Please ensure Javascript is enabled for purposes of website accessibility
Home / Products / Antibody / Recombinant Antibody

Anti-CD258/TNFSF14/LIGHT Antibody (R2U94)

Catalog #:   RHA70802 Specific References (37) DATASHEET
Host species: Mouse
Isotype: IgG2b
Applications: ELISA, FCM, IHC, WB
Accession: O43557
Overview

Catalog No.

RHA70802

Species reactivity

Human, Mouse

Host species

Mouse

Isotype

IgG2b

Clonality

Monoclonal

Tested applications

ELISA: 1:10000, FCM: 1:200-1:400, IHC: 1:200-1:1000, WB: 1:500-1:2000

Target

Herpes virus entry mediator ligand, LIGHT, CD258, HVEM-L, HVEML, TNFSF14, Tumor necrosis factor ligand superfamily member 14, Herpesvirus entry mediator ligand

Concentration

1 mg/ml

Endotoxin level

Please contact with the lab for this information.

Purity

>95% as determined by SDS-PAGE.

Purification

Protein A/G purified from cell culture supernatant.

Accession

O43557

Applications

ELISA, FCM, IHC, WB

Form

Liquid

Storage buffer

0.01M PBS, pH 7.4, 0.05% Sodium Azide.

Stability and Storage

Use a manual defrost freezer and avoid repeated freeze-thaw cycles. Store at 4°C short term (1-2 weeks). Store at -20°C 12 months. Store at -80°C long term.

Clone ID

R2U94

Data Image
  • Flow Cytometry
    Flow cytometric analysis of HL-60 cells using CD258 mouse mAb (green) and negative control (red).
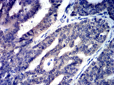
  • Immunohistochemical
    Immunohistochemical analysis of paraffin-embedded human ovarian cancer tissues using CD258 mouse mAb with DAB staining.
  • Immunohistochemical
    Immunohistochemical analysis of paraffin-embedded human prostate cancer tissues using CD258 mouse mAb with DAB staining.
  • Western blot
    Western blot analysis using CD258 mouse mAb against Raji (1), L-02 (2), A549 (3), Hela (4)cell lysate, and mouse heart (5) tissues lysate.
References

Randomized, double-blind, controlled trial of human anti-LIGHT monoclonal antibody in COVID-19 acute respiratory distress syndrome., PMID:34871182

Levels of the TNF-Related Cytokine LIGHT Increase in Hospitalized COVID-19 Patients with Cytokine Release Syndrome and ARDS., PMID:32817460

Shedding "LIGHT" on the Link between Bone and Fat in Obese Children and Adolescents., PMID:32635185

Unique Sjögren's syndrome patient subsets defined by molecular features., PMID:31497844

LIGHT/TNFSF14 as a New Biomarker of Bone Disease in Multiple Myeloma Patients Experiencing Therapeutic Regimens., PMID:30405638

LIGHT-HVEM signaling in keratinocytes controls development of dermatitis., PMID:29339444

DcR3 promotes hepatoma cell migration by downregulating E-cadherin expression., PMID:28560426

Skewing toward Treg and Th2 responses is a characteristic feature of sustained remission in ANCA-positive granulomatosis with polyangiitis., PMID:28155222

A Randomized Phase 1 Study to Assess the Safety and Pharmacokinetics of the Subcutaneously Injected Anti-LIGHT Antibody, SAR252067., PMID:27545119

The Tumor Necrosis Factor Superfamily Molecule LIGHT Promotes Keratinocyte Activity and Skin Fibrosis., PMID:25789702

Therapeutic blockade of LIGHT interaction with herpesvirus entry mediator and lymphotoxin β receptor attenuates in vivo cytotoxic allogeneic responses., PMID:25226173

Reverse signaling from LIGHT promotes pro-inflammatory responses in the human monocytic leukemia cell line, THP-1., PMID:24044961

Serum-soluble herpes virus entry mediator levels reflect disease severity and Th2 environment in cutaneous T-cell lymphoma., PMID:23306973

Molecular basis for herpesvirus entry mediator recognition by the human immune inhibitory receptor CD160 and its relationship to the cosignaling molecules BTLA and LIGHT., PMID:21959263

Characterization of herpes virus entry mediator as a factor linked to obesity., PMID:19680232

From gene expression to serum proteins: biomarker discovery in ankylosing spondylitis., PMID:19103635

Platelet-associated LIGHT (TNFSF14) mediates adhesion of platelets to human vascular endothelium., PMID:17938804

Targeting lymphotoxin beta receptor with tumor-specific T lymphocytes for tumor regression., PMID:17785576

LIGHT up-regulated on B lymphocytes and monocytes in rheumatoid arthritis mediates cellular adhesion and metalloproteinase production by synoviocytes., PMID:17393389

Recruitment and activation of naive T cells in the islets by lymphotoxin beta receptor-dependent tertiary lymphoid structure., PMID:16934497

LIGHT (TNFSF14), a novel mediator of bone resorption, is elevated in rheumatoid arthritis., PMID:16649193

Inhibition of lymphotoxin-beta receptor-mediated cell death by survivin-DeltaEx3., PMID:16540654

LIGHT enhances the bactericidal activity of human monocytes and neutrophils via HVEM., PMID:16275888

LIGHT costimulates CD40 triggering and induces immunoglobulin secretion; a novel key partner in T cell-dependent B cell terminal differentiation., PMID:15549770

Attenuation of graft arterial disease by manipulation of the LIGHT pathway., PMID:15178556

[Eukaryotic expression of human LIGHT-Fc chimeric molecule and its anti-tumor activity]., PMID:15169669

The effect of LIGHT in inducing maturation of monocyte-derived dendritic cells from MDS patients., PMID:15103504

Dysregulated LIGHT expression on T cells mediates intestinal inflammation and contributes to IgA nephropathy., PMID:15067315

A role for the lymphotoxin/LIGHT axis in the pathogenesis of murine collagen-induced arthritis., PMID:12816989

The role of apoptosis signal-regulating kinase 1 in lymphotoxin-beta receptor-mediated cell death., PMID:12566458

LIGHT, a new member of the TNF superfamily., PMID:12456019

Mouse T cells receive costimulatory signals from LIGHT, a TNF family member., PMID:12384428

Recombinant, soluble LIGHT (HVEM ligand) induces increased IL-8 secretion and growth arrest in A375 melanoma cells., PMID:11429164

The three HveA receptor ligands, gD, LT-alpha and LIGHT bind to distinct sites on HveA., PMID:11164894

LIGHT, a TNF-like molecule, costimulates T cell proliferation and is required for dendritic cell-mediated allogeneic T cell response., PMID:10754304

Costimulatory wars: the tumor menace., PMID:11007364

Modulation of T-cell-mediated immunity in tumor and graft-versus-host disease models through the LIGHT co-stimulatory pathway., PMID:10700230

Datasheet
$ 220
Product specifications
50 μg 220 100 μg 350

Contact Information

Order: order@antibodysystem.com

Mail: support@antibodysystem.com

Distributor list

For research use only. Not for human or drug use.

Need help with your order?

Find out more about placing an order here

Anti-CD258/TNFSF14/LIGHT Antibody (R2U94) [RHA70802]
Terms of sale Website terms of use Cookie policy Privacy
Copyright © 2025 AntibodySystem SAS. All Rights Reserved.            All Products are for Research Use Only