Please ensure Javascript is enabled for purposes of website accessibility
Home / Products / Antibody / Recombinant Antibody

Anti-GNAQ Antibody (R1X97)

Catalog #:   RHE74501 Specific References (28) DATASHEET
Host species: Rabbit
Isotype: IgG
Applications: IHC, IP, WB
Accession: P50148
Overview

Catalog No.

RHE74501

Species reactivity

Human, Rat

Host species

Rabbit

Isotype

IgG

Clonality

Monoclonal

Tested applications

IHC: 1:50-1:100, IP: 1:20, WB: 1:500-1:1000

Target

GNAQ, GAQ, Guanine nucleotide-binding protein G(q) subunit alpha, Guanine nucleotide-binding protein alpha-q

Concentration

1 mg/ml

Endotoxin level

Please contact with the lab for this information.

Purity

>95% by SDS-PAGE.

Purification

Protein A/G purified from cell culture supernatant.

Accession

P50148

Applications

IHC, IP, WB

Form

Liquid

Storage buffer

0.01M PBS, pH 7.4, 0.05% BSA, 50% Glycerol, 0.05% Sodium azide.

Stability and Storage

Use a manual defrost freezer and avoid repeated freeze thaw cycles. Store at 4 ℃ for frequent use. Store at -20 ℃ for twelve months from the date of receipt.

Clone ID

R1X97

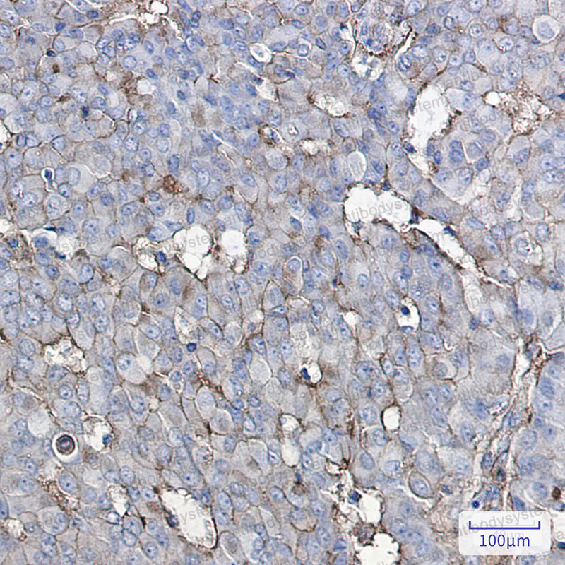
Data Image
  • Immunohistochemical
    Immunohistochemistry analysis of paraffin-embedded Human breast cancer using GNAQ antibody.High-pressure and temperature Sodium Citrate pH 6.0 was used for antigen retrieval.
  • Western blot
    Western blot analysis of GNAQ in K562, rat Brain, C6, Hela lysates using GNAQ antibody.
References

A model workflow for microfluidic enrichment and genetic analysis of circulating melanoma cells., PMID:40316673

MAPK Signaling and Angiopoietin-2 Contribute to Endothelial Permeability in Capillary Malformations., PMID:40235979

Clinico-genomic features predict distinct metastatic phenotypes in cutaneous melanoma., PMID:39975034

The LINC01315-encoded small protein YAPer-ORF competes with PRP4k to hijack YAP signaling to aberrantly promote cell growth., PMID:39962243

Clinical benefit with tebentafusp in a patient with GNAQ mutant metastatic blue nevus-associated melanoma., PMID:39551602

Transcription repression of estrogen receptor alpha by ghrelin/Gq/11/YAP signaling in granulosa cells promotes polycystic ovary syndrome., PMID:39225978

A Phase I Study of the CDK4/6 Inhibitor Palbociclib in Combination with Cetuximab and Radiotherapy for Locally Advanced Head and Neck Squamous Cell Carcinoma., PMID:37982827

A phase Ib trial of combined PKC and MEK inhibition with sotrastaurin and binimetinib in patients with metastatic uveal melanoma., PMID:37359242

Exonic variants in multiple myeloma patients associated with relapsed/ refractory and response to bortezomib regimens., PMID:35002457

Uveal Melanoma Metastasis., PMID:34830841

The WHO 2018 Classification of Cutaneous Melanocytic Neoplasms: Suggestions From Routine Practice., PMID:34277420

Nivolumab as adjuvant treatment for a spinal melanocytoma: A case report., PMID:34106633

Comprehensive molecular characterization of gastric cancer patients from phase II second-line ramucirumab plus paclitaxel therapy trial., PMID:33494793

CRISPR/Cas9-Based Knockout of GNAQ Reveals Differences in Host Cell Signaling Necessary for Egress of Apicomplexan Parasites., PMID:33361125

Protein expression of KIT, BRAF, GNA11, GNAQ and RASSF1 in feline diffuse iris melanomas., PMID:31239162

[New molecular pathological strategies for malignant iris tumors]., PMID:30623224

Association of Somatic GNAQ Mutation With Capillary Malformations in a Case of Choroidal Hemangioma., PMID:30422215

Rates of ERBB2 Alterations across Melanoma Subtypes and a Complete Response to Trastuzumab Emtansine in an ERBB2-Amplified Acral Melanoma., PMID:30093446

Clinical Application of Circulating Tumor Cells and Circulating Tumor DNA in Uveal Melanoma., PMID:32913999

Requirement of Gαq/Gα11 Signaling in the Preservation of Mouse Intestinal Epithelial Homeostasis., PMID:28174748

Co-targeting HGF/cMET Signaling with MEK Inhibitors in Metastatic Uveal Melanoma., PMID:28138035

Developments in targeted therapy in melanoma., PMID:27923592

Melanoma., PMID:27188223

Sturge-Weber syndrome and port-wine stains caused by somatic mutation in GNAQ., PMID:23656586

Gαq gene promoter polymorphisms and rheumatoid arthritis in the Han Chinese population are not associated., PMID:23315865

Ocular melanoma: what's new?, PMID:22234256

G alpha q-containing G proteins regulate B cell selection and survival and are required to prevent B cell-dependent autoimmunity., PMID:20624888

Gene-gene and gene-environment interactions on IgE production in prenatal stage., PMID:19968631

Datasheet

Document Download

Anti-GNAQ Antibody (R1X97).pdf

 

$ 290
Product specifications
50 μg 290 100 μg 484

Contact Information

Order: order@antibodysystem.com

Mail: support@antibodysystem.com

Distributor list

For research use only. Not for human or drug use.

Need help with your order?

Find out more about placing an order here

Anti-GNAQ Antibody (R1X97) [RHE74501]
Terms of sale Website terms of use Cookie policy Privacy
Copyright © 2025 AntibodySystem SAS. All Rights Reserved.            All Products are for Research Use Only