Please ensure Javascript is enabled for purposes of website accessibility
Home / Products / Super-Affinity Antibody

Anti-AKT1/2/3 Antibody (R1C47)

Catalog #:   RHD96504 Specific References (50) DATASHEET
Host species: Rabbit
Isotype: IgG
Applications: FCM, IF, IHC, IP, WB
Accession: P31749, P31751, Q9Y243
Overview

Catalog No.

RHD96504

Species reactivity

Human, Mouse, Rat

Host species

Rabbit

Isotype

IgG

Clonality

Monoclonal

Tested applications

FCM: 1:20-1:100, IF: 1:50-1:200, IHC: 1:100-1:200, IP: 1:20-1:50, WB: 1:1000-1:2000

Target

PKB, RAC, PRKBA, PKB-ALPHA, RAC-ALPHA, AKT1, AKT2, AKT3, Akt1/2/3, pan Akt, AKT

Concentration

1 mg/ml

Endotoxin level

Please contact with the lab for this information.

Purity

>95% by SDS-PAGE.

Purification

Protein A/G purified from cell culture supernatant.

Accession

P31749, P31751, Q9Y243

Applications

FCM, IF, IHC, IP, WB

Form

Liquid

Storage buffer

0.01M PBS, pH 7.4, 0.05% BSA, 50% Glycerol, 0.05% Sodium azide.

Stability and Storage

Use a manual defrost freezer and avoid repeated freeze-thaw cycles. Store at +4 ℃ short term (1-2 weeks). Store at -20 ℃ 12 months. Store at -80 ℃ long term.

Clone ID

R1C47

Data Image
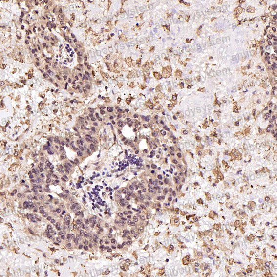
  • Immunohistochemical
    Immunohistochemical analysis of paraffin-embedded Human pituitary tumor, using the Antibody at 1:250 dilution.
  • Immunohistochemical
    Immunohistochemical analysis of paraffin-embedded Human astrocytoma, using the Antibody at 1:250 dilution.
  • Immunohistochemical
    Immunohistochemical analysis of paraffin-embedded Human ovarian cancer, using the Antibody at 1:1000 dilution.
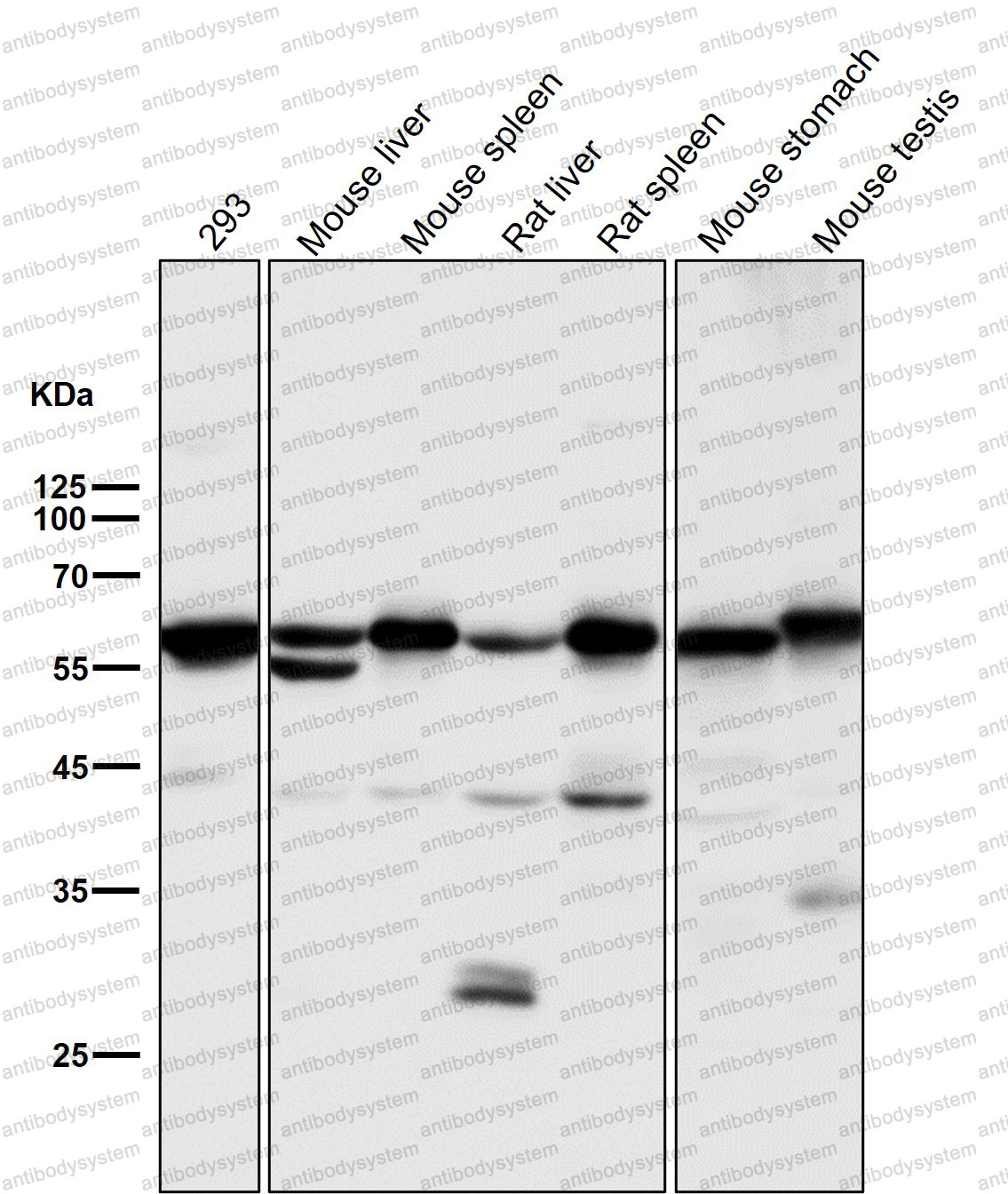
  • Western blot
    All lanes use the Antibody at 1:2K dilution for 1 hour at room temperature.
  • Western blot
    All lanes use the Antibody at 1:2K dilution for 1 hour at room temperature.
  • Western blot
    All lanes use the Antibody at 1:2K dilution for 1 hour at room temperature.
  • Western blot
    All lanes use the Antibody at 1:2K dilution for 1 hour at room temperature.
  • Western blot
    Western blot analysis of Akt(pan)1/2/3 expression in (1) A549 cell lysate; (2) Mouse brain lysate; (3) Rat brain lysate; (4) Rat heart lysate; (5) Rat kidney lysate.
References

