Please ensure Javascript is enabled for purposes of website accessibility
Home / Products / Antibody / Recombinant Antibody

Anti-AURKA Antibody (R2U18)

Catalog #:   RHA36102 Specific References (50) DATASHEET
Host species: Mouse
Isotype: IgG1
Applications: ELISA, IHC, WB
Accession: O14965
Overview

Catalog No.

RHA36102

Species reactivity

Human, Rat, Monkey

Host species

Mouse

Isotype

IgG1

Clonality

Monoclonal

Tested applications

ELISA: 1:10000, IHC: 1:200-1:1000, WB: 1:500-1:2000

Target

Serine/threonine-protein kinase 15, Aurora/IPL1-related kinase 1, AIK, ARK1, ARK-1, STK15, Aurora kinase A, STK6, Aurora 2, hARK1, Serine/threonine-protein kinase 6, AYK1, AURKA, Breast tumor-amplified kinase, IAK1, Serine/threonine-protein kinase aurora-A, BTAK, AIRK1, AURA, Aurora-related kinase 1

Concentration

1 mg/ml

Endotoxin level

Please contact with the lab for this information.

Purity

>95% as determined by SDS-PAGE.

Purification

Protein A/G purified from cell culture supernatant.

Accession

O14965

Applications

ELISA, IHC, WB

Form

Liquid

Storage buffer

0.01M PBS, pH 7.4, 0.05% Sodium Azide.

Stability and Storage

Use a manual defrost freezer and avoid repeated freeze-thaw cycles. Store at 4°C short term (1-2 weeks). Store at -20°C 12 months. Store at -80°C long term.

Clone ID

R2U18

Data Image
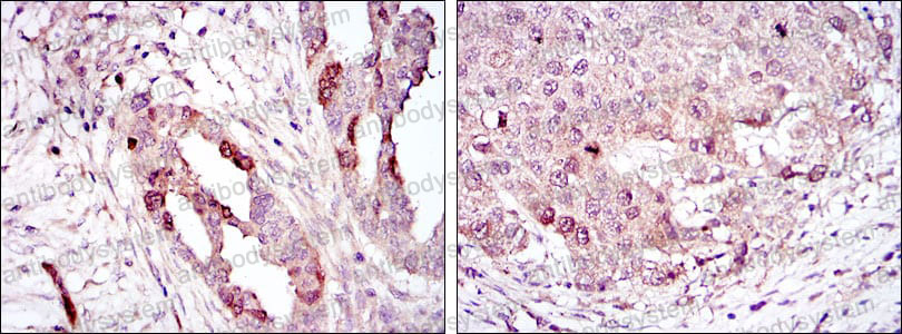
  • Immunohistochemical
    Immunohistochemical analysis of paraffin-embedded human ovarian cancer (left) and lung cancer (right) using AURKA mouse mAb with DAB staining.
  • Western blot
    Western blot analysis using AURKA mouse mAb against HEK293 (1), Sw620 (2), MCF-7 (3), Jurkat (4), Hela (5), HepG2 (6), Cos7 (7) and PC-12 (8) cell lysate.
References

O-Cyanobenzaldehydes Irreversibly Modify Both Buried and Exposed Lysine Residues in Live Cells., PMID:40150802

The AURKA inhibitor alters the immune microenvironment and enhances targeting B7-H3 immunotherapy in glioblastoma., PMID:39928563

Phase I/II Study of the Aurora Kinase A Inhibitor Alisertib and Pembrolizumab in Refractory, Rb-Deficient Head and Neck Squamous Cell Carcinomas., PMID:39589337

Cross-Reactivity of N6AMT1 Antibodies with Aurora Kinase A: An Example of Antibody-Specific Non-Specificity., PMID:38804301

Inhibition of the AURKA/YAP1 axis is a promising therapeutic option for overcoming cetuximab resistance in colorectal cancer stem cells., PMID:38467828

Humoral immunoprofiling identifies novel biomarkers and an immune suppressive autoantibody phenotype at the site of disease in pancreatic ductal adenocarcinoma., PMID:38450186

Male meiotic spindle poles are stabilized by TACC3 and cKAP5/chTOG differently from female meiotic or somatic mitotic spindles in mice., PMID:38413710

Treatment-related Neuroendocrine Prostate Carcinoma-Diagnostic and Molecular Correlates., PMID:38223983

AURKA inhibitor-induced PD-L1 upregulation impairs antitumor immune responses., PMID:37781397

Identification of novel tumor-associated antigens and evaluation of a panel of autoantibodies in detecting oral cancer., PMID:37641028

Emerging roles of Aurora-A kinase in cancer therapy resistance., PMID:37521867

Targeting CLDN6 in germ cell tumors by an antibody-drug-conjugate and studying therapy resistance of yolk-sac tumors to identify and screen specific therapeutic options., PMID:36991316

Aurora A kinase inhibition compromises its antitumor efficacy by elevating PD-L1 expression., PMID:36928177

TROP2 expression and SN38 antitumor activity in malignant pleural mesothelioma cells provide a rationale for antibody-drug conjugate therapy., PMID:36907051

Apoptosis is responsible for the cytotoxic effects of anti-GD2 ganglioside antibodies and aurora A kinase inhibitors on human neuroblastoma cells., PMID:35810485

