Please ensure Javascript is enabled for purposes of website accessibility
Home / Products / Antibody / Polyclonal Antibody

Anti-Mouse IL31 Polyclonal Antibody

Catalog #:   PMJ05001 Specific References (50) DATASHEET
Host species: Rabbit
Isotype: IgG
Applications: ELISA, IHC, WB
Accession: Q6EAL8
Overview

Catalog No.

PMJ05001

Species reactivity

Mouse

Host species

Rabbit

Isotype

IgG

Clonality

Polyclonal

Immunogen

E. coli - derived recombinant Mouse IL31 (Ala31-Cys163).

Tested applications

ELISA: 1:4000-1:8000, IHC: 1:50-1:100, WB: 1:1000-1:4000

Target

Interleukin-31 (IL-31)

Purification

Purified by antigen affinity column.

Accession

Q6EAL8

Applications

ELISA, IHC, WB

Form

Liquid

Storage buffer

0.01M PBS, pH 7.4, 50% Glycerol, 0.05% Proclin 300.

Stability and Storage

Use a manual defrost freezer and avoid repeated freeze thaw cycles. Store at 2 to 8°C for frequent use. Store at -20 to -80°C for twelve months from the date of receipt.

Data Image
  • Western Blot
    Various lysates were subjected to SDS PAGE followed by western blot with IL31 antibody (PMJ05001) at 1µg/ml.

    Lane 1: RAW264.7 cell lysate
    Lane 2: Mouse lung lysate

    Second Ab: Goat Anti-Rabbit IgG H&L Polyclonal antibody, HRP (PTB96431) at 0.1 μg/mL.

    Predict MW: 18 kDa
    Observed MW: 33 kDa
  • Western Blot
    Recombinant Protein lysates were subjected to SDS PAGE followed by western blot with IL31 antibody (PMJ05001) at 1 µg/ml.

    Lane 1: Recombinant Protein

    Second Ab: Goat Anti-Rabbit IgG H&L Polyclonal antibody, HRP (PTB96431) at 0.1 μg/mL.

    Predict MW: 17 kDa
    Observed MW: 17 kDa
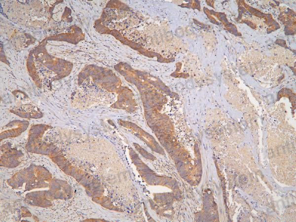
  • Immunohistochemical
    Immunohistochemical analysis of human colon cancer tissue stained for IL31 with PMJ05001.
References

Use of Nemolizumab in the Treatment of Prurigo Nodularis and Atopic Dermatitis., PMID:40403168

Nemolizumab Improves Pruritus in Patients With Intrinsic Atopic Dermatitis Lacking Atopic Predisposition: A Single-Centre Pilot Retrospective Cohort Study., PMID:40372094

Cutaneous Adverse Events Following Nemolizumab Administration: A Review., PMID:40364058

New and Emerging Biologics and Jak Inhibitors for the Treatment of Prurigo Nodularis: A Narrative Review., PMID:40282922

Topical Application of Fluoxetine Improves DNCB-Induced Atopic Dermatitis in Mice., PMID:40243303

Effectiveness and Safety of Nemolizumab in Patients with Prurigo Nodularis: a Systematic Review and Meta-Analysis of Randomized Controlled Trials., PMID:40205064

Phenotype-endotype relationship in elderly atopic dermatitis and effects of dupilumab therapy: prospective study., PMID:40095170

Elevated Type 2 Inflammatory Factors, Th2/Th1 Balanced Status, and Exosomes as a Marker of Severity in Chronic Actinic Dermatitis., PMID:39949921

WISIT vaccines based on IL-31-derived peptides as a novel therapeutic approach for chronic pruritic dermatoses., PMID:39932924

Pre- and Postnatal Development Study of Nemolizumab, a Humanized Anti-Interleukin-31 Receptor A Monoclonal Antibody, in Cynomolgus Monkey., PMID:39868832

Therapeutic potential of a systemically applied humanized monoclonal antibody targeting Toll‑like receptor 2 in atopic‑dermatitis‑like skin lesions in a mouse model., PMID:39781040

Type 2 cytokine-JAK1 signaling is involved in the development of dry skin-induced mechanical alloknesis., PMID:39616021

Predictive cytokines of omalizumab in the treatment of chronic spontaneous urticaria., PMID:39602877

Emerging Biologic Therapies for the Treatment of Atopic Dermatitis., PMID:39365406

Cytokine profile of the stratum corneum in atopic dermatitis lesions differs between the face and the trunk., PMID:39332980

Comparison of serum cytokines and chemokines levels and clinical significance in patients with pemphigus vulgaris-A retrospective study., PMID:39246287