Vitamin D and Inhibition of Melanogenesis: Examination of Liposomal Vitamin D Nanocarrier Anti-Melanogenesis Activity on B16 F10 Cell Line., PMID:40390845

Novel Estrogen Receptor - Targeted Therapies in Hormone-Receptor Positive Breast Cancer., PMID:40163189

Oleanolic acid inhibits mesangial cell proliferation and inflammatory response in mesangial proliferative glomerulonephritis through IL-17/ERK/AKT pathway., PMID:40088868

Elucidating the pharmacological foundations and mechanisms of the Sihai Shuyu formula in treating Graves' disease through integrated serum metabolomics and network pharmacology with molecular docking techniques., PMID:39950029

Inhibition of Kinase Activity and In Vitro Downregulation of the Protein Kinases in Lung Cancer and Cervical Cancer Cell Lines and the Identified Known Anticancer Compounds of Ziziphus mucronata., PMID:39942957

Jian Pi Hua Tan Fang Reverses Trastuzumab Resistance of HER2-Positive Gastric Cancer Through PI3K/AKT/mTOR Pathway: Integrating Network Pharmacology, Molecular Docking and Experimental Validation., PMID:39917999

Engineered FHA domains can bind to a variety of Phosphothreonine-containing peptides., PMID:39276365

Insights into the role of FoxL2 in tebuconazole-induced male- biased sex differentiation of zebrafish., PMID:38977095

SUMOylation of annexin A6 retards cell migration and tumor growth by suppressing RHOU/AKT1-involved EMT in hepatocellular carcinoma., PMID:38566133

The Combination of Afatinib With Dasatinib or Miransertib Results in Synergistic Growth Inhibition of Stomach Cancer Cells., PMID:38545471

Effects of Viscum coloratum (Kom.) Nakai on collagen-induced rheumatoid arthritis., PMID:38490288

Molecular screening with liquid biopsy for anti-EGFR retreatment in metastatic colorectal cancer: preliminary data from the randomized phase 2 PARERE trial., PMID:38406172

K-Ras(V12) differentially affects the three Akt isoforms in lung and pancreatic carcinoma cells and upregulates E-cadherin and NCAM via Akt3., PMID:38291468

Negative Hyperselection of Resistance Mutations for Panitumumab Maintenance in RAS Wild-Type Metastatic Colorectal Cancer (PanaMa Phase II Trial, AIO KRK 0212)., PMID:38289994

Integrated Molecular Characterization of HER2-Low Breast Cancer Using Next Generation Sequencing (NGS)., PMID:38137385

The anticancer impacts of free and liposomal caffeic acid phenethyl ester (CAPE) on melanoma cell line (A375)., PMID:38111127

Characteristics of Serum Autoantibody Repertoire and Immune Subgroup Variation of Tuberculosis-Associated Obstructive Pulmonary Disease., PMID:38075560

DUSP22 suppresses tumor progression by directly dephosphorylating AKT in non-small cell lung cancer., PMID:37937915

Negative hyperselection of elderly patients with RAS and BRAF wild-type metastatic colorectal cancer receiving initial panitumumab plus FOLFOX or 5-FU/LV., PMID:37924647

IL-21/23 axis modulates inflammatory cytokines and RANKL expression in RA CD4+ T cells via p-Akt1 signaling., PMID:37809066