Present and Emerging Biomarkers in Immunotherapy for Metastatic Non-Small Cell Lung Cancer: A Review., PMID:35200543

Inhibition of Aurora-A Promotes CD8+ T-Cell Infiltration by Mediating IL10 Production in Cancer Cells., PMID:32591441

The regulation and function of CD20: an "enigma" of B-cell biology and targeted therapy., PMID:32482755

Novel Autoantibodies Related to Cell Death and DNA Repair Pathways in Systemic Lupus Erythematosus., PMID:31494269

Combined Aurora Kinase A (AURKA) and WEE1 Inhibition Demonstrates Synergistic Antitumor Effect in Squamous Cell Carcinoma of the Head and Neck., PMID:30755439

[Medical treatment of small cell lung cancer: Can we leave the area of cisplatin-etoposide?]., PMID:30100047

Phase I Study of the Investigational Aurora A Kinase Inhibitor Alisertib plus Rituximab or Rituximab/Vincristine in Relapsed/Refractory Aggressive B-cell Lymphoma., PMID:30082475

GD2 ganglioside-binding antibody 14G2a and specific aurora A kinase inhibitor MK-5108 induce autophagy in IMR-32 neuroblastoma cells., PMID:30027525

Immunofluorescence Technique to Detect Subcellular Structures Critical to Oocyte Maturation., PMID:29961256

Novel localization of Aurora A kinase in mouse testis suggests multiple roles in spermatogenesis., PMID:29842884

Low expression of PTEN is essential for maintenance of a malignant state in human gastric adenocarcinoma via upregulation of p‑AURKA mediated by activation of AURKA., PMID:29512701

Aurora A Phosphorylation of YY1 during Mitosis Inactivates its DNA Binding Activity., PMID:28855673

Disruption of Aneuploidy and Senescence Induced by Aurora Inhibition Promotes Intrinsic Apoptosis in Double Hit or Double Expressor Diffuse Large B-cell Lymphomas., PMID:28615297

Inhibition of AURKA kinase activity suppresses collective invasion in a microfluidic cell culture platform., PMID:28592839

Arsenic treatment increase Aurora-A overexpression through E2F1 activation in bladder cells., PMID:28420331

Switching Aurora-A kinase on and off at an allosteric site., PMID:28342286

AURKA, DLGAP5, TPX2, KIF11 and CKAP5: Five specific mitosis-associated genes correlate with poor prognosis for non-small cell lung cancer patients., PMID:28101582

Aurora A and NF-κB Survival Pathway Drive Chemoresistance in Acute Myeloid Leukemia via the TRAF-Interacting Protein TIFA., PMID:28069801

Expression of genes encoding centrosomal proteins and the humoral response against these proteins in chronic myeloid leukemia., PMID:27840977

Alisertib demonstrates significant antitumor activity in bevacizumab resistant, patient derived orthotopic models of glioblastoma., PMID:27816996

Geldanamycin, an inhibitor of Hsp90, increases paclitaxel-mediated toxicity in ovarian cancer cells through sustained activation of the p38/H2AX axis., PMID:27629142

Silencing Aurora-A with siRNA inhibits cell proliferation in human lung adenocarcinoma cells., PMID:27571708

Allosteric inhibition of Aurora-A kinase by a synthetic vNAR domain., PMID:27411893

Antitumor activity of the aurora a selective kinase inhibitor, alisertib, against preclinical models of colorectal cancer., PMID:27385211

Downregulation of the PHLDA1 gene in IMR-32 neuroblastoma cells increases levels of Aurora A, TRKB and affects proteins involved in apoptosis and autophagy pathways., PMID:27278006

Establishment of a multimarker qPCR panel for the molecular characterization of circulating tumor cells in blood samples of metastatic breast cancer patients during the course of palliative treatment., PMID:27223437

Combined Cancer Immunotherapy Against Aurora Kinase A., PMID:27070447

Identification of genes responsible for RelA-dependent proliferation arrest in human mammary epithelial cells conditionally expressing RelA., PMID:26981373

Aurora A overexpression in breast cancer patients induces taxane resistance and results in worse prognosis., PMID:26854435

57th American Society of Hematology Annual Meeting., PMID:26687594

Spindle assembly checkpoint inactivation fails to suppress neuroblast tumour formation in aurA mutant Drosophila., PMID:26568519

Combining an Aurora Kinase Inhibitor and a Death Receptor Ligand/Agonist Antibody Triggers Apoptosis in Melanoma Cells and Prevents Tumor Growth in Preclinical Mouse Models., PMID:26152738

Emerging kinase inhibitors of the treatment of gastric cancer., PMID:26021342

In vitro activity of the mTOR inhibitor everolimus, in a large panel of breast cancer cell lines and analysis for predictors of response., PMID:25663547

Issues in interpreting the in vivo activity of Aurora-A., PMID:25384454

Datasheet

Document Download

Anti-AURKA Antibody (R2U18).pdf

 

$ 220
Product specifications
50 μg 220 100 μg 350

Contact Information

Order: order@antibodysystem.com

Mail: support@antibodysystem.com

Distributor list

For research use only. Not for human or drug use.

Need help with your order?

Find out more about placing an order here

Anti-AURKA Antibody (R2U18) [RHA36102]
Terms of sale Website terms of use Cookie policy Privacy
Copyright © 2025 AntibodySystem SAS. All Rights Reserved.            All Products are for Research Use Only