Long-term use of lokivetmab in dogs with atopic dermatitis., PMID:39143659

Pharmacological Trends in the Management of Atopic Dermatitis: A Comprehensive Review., PMID:39130865

Nemolizumab with concomitant topical therapy in adolescents and adults with moderate-to-severe atopic dermatitis (ARCADIA 1 and ARCADIA 2): results from two replicate, double-blind, randomised controlled phase 3 trials., PMID:39067461

Clinical characteristics, immunological alteration and distinction of MOG-IgG-associated disorders and GFAP-IgG-associated disorders., PMID:39002186

Exploring the Potentiality of a Plant Platform for Monoclonal Antibody Production in Veterinary Medicine., PMID:38932349

IL-4 and IL-13 are not involved in IL-31-induced itch-associated scratching behaviour in mice., PMID:38855893

Inflammatory cytokine levels and changes during omalizumab treatment in chronic spontaneous urticaria., PMID:38795119

A comparative study of multiple biomarkers levels in complicated versus noncomplicated type 2 diabetic patients., PMID:38678628

Interleukin antagonists for atopic dermatitis: a new era of therapy., PMID:38656240

An OX-Tra'Ordinary Tale: The Role of OX40 and OX40L in Atopic Dermatitis., PMID:38607026

Altered COVID-19 immunity in children with asthma by atopic status., PMID:38590754

Targeting IL-13 with tralokinumab normalizes type 2 inflammation in atopic dermatitis both early and at 2 years., PMID:38563683

A case of bullous pemphigoid following administration of anti-IL-31 receptor A antibody., PMID:38507442

A Bispecific, Tetravalent Antibody Targeting Inflammatory and Pruritogenic Pathways in Atopic Dermatitis., PMID:38375189

GB12-09, a bispecific antibody targeting IL4Rα and IL31Rα for atopic dermatitis therapy., PMID:38371956

The IL-31/TRPV1 pathway mediates allergic asthma exacerbated by DINP dermal exposure in OVA-sensitized Balb/c mice., PMID:38154627

Blockade of OSMRβ signaling ameliorates skin lesions in a mouse model of human atopic dermatitis., PMID:38102969

Infiltration analysis of eosinophils and basophils and co-expression of CD69, CD63, IL-31 and IgE in patients with bullous and non-bullous pemphigoid., PMID:37907267

What Is New in Cutaneous T Cell Lymphoma?, PMID:37874473

Effects of Omalizumab on Serum Levels of Substance P, Calcitonin Gene-Related Peptide, Neuropeptide Y, and Interleukin-31 in Patients with Chronic Spontaneous Urticaria., PMID:37795408

Dupilumab for cancer-associated refractory pruritus., PMID:37779518

Serum cytokine profiles in myasthenia gravis with anti-muscle-specific kinase antibodies., PMID:37774555

IL-31-Pruritus Interleukin: Serum Values and Clinical Impact in Chronic Spontaneous Urticaria-A Romanian Retrospective Study., PMID:37762898

Clinical trials of antibody drugs in the treatments of atopic dermatitis., PMID:37727760

An atopic dermatitis-like murine model by skin-brushed cockroach Per a 2 and oral tolerance induction by Lactococcus lactis-derived Per a 2., PMID:37676892

English version of Japanese guidance for biologics in treating atopic dermatitis., PMID:37650357

Therapeutic potential of infliximab for pruritus in mice model of cholestasis induced by bile duct ligation: Possible involvement of IL-31., PMID:37597403

Canine interleukin-31 binds directly to OSMRβ with higher binding affinity than to IL-31RA., PMID:37588794

Correlation between clinical efficacy on pruritus and serum interleukin-31 levels in dogs with atopic dermatitis treated with lokivetmab., PMID:37389418

Biomarkers detected in cord blood predict vaccine responses in young infants., PMID:37251388

Equine allergic skin diseases: Clinical consensus guidelines of the World Association for Veterinary Dermatology., PMID:37154488

[Pharmacological profiles and clinical findings of nemolizumab as treatment for pruritus associated with atopic dermatitis]., PMID:37121713

Expression, purification, and biological characterization of recombinant human interleukin-31 protein., PMID:37096330

Emerging Systemic Treatments for Atopic Dermatitis., PMID:37072648

Datasheet
$ 170
Product specifications
50 μg 170 100 μg 280

Contact Information

Order: order@antibodysystem.com

Mail: support@antibodysystem.com

Distributor list

For research use only. Not for human or drug use.

Need help with your order?

Find out more about placing an order here

Anti-Mouse IL31 Polyclonal Antibody [PMJ05001]
Terms of sale Website terms of use Cookie policy Privacy
Copyright © 2025 AntibodySystem SAS. All Rights Reserved.            All Products are for Research Use Only