Please ensure Javascript is enabled for purposes of website accessibility
Home / Products / Antibody / Polyclonal Antibody

Anti-Human SETD7 Polyclonal Antibody

Catalog #:   PHK20401 Specific References (15) DATASHEET
Host species: Rabbit
Isotype: IgG
Applications: ELISA, IHC, WB
Accession: Q8WTS6
Overview

Catalog No.

PHK20401

Species reactivity

Human

Host species

Rabbit

Isotype

IgG

Clonality

Polyclonal

Immunogen

E. coli - derived recombinant Human SETD7 (Met1-Lys366).

Tested applications

ELISA: 1:4000-1:8000, IHC: 1:50-1:100, WB: 1:1000-1:4000

Target

Lysine N-methyltransferase 7, SET9, SET7/9, Histone H3-K4 methyltransferase SETD7, SET7, SET domain-containing protein 7, SETD7, H3-K4-HMTase SETD7, KIAA1717, Histone-lysine N-methyltransferase SETD7, KMT7

Purification

Purified by antigen affinity column.

Accession

Q8WTS6

Applications

ELISA, IHC, WB

Form

Liquid

Storage buffer

0.01M PBS, pH 7.4, 50% Glycerol, 0.05% Proclin 300.

Stability and Storage

Use a manual defrost freezer and avoid repeated freeze thaw cycles. Store at 2 to 8°C for frequent use. Store at -20 to -80°C for twelve months from the date of receipt.

Data Image
  • Western Blot
    Recombinant Protein lysates were subjected to SDS PAGE followed by western blot with SETD7 antibody (PHK20401) at 1 μg/ml.

    Lane 1: Recombinant protein

    Second Ab: Goat Anti-Rabbit IgG H&L Polyclonal antibody, HRP (PTB96431) at 0.1 μg/mL.

    Predict MW: 43 kDa
    Observed MW: 43 kDa
  • Western Blot
    Various lysates were subjected to SDS PAGE followed by western blot with SETD7 antibody (PHK20401) at 1 μg/ml.

    Lane 1: MCF-7

    Second Ab: Goat Anti-Rabbit IgG H&L Polyclonal antibody, HRP (PTB96431) at 0.1 μg/mL.

    Predict MW: 41 kDa
    Observed MW: 41 kDa
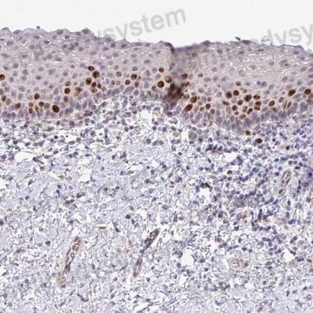
  • Immunohistochemical
    Immunohistochemical analysis of human vagina stained for SETD7 with PHK20401.
References

Methylation of the JMJD2B epigenetic regulator differentially affects its ability to coactivate the ETV1 and JUN transcription factors., PMID:38213775

Predictive biomarkers of immunotherapy response with pharmacological applications in solid tumors., PMID:37055532

SETD7-mediated monomethylation is enriched on soluble Tau in Alzheimer's disease., PMID:34215303

Identification of Rpl29 as a major substrate of the lysine methyltransferase Set7/9., PMID:29959229

The HIV-1 Tat Protein Is Monomethylated at Lysine 71 by the Lysine Methyltransferase KMT7., PMID:27235396

A New Versatile Immobilization Tag Based on the Ultra High Affinity and Reversibility of the Calmodulin-Calmodulin Binding Peptide Interaction., PMID:26159704

Inhibition of SET Domain-Containing Lysine Methyltransferase 7/9 Ameliorates Renal Fibrosis., PMID:26045091

Dynamic patterns of histone H3 lysine 4 methyltransferases and demethylases during mouse preimplantation development., PMID:24619213

Methylation of SUV39H1 by SET7/9 results in heterochromatin relaxation and genome instability., PMID:23509280

Methylation by Set9 modulates FoxO3 stability and transcriptional activity., PMID:22820736

Direct methylation of FXR by Set7/9, a lysine methyltransferase, regulates the expression of FXR target genes., PMID:22345554

Development and validation of a generic fluorescent methyltransferase activity assay based on the transcreener AMP/GMP assay., PMID:21956169

Development of homogeneous nonradioactive methyltransferase and demethylase assays targeting histone H3 lysine 4., PMID:21940714

Lysine methylation and functional modulation of androgen receptor by Set9 methyltransferase., PMID:21273441

Multiple lysine methylation of PCAF by Set9 methyltransferase., PMID:19351588

Datasheet
$ 170
Product specifications
50 μg 170 100 μg 280

Contact Information

Order: order@antibodysystem.com

Mail: support@antibodysystem.com

Distributor list

For research use only. Not for human or drug use.

Need help with your order?

Find out more about placing an order here

Anti-Human SETD7 Polyclonal Antibody [PHK20401]
Terms of sale Website terms of use Cookie policy Privacy
Copyright © 2025 AntibodySystem SAS. All Rights Reserved.            All Products are for Research Use Only