UPLC-Q-TOF-MS, network analysis, and molecular docking to investigate the effect and active ingredients of tea-seed oil against bacterial pathogens., PMID:37745048

Discovery of natural multi-targets neuraminidase inhibitor glycosides compounds against influenza A virus through network pharmacology, virtual screening, molecular dynamics simulation, and in vitro experiment., PMID:37743355

Lycopene alleviates food allergy by modulating the PI3K/AKT pathway in peanut-sensitized BALB/c mice., PMID:37607433

Intravesical BCG in bladder cancer induces innate immune responses against SARS-CoV-2., PMID:37520557

TGF-β1 dominates stromal fibroblast-mediated EMT via the FAP/VCAN axis in bladder cancer cells., PMID:37461061

The MyD88 inhibitor, ST2825, induces cell cycle arrest and apoptosis by suppressing the activation of the NF‑κB/AKT1/p21 pathway in pancreatic cancer., PMID:37326109

Association between the AKT1 single nucleotide polymorphism (rs2498786, rs2494752 and rs5811155) and microscopic polyangiitis risk in a Chinese population., PMID:37029297

IHC expression of AKT in different grades of epithelial dysplasia: An in vitro study., PMID:36588841

Construction of a phos-tag-directed self-assembled fluorescent magnetobiosensor for the simultaneous detection of multiple protein kinases., PMID:36449302

Identification of molecular mechanisms underlying the therapeutic effects of Celosia Cristata on immunoglobulin nephropathy., PMID:36379189

Blockade of the pentraxin 3/CD44 interaction attenuates lung injury-induced fibrosis., PMID:36336784

Exploring the Potential Mechanism of Qi-Shen-Di-Huang Drug Formulary for Myasthenia Gravis (MG) based on UHPLC-QE-MS Network Pharmacology and Molecular Docking Techniques., PMID:36225188

Study on the Potential Mechanism of Semen Strychni against Myasthenia Gravis Based on Network Pharmacology and Molecular Docking with Experimental Verification., PMID:36217431

Systematic elucidation of the bioactive alkaloids and potential mechanism from Sophora flavescens for the treatment of eczema via network pharmacology., PMID:36216196

Tumor microenvironment gene expression profiles associated to complete pathological response and disease progression in resectable NSCLC patients treated with neoadjuvant chemoimmunotherapy., PMID:36171009

Akt1-dependent expression of angiopoietin 1 and 2 in vascular smooth muscle cells leads to vascular stabilization., PMID:35931736

Targeting HER3-dependent activation of nuclear AKT improves radiotherapy of non-small cell lung cancer., PMID:35839938

5-HT2B-mediated serotonin activation in enterocytes suppresses colitis-associated cancer initiation and promotes cancer progression., PMID:35664068

Panaxdiol saponins component promotes hematopoiesis by regulating GATA transcription factors of intracellular signaling pathway in mouse bone marrow., PMID:35282082

HERV-W Envelope Triggers Abnormal Dopaminergic Neuron Process through DRD2/PP2A/AKT1/GSK3 for Schizophrenia Risk., PMID:35062349

Dynamics of AQP4 upon exposure to seropositive patient serum before and after Rituximab therapy in Neuromyelitis Optica: A cell-based study., PMID:34715591

Selenium inhibits growth of trastuzumab-resistant human breast cancer cells via downregulation of Akt and beclin-1., PMID:34525121

Defective Reelin/Dab1 signaling pathways associated with disturbed hippocampus development of homozygous yotari mice., PMID:33845123

Active Akt signaling triggers CLL toward Richter transformation via overactivation of Notch1., PMID:33538798

Isoform- and Phosphorylation-specific Multiplexed Quantitative Pharmacodynamics of Drugs Targeting PI3K and MAPK Signaling in Xenograft Models and Clinical Biopsies., PMID:33536190

PI3K/Akt pathway and Nanog maintain cancer stem cells in sarcomas., PMID:33468992

An AKT2-specific nanobody that targets the hydrophobic motif induces cell cycle arrest, autophagy and loss of focal adhesions in MDA-MB-231 cells., PMID:33378961

Inhibition of MEIS3 Generates Cetuximab Resistance through c-Met and Akt., PMID:33376716

The Regenerative Potential of Donkey and Human Milk on the Redox-Sensitive and Proliferative Signaling Pathways of Skin Fibroblasts., PMID:33224432

Determining the effects of trastuzumab, cetuximab and afatinib by phosphoprotein, gene expression and phenotypic analysis in gastric cancer cell lines., PMID:33115415

Datasheet
$ 290
Product specifications
50 μg 290 100 μg 484

Contact Information

Order: order@antibodysystem.com

Mail: support@antibodysystem.com

Distributor list

For research use only. Not for human or drug use.

Need help with your order?

Find out more about placing an order here

Anti-AKT1/2/3 Antibody (R1C47) [RHD96504]
Terms of sale Website terms of use Cookie policy Privacy
Copyright © 2025 AntibodySystem SAS. All Rights Reserved.            All Products are for Research Use Only