage buffer

0.01M PBS, pH 7.4, 0.05% Sodium Azide.

Stability and Storage

Use a manual defrost freezer and avoid repeated freeze-thaw cycles. Store at 4°C short term (1-2 weeks). Store at -20°C 12 months. Store at -80°C long term.

Clone ID

R2W88

Data Image
  • Flow Cytometry
    Flow cytometric analysis of Jurkat cells using ASS1 mouse mAb (green) and negative control (red).
  • Immunofluorescence
    Immunofluorescence analysis of Hela cells using ASS1 mouse mAb (green). Blue: DRAQ5 fluorescent DNA dye.
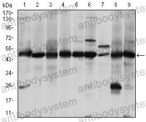
  • Western blot
    Western blot analysis using ASS1 mouse mAb against A431 (1), RAJI (2), L1210 (3), MOLT4 (4), Jurkat (5), A549 (6), NIH/3T3 (7), PC-12 (8) and Cos7 (9) cell lysate.
References

[Morphomolecular subtyping of hepatocellular adenoma]., PMID:40471284

Comparison of ERlangen Score with pTau/Aβ1-42 Ratio for Predicting Cognitive Decline and Conversion to Alzheimer's Disease., PMID:40309797

The therapeutic effect of Shenhua tablet against mesangial cell proliferation and renal inflammation in mesangial proliferative glomerulonephritis., PMID:37536037

Characterization of immune checkpoint inhibitor-induced cardiotoxicity reveals interleukin-17A as a driver of cardiac dysfunction after anti-PD-1 treatment., PMID:36356191

Glaucoma and Alzheimer: Neurodegenerative disorders show an adrenergic dysbalance., PMID:36201426

ASS1 regulates immune microenvironment via CXCL8 signaling in ovarian cancer., PMID:36182868

Characterisation of Expression the Arginine Pathway Enzymes in Childhood Brain Tumours to Determine Susceptibility to Therapeutic Arginine Depletion., PMID:35782058

A Phase 1 study of ADI-PEG20 (pegargiminase) combined with cisplatin and pemetrexed in ASS1-negative metastatic uveal melanoma., PMID:35466524

Phase 1 trial of ADI-PEG 20 and liposomal doxorubicin in patients with metastatic solid tumors., PMID:34841717

Phase 1, pharmacogenomic, dose-expansion study of pegargiminase plus pemetrexed and cisplatin in patients with ASS1-deficient non-squamous non-small cell lung cancer., PMID:34382365

Phase 1 trial of ADI-PEG20 plus cisplatin in patients with pretreated metastatic melanoma or other advanced solid malignancies., PMID:33674736

Arginine metabolism: a potential target in pancreatic cancer therapy., PMID:33395072

Robust, Long-Term Culture of Endoderm-Derived Hepatic Organoids for Disease Modeling., PMID:31522975

A Phase I Study of Pegylated Arginine Deiminase (Pegargiminase), Cisplatin, and Pemetrexed in Argininosuccinate Synthetase 1-Deficient Recurrent High-grade Glioma., PMID:30796035

Transcriptome of porcine alveolar macrophages activated by interferon-gamma and lipopolysaccharide., PMID:30086883

Gene expression in the chicken caecum is dependent on microbiota composition., PMID:29202873

Arginine Deprivation With Pegylated Arginine Deiminase in Patients With Argininosuccinate Synthetase 1-Deficient Malignant Pleural Mesothelioma: A Randomized Clinical Trial., PMID:27584578

Tailoring the antibody response to aggregated Aß using novel Alzheimer-vaccines., PMID:25611858

Role of renal function on the development of cardiotoxicity associated with trastuzumab-based adjuvant chemotherapy for early breast cancer., PMID:22714882

Differences in the immune response to long term Abeta vaccination in C57BL/6 and B6D2F1 mice., PMID:15364459

Datasheet

Document Download

Anti-ASS1 Antibody (R2W88).pdf

 

$ 220
Product specifications
50 μg 220 100 μg 350

Contact Information

Order: order@antibodysystem.com

Mail: support@antibodysystem.com

Distributor list

For research use only. Not for human or drug use.

Need help with your order?

Find out more about placing an order here

Anti-ASS1 Antibody (R2W88) [RHB89103]
Terms of sale Website terms of use Cookie policy Privacy
Copyright © 2025 AntibodySystem SAS. All Rights Reserved.            All Products are for Research Use Only